ARG55408
anti-TEM8 / Anthrax Toxin Receptor 1 antibody
anti-TEM8 / Anthrax Toxin Receptor 1 antibody for IHC-Formalin-fixed paraffin-embedded sections,Western blot and Human
Cell Biology and Cellular Response antibody; Controls and Markers antibody; Microbiology and Infectious Disease antibody
概述
| 产品描述 | Rabbit Polyclonal antibody recognizes TEM8 / Anthrax Toxin Receptor 1 |
|---|---|
| 反应物种 | Hu |
| 预测物种 | Ms, Rat |
| 应用 | IHC-P, WB |
| 特异性 | At least three isoforms of TEM8 are known to exist; this antibody will detect all three isoforms. |
| 宿主 | Rabbit |
| 克隆 | Polyclonal |
| 同位型 | IgG |
| 靶点名称 | TEM8 / Anthrax Toxin Receptor 1 |
| 抗原物种 | Human |
| 抗原 | Synthetic peptide (13 aa) within aa. 220-270 of Human TEM8. |
| 偶联标记 | Un-conjugated |
| 別名 | Tumor endothelial marker 8; Anthrax toxin receptor 1; ATR; TEM8; GAPO |
应用说明
| 应用建议 |
|
||||||
|---|---|---|---|---|---|---|---|
| 应用说明 | * The dilutions indicate recommended starting dilutions and the optimal dilutions or concentrations should be determined by the scientist. | ||||||
| 阳性对照 | HepG2 Cell Lysate |
属性
| 形式 | Liquid |
|---|---|
| 纯化 | Purified by affinity chromatography. |
| 缓冲液 | PBS and 0.02% Sodium azide |
| 抗菌剂 | 0.02% Sodium azide |
| 浓度 | 1 mg/ml |
| 存放说明 | For continuous use, store undiluted antibody at 2-8°C for up to a week. For long-term storage, aliquot and store at -20°C or below. Storage in frost free freezers is not recommended. Avoid repeated freeze/thaw cycles. Suggest spin the vial prior to opening. The antibody solution should be gently mixed before use. |
| 注意事项 | For laboratory research only, not for drug, diagnostic or other use. |
生物信息
| 数据库连接 | |
|---|---|
| 基因名称 | ANTXR1 |
| 全名 | anthrax toxin receptor 1 |
| 背景介绍 | This gene encodes a type I transmembrane protein and is a tumor-specific endothelial marker that has been implicated in colorectal cancer. The encoded protein has been shown to also be a docking protein or receptor for Bacillus anthracis toxin, the causative agent of the disease, anthrax. The binding of the protective antigen (PA) component, of the tripartite anthrax toxin, to this receptor protein mediates delivery of toxin components to the cytosol of cells. Once inside the cell, the other two components of anthrax toxin, edema factor (EF) and lethal factor (LF) disrupt normal cellular processes. Three alternatively spliced variants that encode different protein isoforms have been described. [provided by RefSeq, Oct 2008] |
| 生物功能 | Plays a role in cell attachment and migration. Interacts with extracellular matrix proteins and with the actin cytoskeleton. Mediates adhesion of cells to type 1 collagen and gelatin, reorganization of the actin cytoskeleton and promotes cell spreading. Plays a role in the angiogenic response of cultured umbilical vein endothelial cells. [UniProt] |
| 研究领域 | Cell Biology and Cellular Response antibody; Controls and Markers antibody; Microbiology and Infectious Disease antibody |
| 预测分子量 | Isoform 1: 63 kDa Isoform 2: 41 kDa |
检测图片 (3) Click the Picture to Zoom In
-
ARG55408 anti-TEM8 / Anthrax Toxin Receptor 1 antibody WB image
Western blot: HepG2 cell lysates stained with ARG55408 anti-TEM8 / Anthrax Toxin Receptor 1 antibody at (A) 0.5, (B) 1, and (C) 2 µg/ml dilution.
-
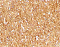
ARG55408 anti-TEM8 / Anthrax Toxin Receptor 1 antibody IHC image
Immunohistochemistry: Human brain tissue stained with ARG55408 anti-TEM8 / Anthrax Toxin Receptor 1 antibody at 2 µg/ml dilution.
-
ARG55408 anti-TEM8 / Anthrax Toxin Receptor 1 antibody IHC image
Immunohistochemistry: Human Brain tissue stained with ARG55408 anti-TEM8 / Anthrax Toxin Receptor 1 antibody at 10 µg/ml dilution.
