ARG57555
anti-TIM4 antibody
anti-TIM4 antibody for ICC/IF,IHC-Formalin-fixed paraffin-embedded sections,Western blot and Human,Mouse
概述
| 产品描述 | Rabbit Polyclonal antibody recognizes TIM4 |
|---|---|
| 反应物种 | Hu, Ms |
| 应用 | ICC/IF, IHC-P, WB |
| 宿主 | Rabbit |
| 克隆 | Polyclonal |
| 同位型 | IgG |
| 靶点名称 | TIM4 |
| 抗原物种 | Human |
| 抗原 | Synthetic peptide (16 aa) within aa. 60-110 of Human TIM-4. |
| 偶联标记 | Un-conjugated |
| 別名 | TIM-4; T-cell membrane protein 4; TIMD-4; SMUCKLER; TIM4; T-cell immunoglobulin and mucin domain-containing protein 4; T-cell immunoglobulin mucin receptor 4 |
应用说明
| 应用建议 |
|
||||||||
|---|---|---|---|---|---|---|---|---|---|
| 应用说明 | * The dilutions indicate recommended starting dilutions and the optimal dilutions or concentrations should be determined by the scientist. | ||||||||
| 阳性对照 | Jurkat Cell Lysate | ||||||||
| 实际分子量 | 45 kDa |
属性
| 形式 | Liquid |
|---|---|
| 纯化 | Affinity purification with immunogen. |
| 缓冲液 | PBS and 0.02% Sodium azide. |
| 抗菌剂 | 0.02% Sodium azide |
| 浓度 | 1 mg/ml |
| 存放说明 | For continuous use, store undiluted antibody at 2-8°C for up to a week. For long-term storage, aliquot and store at -20°C or below. Storage in frost free freezers is not recommended. Avoid repeated freeze/thaw cycles. Suggest spin the vial prior to opening. The antibody solution should be gently mixed before use. |
| 注意事项 | For laboratory research only, not for drug, diagnostic or other use. |
生物信息
| 数据库连接 |
Swiss-port # Q6U7R4 Mouse T-cell immunoglobulin and mucin domain-containing protein 4 Swiss-port # Q96H15 Human T-cell immunoglobulin and mucin domain-containing protein 4 |
|---|---|
| 基因名称 | TIMD4 |
| 全名 | T-cell immunoglobulin and mucin domain containing 4 |
| 生物功能 | Phosphatidylserine receptor that enhances the engulfment of apoptotic cells. Involved in regulating T-cell proliferation and lymphotoxin signaling. Ligand for HAVCR1/TIMD1 (By similarity). [UniProt] |
| 预测分子量 | 42 kDa |
检测图片 (6) Click the Picture to Zoom In
-
ARG57555 anti-TIM4 antibody ICC/IF image
Immunocytochemistry: Jurkat cells stained with ARG57555 anti-TIM4 antibody at 10 µg/ml dilution.
-
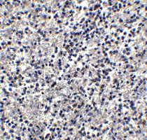
ARG57555 anti-TIM4 antibody IHC-P image
Immunohistochemistry: Human spleen tissue stained with ARG57555 anti-TIM4 antibody at 2.5 µg/ml dilution.
-
ARG57555 anti-TIM4 antibody WB image
Western blot: RAW264.7 cell lysate stained with ARG57555 anti-TIM4 antibody at 2 µg/ml in the absence and the presence of blocking peptide.
-
ARG57555 anti-TIM4 antibody ICC/IF image
Immunofluorescence: Jurkat cells stained with ARG57555 anti-TIM4 antibody at 20 µg/ml dilution.
-
ARG57555 anti-TIM4 antibody IHC-P image
Immunohistochemistry: Human spleen tissue stained with ARG57555 anti-TIM4 antibody at 20 µg/ml dilution.
-
ARG57555 anti-TIM4 antibody IHC-P image
Immunohistochemistry: Mouse liver tissue stained with ARG57555 anti-TIM4 antibody at 2 µg/ml dilution.
