ARG59466
anti-TCF7L1 / TCF3 antibody
anti-TCF7L1 / TCF3 antibody for IHC-Formalin-fixed paraffin-embedded sections,Western blot and Human
概述
| 产品描述 | Rabbit Polyclonal antibody recognizes TCF7L1 / TCF3 |
|---|---|
| 反应物种 | Hu |
| 预测物种 | Hm |
| 应用 | IHC-P, WB |
| 宿主 | Rabbit |
| 克隆 | Polyclonal |
| 同位型 | IgG |
| 靶点名称 | TCF7L1 / TCF3 |
| 抗原物种 | Human |
| 抗原 | Synthetic peptide corresponding to aa. 561-588 of Human TCF7L1 / TCF3. (SFPATLHAHQALPVLQAQPLSLVTKSAH) |
| 偶联标记 | Un-conjugated |
| 別名 | TCF-3; Transcription factor 7-like 1; TCF3; HMG box transcription factor 3 |
应用说明
| 应用建议 |
|
||||||
|---|---|---|---|---|---|---|---|
| 应用说明 | IHC-P: Antigen Retrieval: By heat mediation. * The dilutions indicate recommended starting dilutions and the optimal dilutions or concentrations should be determined by the scientist. |
属性
| 形式 | Liquid |
|---|---|
| 纯化 | Affinity purification with immunogen. |
| 缓冲液 | 0.9% NaCl, 0.2% Na2HPO4, 0.05% Sodium azide and 5% BSA. |
| 抗菌剂 | 0.05% Sodium azide |
| 稳定剂 | 5% BSA |
| 浓度 | 0.5 mg/ml |
| 存放说明 | For continuous use, store undiluted antibody at 2-8°C for up to a week. For long-term storage, aliquot and store at -20°C or below. Storage in frost free freezers is not recommended. Avoid repeated freeze/thaw cycles. Suggest spin the vial prior to opening. The antibody solution should be gently mixed before use. |
| 注意事项 | For laboratory research only, not for drug, diagnostic or other use. |
生物信息
| 数据库连接 | |
|---|---|
| 基因名称 | TCF7L1 |
| 全名 | transcription factor 7-like 1 (T-cell specific, HMG-box) |
| 背景介绍 | This gene encodes a member of the T cell factor/lymphoid enhancer factor family of transcription factors. These transcription factors are activated by beta catenin, mediate the Wnt signaling pathway and are antagonized by the transforming growth factor beta signaling pathway. The encoded protein contains a high mobility group-box DNA binding domain and participates in the regulation of cell cycle genes and cellular senescence. [provided by RefSeq, Nov 2010] |
| 生物功能 | Participates in the Wnt signaling pathway. Binds to DNA and acts as a repressor in the absence of CTNNB1, and as an activator in its presence. Necessary for the terminal differentiation of epidermal cells, the formation of keratohyalin granules and the development of the barrier function of the epidermis (By similarity). Down-regulates NQO1, leading to increased mitomycin c resistance. [UniProt] |
| 细胞定位 | Nucleus. [UniProt] |
| 预测分子量 | 63 kDa |
检测图片 (2) Click the Picture to Zoom In
-
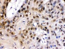
ARG59466 anti-TCF7L1 / TCF3 antibody IHC-P image
Immunohistochemistry: Paraffin-embedded Human oesophagus squama cancer stained with ARG59466 anti-TCF7L1 / TCF3 antibody at 1 µg/ml dilution.
-
ARG59466 anti-TCF7L1 / TCF3 antibody WB image
Western blot: COLO320 whole cell lysate stained with ARG59466 anti-TCF7L1 / TCF3 antibody at 0.5 µg/ml dilution.
