ARG45704
anti-TMEM255B antibody
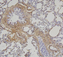
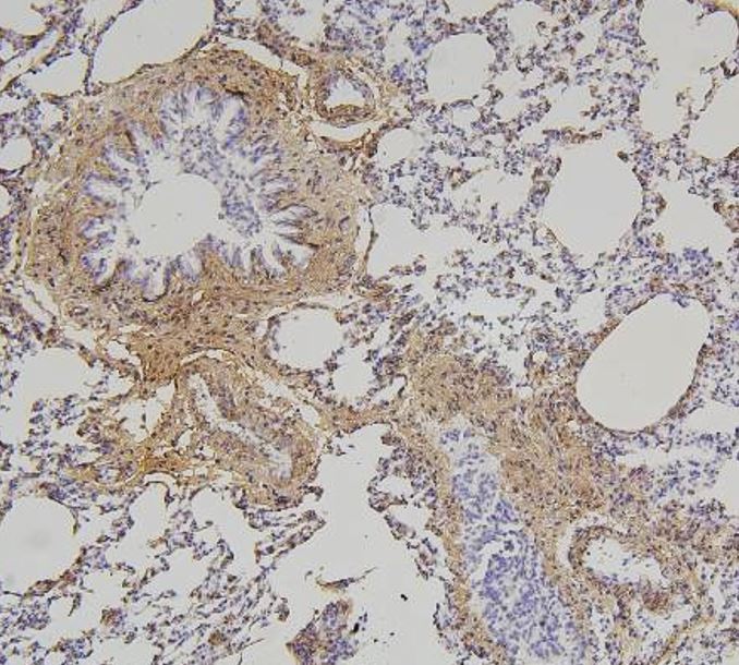
anti-TMEM255B antibody for IHC-Formalin-fixed paraffin-embedded sections,Western blot and Mouse,Rat
概述
| 产品描述 | Rabbit Polyclonal antibody recognizes TMEM255B |
|---|---|
| 反应物种 | Ms, Rat |
| 应用 | IHC-P, WB |
| 宿主 | Rabbit |
| 克隆 | Polyclonal |
| 同位型 | IgG |
| 靶点名称 | TMEM255B |
| 抗原物种 | Mouse |
| 抗原 | Recombinant protein containing to mouse TMEM255B. |
| 偶联标记 | Un-conjugated |
| 別名 | TMEM255B; Transmembrane Protein 255B; FAM70B; Family With Sequence Similarity 70, Member B; Protein FAM70B; MGC20579 |
应用说明
| 应用建议 |
|
||||||
|---|---|---|---|---|---|---|---|
| 应用说明 | * The dilutions indicate recommended starting dilutions and the optimal dilutions or concentrations should be determined by the scientist. | ||||||
| 实际分子量 | 45 kDa |
属性
| 形式 | Liquid |
|---|---|
| 纯化 | Affinity purified |
| 缓冲液 | 0.9% NaCl, 0.2% Na2HPO4, 0.01% Sodium azide and 4% Trehalose. |
| 抗菌剂 | 0.01% Sodium azide |
| 稳定剂 | 4% Trehalose |
| 浓度 | 0.5 mg/ml |
| 存放说明 | For continuous use, store undiluted antibody at 2-8°C for up to a week. For long-term storage, aliquot and store at -20°C or below. Storage in frost free freezers is not recommended. Avoid repeated freeze/thaw cycles. Suggest spin the vial prior to opening. The antibody solution should be gently mixed before use. |
| 注意事项 | For laboratory research only, not for drug, diagnostic or other use. |
生物信息
| 基因名称 | TMEM255B |
|---|---|
| 全名 | Transmembrane Protein 255B |
| 背景介绍 | Predicted to be located in membrane. [provided by Alliance of Genome Resources, Feb 2025] |
| 细胞定位 | Membrane. [UniProt] |
| 预测分子量 | 40 kDa |
检测图片 (2) Click the Picture to Zoom In
