ARG59646
anti-TFIIE beta antibody
anti-TFIIE beta antibody for IHC-Formalin-fixed paraffin-embedded sections,Western blot and Human
概述
| 产品描述 | Rabbit Polyclonal antibody recognizes TFIIE beta |
|---|---|
| 反应物种 | Hu |
| 预测物种 | Ms, Rat, Cow, Dog, Goat, Gpig, Hrs, Rb, Zfsh |
| 应用 | IHC-P, WB |
| 宿主 | Rabbit |
| 克隆 | Polyclonal |
| 同位型 | IgG |
| 靶点名称 | TFIIE beta |
| 抗原物种 | Human |
| 抗原 | Synthetic peptide around the N-terminal region of Human TFIIE beta. (within the following region: VEHGGSSGSKQNSDHSNGSFNLKALSGSSGYKFGVLAKIVNYMKTRHQRG) |
| 偶联标记 | Un-conjugated |
| 別名 | General transcription factor IIE subunit 2; TF2E2; TFIIE-beta; FE; Transcription initiation factor IIE subunit beta; TFIIE-B |
应用说明
| 预测反应性说明 | Predicted Homology Based On Immunogen Sequence: Cow: 100%; Dog: 100%; Goat: 79%; Guinea Pig: 100%; Horse: 100%; Mouse: 93%; Rabbit: 100%; Rat: 100%; Zebrafish: 85% | ||||||
|---|---|---|---|---|---|---|---|
| 应用建议 |
|
||||||
| 应用说明 | * The dilutions indicate recommended starting dilutions and the optimal dilutions or concentrations should be determined by the scientist. |
属性
| 形式 | Liquid |
|---|---|
| 纯化 | Affinity purified. |
| 缓冲液 | PBS, 0.09% (w/v) Sodium azide and 2% Sucrose. |
| 抗菌剂 | 0.09% (w/v) Sodium azide |
| 稳定剂 | 2% Sucrose |
| 浓度 | Batch dependent: 0.5 - 1 mg/ml |
| 存放说明 | For continuous use, store undiluted antibody at 2-8°C for up to a week. For long-term storage, aliquot and store at -20°C or below. Storage in frost free freezers is not recommended. Avoid repeated freeze/thaw cycles. Suggest spin the vial prior to opening. The antibody solution should be gently mixed before use. |
| 注意事项 | For laboratory research only, not for drug, diagnostic or other use. |
生物信息
| 数据库连接 |
Swiss-port # P29084 Human Transcription initiation factor IIE subunit beta |
|---|---|
| 基因名称 | GTF2E2 |
| 全名 | general transcription factor IIE, polypeptide 2, beta 34kDa |
| 生物功能 | Recruits TFIIH to the initiation complex and stimulates the RNA polymerase II C-terminal domain kinase and DNA-dependent ATPase activities of TFIIH. Both TFIIH and TFIIE are required for promoter clearance by RNA polymerase. [UniProt] |
| 细胞定位 | Nucleus. [UniProt] |
| 预测分子量 | 33 kDa |
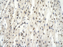
检测图片 (2) Click the Picture to Zoom In
-
ARG59646 anti-TFIIE beta antibody IHC-P image
Immunohistochemistry: Paraffin-embedded Human cardiac cell (epithelial cells of renal tubule) stained with ARG59646 anti-TFIIE beta antibody at 4 - 8 µg/ml dilution. (Magnification: 400X).
-
ARG59646 anti-TFIIE beta antibody WB image
Western blot: Daudi cell lysate stained with ARG59646 anti-TFIIE beta antibody at 0.2 - 1 µg/ml dilution.
