ARG44751
anti-TFAP2A / AP2 alpha antibody
anti-TFAP2A / AP2 alpha antibody for IHC-Formalin-fixed paraffin-embedded sections,Immunoprecipitation,Western blot and Human
概述
| 产品描述 | Mouse Monoclonal antibody recognizes TFAP2A / AP2 alpha |
|---|---|
| 反应物种 | Hu |
| 应用 | IHC-P, IP, WB |
| 宿主 | Mouse |
| 克隆 | Monoclonal |
| 同位型 | IgG2a |
| 靶点名称 | AP2 alpha |
| 抗原物种 | Human |
| 偶联标记 | Un-conjugated |
| 別名 | BOFS; TFAP2; Activating enhancer-binding protein 2-alpha; AP2-alpha; Transcription factor AP-2-alpha; AP-2; AP-2alpha; AP-2 transcription factor; Activator protein 2; AP2TF |
应用说明
| 应用建议 |
|
||||||||
|---|---|---|---|---|---|---|---|---|---|
| 应用说明 | * The dilutions indicate recommended starting dilutions and the optimal dilutions or concentrations should be determined by the scientist. |
属性
| 形式 | Liquid |
|---|---|
| 纯化 | Protein A purification |
| 缓冲液 | PBS with 0.09% sodium azide |
| 存放说明 | For continuous use, store undiluted antibody at 2-8°C for up to a week. For long-term storage, aliquot and store at -20°C or below. Storage in frost free freezers is not recommended. Avoid repeated freeze/thaw cycles. Suggest spin the vial prior to opening. The antibody solution should be gently mixed before use. |
| 注意事项 | For laboratory research only, not for drug, diagnostic or other use. |
生物信息
| 数据库连接 | |
|---|---|
| 基因名称 | TFAP2A |
| 全名 | transcription factor AP-2 alpha (activating enhancer binding protein 2 alpha) |
| 背景介绍 | The protein encoded by this gene is a transcription factor that binds the consensus sequence 5'-GCCNNNGGC-3'. The encoded protein functions as either a homodimer or as a heterodimer with similar family members. This protein activates the transcription of some genes while inhibiting the transcription of others. Defects in this gene are a cause of branchiooculofacial syndrome (BOFS). Three transcript variants encoding different isoforms have been found for this gene.[provided by RefSeq, Dec 2009] |
| 生物功能 | Enhances the phosphorylation and activation of AKT1, AKT2 and AKT3. Promotes nuclear translocation of AKT1. Enhances cell proliferation, stabilizes mitochondrial membrane potential and promotes cell survival. [UniProt] |
| 预测分子量 | 48 kDa |
| 翻译后修饰 | Sumoylated on Lys-10; which inhibits transcriptional activity. [UniProt] |
检测图片 (3) Click the Picture to Zoom In
-
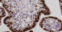
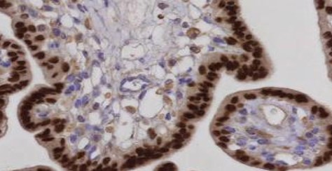
ARG44751 anti-TFAP2A / AP2 alpha antibody IHC-P image
Immunohistochemistry: Human placenta stained with ARG44751 anti-TFAP2A / AP2 alpha antibody at 5 µg/mL dilution.
-
ARG44751 anti-TFAP2A / AP2 alpha antibody WB image
Western blot: HeLa stained with ARG44751 anti-TFAP2A / AP2 alpha antibody at 1 µg/mL dilution.
-
ARG44751 anti-TFAP2A / AP2 alpha antibody IP image
Immunoprecipitation: HeLa lysate immunoprecipitated with 2.5 µg of ARG44751 anti-TFAP2A / AP2 alpha antibody.
