ARG59307
anti-TECTA / Tectorin alpha antibody
anti-TECTA / Tectorin alpha antibody for IHC-Formalin-fixed paraffin-embedded sections,Western blot and Human,Mouse,Rat
概述
| 产品描述 | Rabbit Polyclonal antibody recognizes TECTA / Tectorin alpha |
|---|---|
| 反应物种 | Hu, Ms, Rat |
| 应用 | IHC-P, WB |
| 宿主 | Rabbit |
| 克隆 | Polyclonal |
| 同位型 | IgG |
| 靶点名称 | TECTA / Tectorin alpha |
| 抗原物种 | Human |
| 抗原 | Synthetic peptide corresponding to aa. 93-134 of Human TECTA / Tectorin alpha. (RAFVAPFWADVHNGIRGEIYYRETMEPAILKRATKDIRKYFK) |
| 偶联标记 | Un-conjugated |
| 別名 | DFNA12; DFNB21; Alpha-tectorin; DFNA8 |
应用说明
| 应用建议 |
|
||||||
|---|---|---|---|---|---|---|---|
| 应用说明 | IHC-P: Antigen Retrieval: By heat mediation. * The dilutions indicate recommended starting dilutions and the optimal dilutions or concentrations should be determined by the scientist. |
属性
| 形式 | Liquid |
|---|---|
| 纯化 | Affinity purification with immunogen. |
| 缓冲液 | 0.9% NaCl, 0.2% Na2HPO4, 0.05% Sodium azide and 5% BSA. |
| 抗菌剂 | 0.05% Sodium azide |
| 稳定剂 | 5% BSA |
| 浓度 | 0.5 mg/ml |
| 存放说明 | For continuous use, store undiluted antibody at 2-8°C for up to a week. For long-term storage, aliquot and store at -20°C or below. Storage in frost free freezers is not recommended. Avoid repeated freeze/thaw cycles. Suggest spin the vial prior to opening. The antibody solution should be gently mixed before use. |
| 注意事项 | For laboratory research only, not for drug, diagnostic or other use. |
生物信息
| 数据库连接 | |
|---|---|
| 基因名称 | TECTA |
| 全名 | tectorin alpha |
| 背景介绍 | The tectorial membrane is an extracellular matrix of the inner ear that contacts the stereocilia bundles of specialized sensory hair cells. Sound induces movement of these hair cells relative to the tectorial membrane, deflects the stereocilia, and leads to fluctuations in hair-cell membrane potential, transducing sound into electrical signals. Alpha-tectorin is one of the major noncollagenous components of the tectorial membrane. Mutations in the TECTA gene have been shown to be responsible for autosomal dominant nonsyndromic hearing impairment and a recessive form of sensorineural pre-lingual non-syndromic deafness. [provided by RefSeq, Jul 2008] |
| 生物功能 | One of the major non-collagenous components of the tectorial membrane (By similarity). The tectorial membrane is an extracellular matrix of the inner ear that covers the neuroepithelium of the cochlea and contacts the stereocilia bundles of specialized sensory hair cells. Sound induces movement of these hair cells relative to the tectorial membrane, deflects the stereocilia and leads to fluctuations in hair-cell membrane potential, transducing sound into electrical signals. [UniProt] |
| 细胞定位 | Cell membrane; Lipid-anchor, GPI-anchor; Extracellular side. Secreted, extracellular space, extracellular matrix. Note=Found in the non-collagenous matrix of the tectorial membrane. [UniProt] |
| 预测分子量 | 240 kDa |
| 翻译后修饰 | The presence of a hydrophobic C-terminus preceded by a potential cleavage site strongly suggests that tectorins are synthesized as glycosylphosphatidylinositol-linked, membrane-bound precursors. Tectorins are targeted to the apical surface of the inner ear epithelia by the lipid and proteolytically released into the extracellular compartment. [UniProt] |
检测图片 (4) Click the Picture to Zoom In
-
ARG59307 anti-TECTA / Tectorin alpha antibody IHC-P image
Immunohistochemistry: Paraffin-embedded Human intetsinal cancer stained with ARG59307 anti-TECTA / Tectorin alpha antibody at 1 µg/ml dilution.
-
ARG59307 anti-TECTA / Tectorin alpha antibody WB image
Western blot: Rat testis, HEPA1-6 and HepG2 whole cell lysates stained with ARG59307 anti-TECTA / Tectorin alpha antibody at 0.5 µg/ml dilution.
-
ARG59307 anti-TECTA / Tectorin alpha antibody IHC-P image
Immunohistochemistry: Paraffin-embedded Human lung cancer stained with ARG59307 anti-TECTA / Tectorin alpha antibody at 1 µg/ml dilution.
-
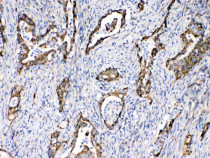
ARG59307 anti-TECTA / Tectorin alpha antibody IHC-P image
Immunohistochemistry: Paraffin-embedded Human testis stained with ARG59307 anti-TECTA / Tectorin alpha antibody at 1 µg/ml dilution.
