ARG46558
anti-TCTN1 antibody
anti-TCTN1 antibody for Western blot,IHC-Formalin-fixed paraffin-embedded sections and Human,Mouse
概述
| 产品描述 | Rabbit Polyclonal antibody recognizes TCTN1 |
|---|---|
| 反应物种 | Hu, Ms |
| 应用 | IHC-P, WB |
| 宿主 | Rabbit |
| 克隆 | Polyclonal |
| 同位型 | IgG |
| 靶点名称 | TCTN1 |
| 抗原物种 | Human |
| 抗原 | A 15 amino acid synthetic peptide within the last 50 amino acids of human TCTN1. |
| 偶联标记 | Un-conjugated |
| 別名 | TCTN1; TECT1; Tectonic-1; JBTS13 |
应用说明
| 应用建议 |
|
||||||
|---|---|---|---|---|---|---|---|
| 应用说明 | * The dilutions indicate recommended starting dilutions and the optimal dilutions or concentrations should be determined by the scientist. |
属性
| 纯化 | Affinity chromatography purified |
|---|---|
| 缓冲液 | PBS and 0.02% Sodium azide. |
| 抗菌剂 | 0.02% Sodium azide |
| 浓度 | 1 mg/ml |
| 存放说明 | For continuous use, store undiluted antibody at 2-8°C for up to a week. For long-term storage, aliquot and store at -20°C. Storage in frost free freezers is not recommended. Avoid repeated freeze/thaw cycles. Suggest spin the vial prior to opening. The antibody solution should be gently mixed before use. |
| 注意事项 | For laboratory research only, not for drug, diagnostic or other use. |
生物信息
| 数据库连接 | |
|---|---|
| 基因名称 | TCTN1 |
| 全名 | tectonic family member 1 |
| 背景介绍 | TCTN1 belongs to the Tectonic protein family that regulate Hedgehog (Hh) pathway. During neural tube development, TCTN1 is required for the formation of most ventral cell types and for full Hh pathway activation. At later stages in development, TCTN1 is thought to also act as a repressor on the Hh pathway in the anterior and posterior neural tube. |
检测图片 (3) Click the Picture to Zoom In
-
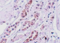
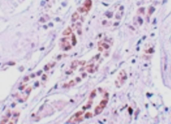
ARG46558 anti-TCTN1 antibody IHC-P image
Immunohistochemistry: Human kidney stained with ARG46558 anti-TCTN1 antibody.
-
ARG46558 anti-TCTN1 antibody ICC/IF image
Immunofluorescence: Human Kidney stained with ARG46558 anti-TCTN1 antibody.
-
ARG46558 anti-TCTN1 antibody WB image
Western blot: Mouse kidney stained with ARG46558 anti-TCTN1 antibody.
