ARG45250
anti-TIGD1 / EEYORE antibody
anti-TIGD1 / EEYORE antibody for Flow cytometry,ICC/IF,IHC-Formalin-fixed paraffin-embedded sections,Western blot and Human,Mouse,Rat
概述
| 产品描述 | Polyclonal antibody recognizes TIGD1 / EEYORE |
|---|---|
| 反应物种 | Hu, Ms, Rat |
| 应用 | FACS, ICC/IF, IHC-P, WB |
| 宿主 | Rabbit |
| 克隆 | Polyclonal |
| 同位型 | IgG |
| 靶点名称 | TIGD1 / EEYORE |
| 抗原物种 | Human |
| 抗原 | Recombinant protein containing to human TIGD1 / EEYORE. |
| 偶联标记 | Un-conjugated |
| 別名 | TIGD1; EEYORE; tigger transposable element derived 1; jerky (mouse) homolog-like; hypothetical protein LOC200765; jerky homolog-like |
应用说明
| 应用建议 |
|
||||||||||
|---|---|---|---|---|---|---|---|---|---|---|---|
| 应用说明 | * The dilutions indicate recommended starting dilutions and the optimal dilutions or concentrations should be determined by the scientist. | ||||||||||
| 实际分子量 | 68-70 kDa |
属性
| 形式 | Liquid |
|---|---|
| 纯化 | Affinity purification with immunogen. |
| 缓冲液 | 0.2% Na2HPO4, 0.9% NaCl and 4% Trehalose. |
| 稳定剂 | 4% Trehalose |
| 浓度 | 0.5 mg/ml |
| 存放说明 | For continuous use, store undiluted antibody at 2-8°C for up to a week. For long-term storage, aliquot and store at -20°C or below. Storage in frost free freezers is not recommended. Avoid repeated freeze/thaw cycles. Suggest spin the vial prior to opening. The antibody solution should be gently mixed before use. |
| 注意事项 | For laboratory research only, not for drug, diagnostic or other use. |
生物信息
| 数据库连接 |
Swiss-port # Q96MW7 Human Tigger transposable element-derived protein 1 |
|---|---|
| 基因名称 | TIGD1 |
| 全名 | Tigger Transposable Element Derived 1 |
| 背景介绍 | The protein encoded by this gene belongs to the tigger subfamily of the pogo superfamily of DNA-mediated transposons in humans. These proteins are related to DNA transposons found in fungi and nematodes, and more distantly to the Tc1 and mariner transposases. They are also very similar to the major mammalian centromere protein B. The exact function of this gene is not known. [provided by RefSeq, Jul 2008] |
| 细胞定位 | Nucleus . [UniProt] |
| 预测分子量 | 67 kDa |
检测图片 (7) Click the Picture to Zoom In
-
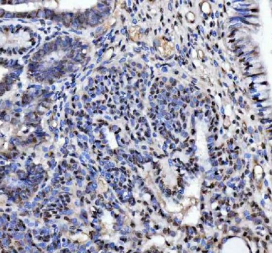
ARG45250 anti-TIGD1 / EEYORE antibody IHC-P image
Immunohistochemistry: Human cervical cancer stained with ARG45250 anti-TIGD1 / EEYORE antibody at 2 μg/ml dilution.
-
ARG45250 anti-TIGD1 / EEYORE antibody ICC/IF image
Immunofluorescence: U20S stained with ARG45250 anti-TIGD1 / EEYORE antibody at 5 ug/ml dilution.
-
ARG45250 anti-TIGD1 / EEYORE antibody WB image
Western blot: Hela and Jurkat stained with ARG45250 anti-TIGD1 / EEYORE antibody at 0.5 μg/ml dilution.
-
ARG45250 anti-TIGD1 / EEYORE antibody FACS image
Flow Cytometry: PC-3 stained with ARG45250 anti-TIGD1 / EEYORE antibody at 1 µg/10^6 cells dilution.
-
ARG45250 anti-TIGD1 / EEYORE antibody IHC-P image
Immunohistochemistry: Rat brain stained with ARG45250 anti-TIGD1 / EEYORE antibody at 2 μg/ml dilution.
-
ARG45250 anti-TIGD1 / EEYORE antibody WB image
Western blot: Rat stomach stained with ARG45250 anti-TIGD1 / EEYORE antibody at 0.5 μg/ml dilution.
-
ARG45250 anti-TIGD1 / EEYORE antibody WB image
Western blot: Mouse brain stained with ARG45250 anti-TIGD1 / EEYORE antibody at 0.5 μg/ml dilution.
