ARG59495
anti-TBX1 antibody
anti-TBX1 antibody for ICC/IF,IHC-Formalin-fixed paraffin-embedded sections and Human
概述
| 产品描述 | Rabbit Polyclonal antibody recognizes TBX1 |
|---|---|
| 反应物种 | Hu |
| 应用 | ICC/IF, IHC-P |
| 宿主 | Rabbit |
| 克隆 | Polyclonal |
| 同位型 | IgG |
| 靶点名称 | TBX1 |
| 抗原物种 | Human |
| 抗原 | KLH-conjugated synthetic peptide corresponding to aa. 327-356 of Human TBX1. |
| 偶联标记 | Un-conjugated |
| 別名 | Testis-specific T-box protein; DORV; VCF; T-box transcription factor TBX1; CAFS; T-box protein 1; DGCR; DGS; TGA; CTHM; VCFS; TBX1C; CATCH22 |
应用说明
| 应用建议 |
|
||||||
|---|---|---|---|---|---|---|---|
| 应用说明 | * The dilutions indicate recommended starting dilutions and the optimal dilutions or concentrations should be determined by the scientist. |
属性
| 形式 | Liquid |
|---|---|
| 纯化 | Purification with Protein A and immunogen peptide. |
| 缓冲液 | PBS and 0.09% (W/V) Sodium azide. |
| 抗菌剂 | 0.09% (W/V) Sodium azide. |
| 存放说明 | For continuous use, store undiluted antibody at 2-8°C for up to a week. For long-term storage, aliquot and store at -20°C or below. Storage in frost free freezers is not recommended. Avoid repeated freeze/thaw cycles. Suggest spin the vial prior to opening. The antibody solution should be gently mixed before use. |
| 注意事项 | For laboratory research only, not for drug, diagnostic or other use. |
生物信息
| 数据库连接 | |
|---|---|
| 基因名称 | TBX1 |
| 全名 | T-box 1 |
| 背景介绍 | This gene is a member of a phylogenetically conserved family of genes that share a common DNA-binding domain, the T-box. T-box genes encode transcription factors involved in the regulation of developmental processes. This gene product shares 98% amino acid sequence identity with the mouse ortholog. DiGeorge syndrome (DGS)/velocardiofacial syndrome (VCFS), a common congenital disorder characterized by neural-crest-related developmental defects, has been associated with deletions of chromosome 22q11.2, where this gene has been mapped. Studies using mouse models of DiGeorge syndrome suggest a major role for this gene in the molecular etiology of DGS/VCFS. Several alternatively spliced transcript variants encoding different isoforms have been described for this gene. [provided by RefSeq, Jul 2008] |
| 生物功能 | Probable transcriptional regulator involved in developmental processes. Is required for normal development of the pharyngeal arch arteries (By similarity). [UniProt] |
| 细胞定位 | Nucleus. [UniProt] |
| 预测分子量 | 43 kDa |
检测图片 (2) Click the Picture to Zoom In
-
ARG59495 anti-TBX1 antibody ICC/IF image
Immunofluorescence: A2058 cells were fixed with 4% PFA (20 min), permeabilized with Triton X-100 (0.1%, 10 min), then stained with ARG59495 anti-TBX1 antibody (green) at 1:25 dilution, 1 hour at 37°C. Cytoplasmic actin was counterstained with Alexa Fluor® 555 (red) conjugated Phalloidin (7 units/ml, 1 hour at 37°C). Nuclei were counterstained with DAPI (blue).
-
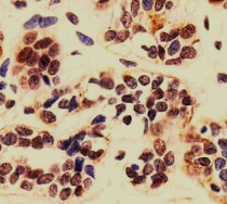
ARG59495 anti-TBX1 antibody IHC-P image
Immunohistochemistry: Paraffin-embedded Human breast tissue stained with ARG59495 anti-TBX1 antibody at 1:25 dilution.
