ARG46596
anti-TMED10 / TMP21 antibody
anti-TMED10 / TMP21 antibody for Western blot,IHC-Formalin-fixed paraffin-embedded sections and Human,Mouse,Rat
概述
| 产品描述 | Rabbit Polyclonal antibody recognizes TMED10 / TMP21 |
|---|---|
| 反应物种 | Hu, Ms, Rat |
| 应用 | IHC-P, WB |
| 宿主 | Rabbit |
| 克隆 | Polyclonal |
| 同位型 | IgG |
| 靶点名称 | TMED10 / TMP21 |
| 抗原物种 | Human |
| 抗原 | A 19 amino acid synthetic peptide within the last 50 amino acids of human TMED10 / TMP21. |
| 偶联标记 | Un-conjugated |
| 別名 | TMED10; Tmp-21-I; Transmembrane emp24 domain-containing protein 10; p24 family protein delta-1; 21 kDa transmembrane-trafficking protein; S31III125; TMP21; p24delta; p23; p24delta1; Transmembrane protein Tmp21; S31I125; P24(DELTA) |
应用说明
| 应用建议 |
|
||||||
|---|---|---|---|---|---|---|---|
| 应用说明 | * The dilutions indicate recommended starting dilutions and the optimal dilutions or concentrations should be determined by the scientist. |
属性
| 纯化 | Affinity chromatography purified |
|---|---|
| 缓冲液 | PBS and 0.02% Sodium azide. |
| 抗菌剂 | 0.02% Sodium azide |
| 浓度 | 1 mg/ml |
| 存放说明 | For continuous use, store undiluted antibody at 2-8°C for up to a week. For long-term storage, aliquot and store at -20°C. Storage in frost free freezers is not recommended. Avoid repeated freeze/thaw cycles. Suggest spin the vial prior to opening. The antibody solution should be gently mixed before use. |
| 注意事项 | For laboratory research only, not for drug, diagnostic or other use. |
生物信息
| 数据库连接 | |
|---|---|
| 基因名称 | TMED10 |
| 全名 | transmembrane p24 trafficking protein 10 |
| 背景介绍 | This gene is a member of the EMP24/GP25L/p24 family and encodes a protein with a GOLD domain. This type I membrane protein is localized to the plasma membrane and golgi cisternae and is involved in vesicular protein trafficking. The protein is also a member of a heteromeric secretase complex and regulates the complex's gamma-secretase activity without affecting its epsilon-secretase activity. Mutations in this gene have been associated with early-onset familial Alzheimer's disease. This gene has a pseudogene on chromosome 8. [provided by RefSeq, Jul 2008] |
| 生物功能 | Involved in vesicular protein trafficking. Mainly functions in the early secretory pathway. Thought to act as cargo receptor at the lumenal side for incorporation of secretory cargo molecules into transport vesicles and to be involved in vesicle coat formation at the cytoplasmic side. In COPII vesicle-mediated anterograde transport involved in the transport of GPI-anchored proteins and proposed to act together with TMED2 as their cargo receptor; the function specifically implies SEC24C and SEC24D of the COPII vesicle coat and lipid raft-like microdomains of the ER. Recognizes GPI anchors structural remodeled in the ER by PGAP1 and MPPE1 (By similarity). In COPI vesicle-mediated retrograde transport involved in the biogenesis of COPI vesicles and vesicle coat recruitment. On Golgi membranes, acts as primary receptor for ARF1-GDP which is involved in COPI-vesicle formation. Increases coatomer-dependent GTPase-activating activity of ARFGAP2. Involved in trafficking of G protein-coupled receptors (GPCRs). Regulates F2LR1, OPRM1 and P2RY4 exocytic trafficking from the Golgi to the plasma membrane thus contributing to receptor resensitization. Involved in trafficking of amyloid beta A4 protein and soluble APP-beta release (independent of modulation of gamma-secretase activity). As part of the presenilin-dependent gamma-secretase complex regulates gamma-cleavages of the amyloid beta A4 protein to yield amyloid-beta 40 (Abeta40). Involved in organization of the Golgi apparatus. [UniProt] |
| 预测分子量 | 25 kDa |
检测图片 (3) Click the Picture to Zoom In
-
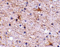
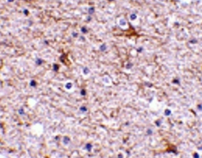
ARG46596 anti-TMED10 / TMP21 antibody IHC-P image
Immunohistochemistry: Human brain stained with ARG46596 anti-TMED10 / TMP21 antibody.
-
ARG46596 anti-TMED10 / TMP21 antibody ICC/IF image
Immunofluorescence: Human brain stained with ARG46596 anti-TMED10 / TMP21 antibody.
-
ARG46596 anti-TMED10 / TMP21 antibody WB image
Western blot: Raji stained with ARG46596 anti-TMED10 / TMP21 antibody.
