ARG45253
anti-TMC7 antibody
anti-TMC7 antibody for Flow cytometry,IHC-Formalin-fixed paraffin-embedded sections,Western blot and Human,Mouse,Rat
概述
| 产品描述 | Polyclonal antibody recognizes TMC7 |
|---|---|
| 反应物种 | Hu, Ms, Rat |
| 应用 | FACS, IHC-P, WB |
| 宿主 | Rabbit |
| 克隆 | Polyclonal |
| 同位型 | IgG |
| 靶点名称 | TMC7 |
| 抗原物种 | Human |
| 抗原 | Recombinant protein containing to human TMC7. |
| 偶联标记 | Un-conjugated |
| 別名 | TMC7; Transmembrane Channel Like 7; Transmembrane Channel-Like Protein 7; FLJ21240 |
应用说明
| 应用建议 |
|
||||||||
|---|---|---|---|---|---|---|---|---|---|
| 应用说明 | * The dilutions indicate recommended starting dilutions and the optimal dilutions or concentrations should be determined by the scientist. | ||||||||
| 实际分子量 | 90 kDa |
属性
| 形式 | Liquid |
|---|---|
| 纯化 | Affinity purification with immunogen. |
| 缓冲液 | 0.2% Na2HPO4, 0.9% NaCl and 4% Trehalose. |
| 稳定剂 | 4% Trehalose |
| 浓度 | 0.5 mg/ml |
| 存放说明 | For continuous use, store undiluted antibody at 2-8°C for up to a week. For long-term storage, aliquot and store at -20°C or below. Storage in frost free freezers is not recommended. Avoid repeated freeze/thaw cycles. Suggest spin the vial prior to opening. The antibody solution should be gently mixed before use. |
| 注意事项 | For laboratory research only, not for drug, diagnostic or other use. |
生物信息
| 数据库连接 |
Swiss-port # Q7Z402 Human Transmembrane channel-like protein 7 Swiss-port # Q8C428 Mouse Transmembrane channel-like protein 7 |
|---|---|
| 基因名称 | TMC7 |
| 全名 | Transmembrane Channel Like 7 |
| 背景介绍 | Predicted to enable ion channel inhibitor activity and mechanosensitive monoatomic ion channel activity. Predicted to be involved in sensory perception of mechanical stimulus. Predicted to be located in plasma membrane. Predicted to be active in neuronal cell body. [provided by Alliance of Genome Resources, Nov 2024] |
| 生物功能 | Acts as an inhibitory modulator of PIEZO2 mechanosensitive channel in dorsal root ganglion (DRG) neurons through physical interactions or interference with the interaction between PIEZO2 and the cytoskeleton.. [UniProt] |
| 细胞定位 | Membrane. [UniProt] |
| 预测分子量 | 86 kDa |
| 翻译后修饰 | Glycoprotein ; Phosphoprotein. [UniProt] |
检测图片 (5) Click the Picture to Zoom In
-
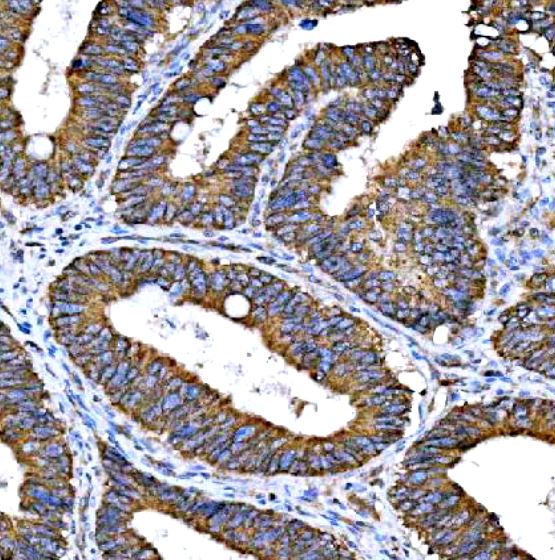
ARG45253 anti-TMC7 antibody IHC-P image
Immunohistochemistry: Human colorectal adenocarcinoma stained with ARG45253 anti-TMC7 antibody at 2 μg/ml dilution.
-
ARG45253 anti-TMC7 antibody WB image
Western blot: HepG2 and U-87MG stained with ARG45253 anti-TMC7 antibody at 0.5 μg/ml dilution.
-
ARG45253 anti-TMC7 antibody FACS image
Flow Cytometry: SiHa stained with ARG45253 anti-TMC7 antibody at 1 µg/10^6 cells dilution.
-
ARG45253 anti-TMC7 antibody WB image
Western blot: Rat testis and C6 stained with ARG45253 anti-TMC7 antibody at 0.5 μg/ml dilution.
-
ARG45253 anti-TMC7 antibody WB image
Western blot: RAW264.7 stained with ARG45253 anti-TMC7 antibody at 0.5 μg/ml dilution.
