ARG59436
anti-TMEM107 antibody
anti-TMEM107 antibody for Flow cytometry,IHC-Formalin-fixed paraffin-embedded sections,Western blot and Human
概述
| 产品描述 | Rabbit Polyclonal antibody recognizes TMEM107 |
|---|---|
| 反应物种 | Hu |
| 应用 | FACS, IHC-P, WB |
| 宿主 | Rabbit |
| 克隆 | Polyclonal |
| 同位型 | IgG |
| 靶点名称 | TMEM107 |
| 抗原物种 | Human |
| 抗原 | Synthetic peptide corresponding to aa. 22-57 of Human TMEM107. (VITLFWSRDSNIQACLPLTFTPEEYDKQDIQLVAAL) |
| 偶联标记 | Un-conjugated |
| 別名 | PRO1268; Transmembrane protein 107; GRVS638 |
应用说明
| 应用建议 |
|
||||||||
|---|---|---|---|---|---|---|---|---|---|
| 应用说明 | IHC-P: Antigen Retrieval: Heat mediation was performed in Citrate buffer (pH 6.0) for 20 min. * The dilutions indicate recommended starting dilutions and the optimal dilutions or concentrations should be determined by the scientist. |
属性
| 形式 | Liquid |
|---|---|
| 纯化 | Affinity purification with immunogen. |
| 缓冲液 | 0.9% NaCl, 0.2% Na2HPO4, 0.05% Sodium azide and 5% BSA. |
| 抗菌剂 | 0.05% Sodium azide |
| 稳定剂 | 5% BSA |
| 浓度 | 0.5 mg/ml |
| 存放说明 | For continuous use, store undiluted antibody at 2-8°C for up to a week. For long-term storage, aliquot and store at -20°C or below. Storage in frost free freezers is not recommended. Avoid repeated freeze/thaw cycles. Suggest spin the vial prior to opening. The antibody solution should be gently mixed before use. |
| 注意事项 | For laboratory research only, not for drug, diagnostic or other use. |
生物信息
| 数据库连接 | |
|---|---|
| 基因名称 | TMEM107 |
| 全名 | transmembrane protein 107 |
| 生物功能 | Plays a role in cilia formation and embryonic patterning. Requires for normal Sonic hedgehog (Shh) signaling in the neural tube and acts in combination with GLI2 and GLI3 to pattern ventral and intermediate neuronal cell types (By similarity). [UniProt] |
| 细胞定位 | Membrane; Multi-pass membrane protein. Cell projection, cilium. Note=Localizes at the transition zone, a region between the basal body and the ciliary axoneme. [UniProt] |
| 预测分子量 | 16 kDa |
检测图片 (4) Click the Picture to Zoom In
-
ARG59436 anti-TMEM107 antibody IHC-P image
Immunohistochemistry: Paraffin-embedded Human intestinal cancer tissues. Antigen Retrieval: Heat mediated was performed in Citrate buffer (pH 6.0, epitope retrieval solution) for 20 min. The tissue section was blocked with 10% goat serum. The tissue section was then stained with ARG59436 anti-TMEM107 antibody at 1 µg/ml, overnight at 4°C.
-
ARG59436 anti-TMEM107 antibody WB image
Western blot: 50 µg of samples under reducing conditions. MCF-7 whole cell lysate stained with ARG59436 anti-TMEM107 antibody at 0.5 µg/ml, overnight at 4°C.
-
ARG59436 anti-TMEM107 antibody FACS image
Flow Cytometry: SiHa cells were blocked with 10% normal goat serum and then stained with ARG59436 anti-TMEM107 antibody (blue) at 1 µg/10^6 cells for 30 min at 20°C, followed by incubation with DyLight®488 labelled secondary antibody. Isotype control antibody (green) was rabbit IgG (1 µg/10^6 cells) used under the same conditions. Unlabelled sample (red) was also used as a control.
-
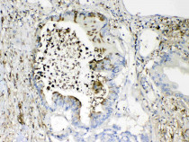
ARG59436 anti-TMEM107 antibody IHC-P image
Immunohistochemistry: Paraffin-embedded Human lung cancer tissue. Antigen Retrieval: Heat mediated was performed in Citrate buffer (pH 6.0, epitope retrieval solution) for 20 min. The tissue section was blocked with 10% goat serum. The tissue section was then stained with ARG59436 anti-TMEM107 antibody at 1 µg/ml, overnight at 4°C.
