ARG57744
anti-TIGIT antibody [4A11]
anti-TIGIT antibody [4A11] for Flow cytometry,ICC/IF,IHC-Formalin-fixed paraffin-embedded sections,Western blot and Human
概述
| 产品描述 | Mouse Monoclonal antibody [4A11] recognizes TIGIT |
|---|---|
| 反应物种 | Hu |
| 应用 | FACS, ICC/IF, IHC-P, WB |
| 宿主 | Mouse |
| 克隆 | Monoclonal |
| 克隆号 | 4A11 |
| 同位型 | IgG1 |
| 靶点名称 | TIGIT |
| 抗原物种 | Human |
| 抗原 | Synthetic peptide around the extracellular domain of Human TIGIT. |
| 偶联标记 | Un-conjugated |
| 別名 | TIGIT; T Cell Immunoreceptor With Ig And ITIM Domains; VSIG9; VSTM3; V-Set And Immunoglobulin Domain-Containing Protein 9; V-Set And Transmembrane Domain-Containing Protein 3; T-Cell Immunoreceptor With Ig And ITIM Domains; DKFZp667A205; VSIG9, VSTM3; FLJ39873; V-Set And Immunoglobulin Domain Containing 9; Washington University Cell Adhesion Molecule 3; V-Set And Transmembrane Domain Containing 3; WUCAM |
应用说明
| 应用建议 |
|
||||||||||
|---|---|---|---|---|---|---|---|---|---|---|---|
| 应用说明 | * The dilutions indicate recommended starting dilutions and the optimal dilutions or concentrations should be determined by the scientist. |
属性
| 形式 | Liquid |
|---|---|
| 纯化 | Purification with Protein A. |
| 缓冲液 | PBS and 0.02% Sodium azide. |
| 抗菌剂 | 0.02% Sodium azide |
| 浓度 | 1 mg/ml |
| 存放说明 | For continuous use, store undiluted antibody at 2-8°C for up to a week. For long-term storage, aliquot and store at -20°C or below. Storage in frost free freezers is not recommended. Avoid repeated freeze/thaw cycles. Suggest spin the vial prior to opening. The antibody solution should be gently mixed before use. |
| 注意事项 | For laboratory research only, not for drug, diagnostic or other use. |
生物信息
| 数据库连接 |
Swiss-port # Q495A1 Human T-cell immunoreceptor with Ig and ITIM domains |
|---|---|
| 基因名称 | TIGIT |
| 全名 | T cell immunoreceptor with Ig and ITIM domains |
| 背景介绍 | This gene encodes a member of the PVR (poliovirus receptor) family of immunoglobin proteins. The product of this gene is expressed on several classes of T cells including follicular B helper T cells (TFH). The protein has been shown to bind PVR with high affinity; this binding is thought to assist interactions between TFH and dendritic cells to regulate T cell dependent B cell responses. |
| 生物功能 | Binds with high affinity to the poliovirus receptor (PVR) which causes increased secretion of IL10 and decreased secretion of IL12B and suppresses T-cell activation by promoting the generation of mature immunoregulatory dendritic cells. |
| 细胞定位 | Cell membrane, Membrane |
| 预测分子量 | 26 kDa |
| 翻译后修饰 | Disulfide bond, Glycoprotein |
检测图片 (6) Click the Picture to Zoom In
-
ARG57744 anti-TIGIT antibody [4A11] ICC/IF image
Immunocytochemistry: TIGIT over expressing HEK293 cells stained with ARG57744 anti-TIGIT antibody [4A11] and control Mouse IgG antibody (corner box) at 1 µg/ml dilution.
-
ARG57744 anti-TIGIT antibody [4A11] FACS image
Flow Cytometry: Untransfected (blue) and TIGIT over expressing HEK293 cells (yellow) stained with ARG57744 anti-TIGIT antibody [4A11] at 1 µg/ml dilution.
-
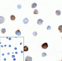
ARG57744 anti-TIGIT antibody [4A11] IHC-P image
Immunohistochemistry: Paraffin-embedded Human stomach carcinoma tissue stained with ARG57744 anti-TIGIT antibody [4A11] and control Mouse IgG (corner box) at 2 µg/ml dilution.
-
ARG57744 anti-TIGIT antibody [4A11] WB image
Western blot: TIGIT over expressing HEK293 cells stained with ARG57744 anti-TIGIT antibody [4A11] at 0.25, 0.5 or 1 µg/ml dilution.
-
ARG57744 anti-TIGIT antibody [4A11] ICC/IF image
Immunofluorescence: TIGIT over expressing HEK293 cells stained with ARG57744 anti-TIGIT antibody [4A11] at 1 µg/ml dilution.
-
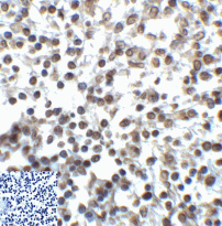
ARG57744 anti-TIGIT antibody [4A11] IHC image
Immunohistochemistry: Human stomach carcinoma tissue stained with ARG57744 anti-TIGIT antibody [4A11] at 5 µg/ml dilution.
