ARG45137
anti-TFAM antibody
anti-TFAM antibody for ICC/IF,IHC-Formalin-fixed paraffin-embedded sections,Western blot and Human,Mouse,Rat
概述
| 产品描述 | Rabbit Polyclonal antibody recognizes TFAM |
|---|---|
| 反应物种 | Hu, Ms, Rat |
| 应用 | ICC/IF, IHC-P, WB |
| 宿主 | Rabbit |
| 克隆 | Polyclonal |
| 同位型 | IgG |
| 靶点名称 | TFAM |
| 抗原物种 | Human |
| 抗原 | Synthetic peptide corresponding to N-terminal region of human TFAM. |
| 偶联标记 | Un-conjugated |
| 別名 | TFAM; transcription factor A, mitochondrial; TCF6; MTTFA; mtTFA; TCF-6; Transcription factor A, mitochondrial; MtTF1; MTTF1; Mitochondrial transcription factor 1; Transcription factor 6-like 2; TCF6L1; Transcription factor 6; TCF6L3; TCF6L2 |
应用说明
| 应用建议 |
|
||||||||
|---|---|---|---|---|---|---|---|---|---|
| 应用说明 | * The dilutions indicate recommended starting dilutions and the optimal dilutions or concentrations should be determined by the scientist. | ||||||||
| 实际分子量 | 24 kDa |
属性
| 形式 | Liquid |
|---|---|
| 纯化 | Affinity purification with immunogen. |
| 缓冲液 | 0.2% Na2HPO4, 0.9% NaCl and 4% Trehalose. |
| 稳定剂 | 4% Trehalose |
| 浓度 | 0.5 mg/ml |
| 存放说明 | For continuous use, store undiluted antibody at 2-8°C for up to a week. For long-term storage, aliquot and store at -20°C or below. Storage in frost free freezers is not recommended. Avoid repeated freeze/thaw cycles. Suggest spin the vial prior to opening. The antibody solution should be gently mixed before use. |
| 注意事项 | For laboratory research only, not for drug, diagnostic or other use. |
生物信息
| 数据库连接 | |
|---|---|
| 基因名称 | TFAM |
| 全名 | transcription factor A, mitochondrial |
| 背景介绍 | This gene encodes a key mitochondrial transcription factor containing two high mobility group motifs. The encoded protein also functions in mitochondrial DNA replication and repair. Sequence polymorphisms in this gene are associated with Alzheimer's and Parkinson's diseases. There are pseudogenes for this gene on chromosomes 6, 7, and 11. Alternative splicing results in multiple transcript variants. [provided by RefSeq, Aug 2012] |
| 生物功能 | Binds to the mitochondrial light strand promoter and functions in mitochondrial transcription regulation. Required for accurate and efficient promoter recognition by the mitochondrial RNA polymerase. Promotes transcription initiation from the HSP1 and the light strand promoter by binding immediately upstream of transcriptional start sites. Is able to unwind DNA. Bends the mitochondrial light strand promoter DNA into a U-turn shape via its HMG boxes. Required for maintenance of normal levels of mitochondrial DNA. May play a role in organizing and compacting mitochondrial DNA. [UniProt] |
| 细胞定位 | Mitochondrion; Mitochondrion matrix; mitochondrion nucleoid. [UniProt] |
| 预测分子量 | 29 kDa |
| 翻译后修饰 | Phosphoprotein. [UniProt] |
检测图片 (5) Click the Picture to Zoom In
-
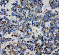
ARG45137 anti-TFAM antibody IHC-P image
Immunohistochemistry: Human lung cancer stained with ARG45137 anti-TFAM antibody at 1 μg/ml dilution.
-
ARG45137 anti-TFAM antibody ICC/IF image
Immunofluorescence: A431 cell stained with ARG45137 anti-TFAM antibody at 2 ug/ml dilution.
-
ARG45137 anti-TFAM antibody WB image
Western blot: Caco-2, SW620, and PANC-1 stained with ARG45137 anti-TFAM antibody at 5 μg/ml dilution.
-
ARG45137 anti-TFAM antibody WB image
Western blot: Rat brain stained with ARG45137 anti-TFAM antibody at 5 μg/ml dilution.
-
ARG45137 anti-TFAM antibody WB image
Western blot: Mouse brain stained with ARG45137 anti-TFAM antibody at 5 μg/ml dilution.
