ARG59622
anti-TFIIF beta antibody
anti-TFIIF beta antibody for ICC/IF,IHC-Formalin-fixed paraffin-embedded sections,Western blot and Human,Mouse
概述
| 产品描述 | Rabbit Polyclonal antibody recognizes TFIIF beta |
|---|---|
| 反应物种 | Hu, Ms |
| 应用 | ICC/IF, IHC-P, WB |
| 宿主 | Rabbit |
| 克隆 | Polyclonal |
| 同位型 | IgG |
| 靶点名称 | TFIIF beta |
| 抗原物种 | Human |
| 抗原 | Recombinant fusion protein corresponding to aa. 1-249 of Human TFIIF beta (NP_004119.1). |
| 偶联标记 | Un-conjugated |
| 別名 | BTF4; TF2F2; General transcription factor IIF 30 kDa subunit; General transcription factor IIF subunit 2; EC 3.6.4.12; TFIIF-beta; RAP30; ATP-dependent helicase GTF2F2; TFIIF; Transcription initiation factor RAP30; Transcription initiation factor IIF subunit beta |
应用说明
| 应用建议 |
|
||||||||
|---|---|---|---|---|---|---|---|---|---|
| 应用说明 | * The dilutions indicate recommended starting dilutions and the optimal dilutions or concentrations should be determined by the scientist. | ||||||||
| 阳性对照 | Mouse thymus and HepG2 |
属性
| 形式 | Liquid |
|---|---|
| 纯化 | Affinity purified. |
| 缓冲液 | PBS (pH 7.3), 0.02% Sodium azide and 50% Glycerol. |
| 抗菌剂 | 0.02% Sodium azide |
| 稳定剂 | 50% Glycerol |
| 存放说明 | For continuous use, store undiluted antibody at 2-8°C for up to a week. For long-term storage, aliquot and store at -20°C. Storage in frost free freezers is not recommended. Avoid repeated freeze/thaw cycles. Suggest spin the vial prior to opening. The antibody solution should be gently mixed before use. |
| 注意事项 | For laboratory research only, not for drug, diagnostic or other use. |
生物信息
| 数据库连接 |
Swiss-port # P13984 Human General transcription factor IIF subunit 2 Swiss-port # Q8R0A0 Mouse General transcription factor IIF subunit 2 |
|---|---|
| 基因名称 | GTF2F2 |
| 全名 | general transcription factor IIF, polypeptide 2, 30kDa |
| 生物功能 | TFIIF is a general transcription initiation factor that binds to RNA polymerase II and helps to recruit it to the initiation complex in collaboration with TFIIB. It promotes transcription elongation. This subunit shows ATP-dependent DNA-helicase activity. [UniProt] |
| 细胞定位 | Nucleus. [UniProt] |
| 预测分子量 | 28 kDa |
检测图片 (3) Click the Picture to Zoom In
-
ARG59622 anti-TFIIF beta antibody ICC/IF image
Immunofluorescence: A549 cells stained with ARG59622 anti-TFIIF beta antibody.
-
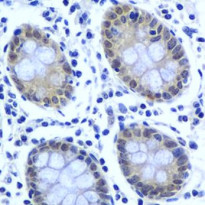
ARG59622 anti-TFIIF beta antibody IHC-P image
Immunohistochemistry: Paraffin-embedded Human colon stained with ARG59622 anti-TFIIF beta antibody at 1:200 dilution.
-
ARG59622 anti-TFIIF beta antibody IHC-P image
Immunohistochemistry: Paraffin-embedded Human kidney cancer stained with ARG59622 anti-TFIIF beta antibody at 1:200 dilution.
