ARG45503
anti-TMEM232 antibody
anti-TMEM232 antibody for ICC/IF,IHC-Formalin-fixed paraffin-embedded sections,Western blot and Human,Mouse,Rat
概述
| 产品描述 | Rabbit Polyclonal antibody recognizes TMEM232 |
|---|---|
| 反应物种 | Hu, Ms, Rat |
| 应用 | ICC/IF, IHC-P, WB |
| 宿主 | Rabbit |
| 克隆 | Polyclonal |
| 同位型 | IgG |
| 靶点名称 | TMEM232 |
| 抗原物种 | Human |
| 抗原 | Recombinant protein containing to human TMEM232. |
| 偶联标记 | Un-conjugated |
| 別名 | TMEM232; Transmembrane Protein 232; FLJ43080 |
应用说明
| 应用建议 |
|
||||||||
|---|---|---|---|---|---|---|---|---|---|
| 应用说明 | * The dilutions indicate recommended starting dilutions and the optimal dilutions or concentrations should be determined by the scientist. | ||||||||
| 实际分子量 | 76 kDa |
属性
| 形式 | Liquid |
|---|---|
| 纯化 | Affinity purified |
| 缓冲液 | 0.2% Na2HPO4, 0.9% NaCl and 4% Trehalose. |
| 稳定剂 | 4% Trehalose |
| 浓度 | 0.5 mg/ml |
| 存放说明 | For continuous use, store undiluted antibody at 2-8°C for up to a week. For long-term storage, aliquot and store at -20°C or below. Storage in frost free freezers is not recommended. Avoid repeated freeze/thaw cycles. Suggest spin the vial prior to opening. The antibody solution should be gently mixed before use. |
| 注意事项 | For laboratory research only, not for drug, diagnostic or other use. |
生物信息
| 数据库连接 | |
|---|---|
| 基因名称 | TMEM232 |
| 全名 | Transmembrane Protein 232 |
| 背景介绍 | Predicted to be involved in flagellated sperm motility and spermatid cytoplasm removal during spermiation of flagellated sperm. Predicted to act upstream of or within maintenance of protein complex location. Predicted to be located in membrane. Predicted to be active in outer dense fiber. [provided by Alliance of Genome Resources, Feb 2025] |
| 生物功能 | Plays a critical role for male fertility and sperm motility by regulating sperm cytoplasm removal and maintaining axoneme integrity. [UniProt] |
| 细胞定位 | Membrane. [UniProt] |
| 预测分子量 | 78 kDa |
检测图片 (5) Click the Picture to Zoom In
-
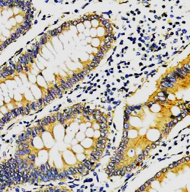
ARG45503 anti-TMEM232 antibody IHC-P image
Immunohistochemistry: Human colon stained with ARG45503 anti-TMEM232 antibody at 2 μg/ml dilution.
-
ARG45503 anti-TMEM232 antibody ICC/IF image
Immunofluorescence: SiHa stained with ARG45503 anti-TMEM232 antibody at 5 μg/ml dilution.
-
ARG45503 anti-TMEM232 antibody WB image
Western blot: SH-SY5Y stained with ARG45503 anti-TMEM232 antibody at 0.5 μg/ml dilution.
-
ARG45503 anti-TMEM232 antibody WB image
Western blot: Rat testis stained with ARG45503 anti-TMEM232 antibody at 0.5 μg/ml dilution.
-
ARG45503 anti-TMEM232 antibody WB image
Western blot: Mouse testis stained with ARG45503 anti-TMEM232 antibody at 0.5 μg/ml dilution.
