ARG59124
anti-TLR5 antibody
anti-TLR5 antibody for Flow cytometry,IHC-Formalin-fixed paraffin-embedded sections,Western blot and Human
概述
| 产品描述 | Rabbit Polyclonal antibody recognizes TLR5 |
|---|---|
| 反应物种 | Hu |
| 应用 | FACS, IHC-P, WB |
| 宿主 | Rabbit |
| 克隆 | Polyclonal |
| 同位型 | IgG |
| 靶点名称 | TLR5 |
| 抗原物种 | Human |
| 抗原 | Synthetic peptide corresponding to aa. 801-828 of Human TLR5. (MKHQSIRGFVQKQQYLRWPEDFQDVGWF) |
| 偶联标记 | Un-conjugated |
| 別名 | Toll/interleukin-1 receptor-like protein 3; MELIOS; TIL3; SLEB1; Toll-like receptor 5; SLE1 |
应用说明
| 应用建议 |
|
||||||||
|---|---|---|---|---|---|---|---|---|---|
| 应用说明 | IHC-P: Antigen Retrieval: By heat mediation. * The dilutions indicate recommended starting dilutions and the optimal dilutions or concentrations should be determined by the scientist. |
属性
| 形式 | Liquid |
|---|---|
| 纯化 | Affinity purification with immunogen. |
| 缓冲液 | 0.9% NaCl, 0.2% Na2HPO4, 0.05% Sodium azide and 5% BSA. |
| 抗菌剂 | 0.05% Sodium azide |
| 稳定剂 | 5% BSA |
| 浓度 | 0.5 mg/ml |
| 存放说明 | For continuous use, store undiluted antibody at 2-8°C for up to a week. For long-term storage, aliquot and store at -20°C or below. Storage in frost free freezers is not recommended. Avoid repeated freeze/thaw cycles. Suggest spin the vial prior to opening. The antibody solution should be gently mixed before use. |
| 注意事项 | For laboratory research only, not for drug, diagnostic or other use. |
生物信息
| 数据库连接 | |
|---|---|
| 基因名称 | TLR5 |
| 全名 | toll-like receptor 5 |
| 背景介绍 | This gene encodes a member of the toll-like receptor (TLR) family, which plays a fundamental role in pathogen recognition and activation of innate immune responses. These receptors recognize distinct pathogen-associated molecular patterns that are expressed on infectious agents. The protein encoded by this gene recognizes bacterial flagellin, the principal component of bacterial flagella and a virulence factor. The activation of this receptor mobilizes the nuclear factor NF-kappaB, which in turn activates a host of inflammatory-related target genes. Mutations in this gene have been associated with both resistance and susceptibility to systemic lupus erythematosus, and susceptibility to Legionnaire disease.[provided by RefSeq, Dec 2009] |
| 生物功能 | Participates in the innate immune response to microbial agents. Mediates detection of bacterial flagellins. Acts via MYD88 and TRAF6, leading to NF-kappa-B activation, cytokine secretion and the inflammatory response. [UniProt] |
| 细胞定位 | Membrane; Single-pass type I membrane protein. [UniProt] |
| 预测分子量 | 98 kDa |
| 翻译后修饰 | Phosphorylated at Ser-805 by PKD/PRKD1; phosphorylation induces the production of inflammatory cytokines. Phosphorylated at Tyr-798 upon flagellin binding; required for signaling. [UniProt] |
检测图片 (3) Click the Picture to Zoom In
-
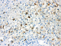
ARG59124 anti-TLR5 antibody IHC-P image
Immunohistochemistry: Paraffin-embedded Human appendicitis stained with ARG59124 anti-TLR5 antibody.
-
ARG59124 anti-TLR5 antibody WB image
Western blot: 40 µg of Jurkat cell lysate stained with ARG59124 anti-TLR5 antibody at 0.5 µg/ml dilution.
-
ARG59124 anti-TLR5 antibody FACS image
Flow Cytometry: Human PBMC cells were blocked with 10% normal goat serum and then stained with ARG59124 anti-TLR5 antibody (blue) at 1 µg/10^6 cells for 30 min at 20°C, followed by incubation with DyLight®488 labelled secondary antibody. Isotype control antibody (green) was rabbit IgG (1 µg/10^6 cells) used under the same conditions. Unlabelled sample (red) was also used as a control.
