ARG45566
anti-TAS2R10 antibody
anti-TAS2R10 antibody for Flow cytometry,IHC-Formalin-fixed paraffin-embedded sections,Western blot and Human,Mouse,Rat
概述
| 产品描述 | Rabbit Polyclonal antibody recognizes TAS2R10 |
|---|---|
| 反应物种 | Hu, Ms, Rat |
| 应用 | FACS, IHC-P, WB |
| 宿主 | Rabbit |
| 克隆 | Polyclonal |
| 同位型 | IgG |
| 靶点名称 | TAS2R10 |
| 抗原物种 | Human |
| 抗原 | Recombinant protein containing to human TAS2R10. |
| 偶联标记 | Un-conjugated |
| 別名 | TAS2R10; Taste 2 Receptor Member 10; T2R10; TRB2; Taste Receptor, Type 2, Member 10; Taste Receptor Type 2 Member 10; Taste Receptor, Family B, Member 2; Taste Receptor Family B Member 2 |
应用说明
| 应用建议 |
|
||||||||
|---|---|---|---|---|---|---|---|---|---|
| 应用说明 | * The dilutions indicate recommended starting dilutions and the optimal dilutions or concentrations should be determined by the scientist. | ||||||||
| 实际分子量 | 38 kDa |
属性
| 形式 | Liquid |
|---|---|
| 纯化 | Affinity purified |
| 缓冲液 | 0.2% Na2HPO4, 0.9% NaCl and 4% Trehalose. |
| 稳定剂 | 4% Trehalose |
| 浓度 | 0.5 mg/ml |
| 存放说明 | For continuous use, store undiluted antibody at 2-8°C for up to a week. For long-term storage, aliquot and store at -20°C or below. Storage in frost free freezers is not recommended. Avoid repeated freeze/thaw cycles. Suggest spin the vial prior to opening. The antibody solution should be gently mixed before use. |
| 注意事项 | For laboratory research only, not for drug, diagnostic or other use. |
生物信息
| 数据库连接 | |
|---|---|
| 基因名称 | TAS2R10 |
| 全名 | Taste 2 Receptor Member 10 |
| 背景介绍 | This gene product belongs to the family of candidate taste receptors that are members of the G-protein-coupled receptor superfamily. These proteins are specifically expressed in the taste receptor cells of the tongue and palate epithelia. They are organized in the genome in clusters and are genetically linked to loci that influence bitter perception in mice and humans. In functional expression studies, they respond to bitter tastants. This gene maps to the taste receptor gene cluster on chromosome 12p13. [provided by RefSeq, Jul 2008] |
| 生物功能 | Gustducin-coupled strychnine receptor implicated in the perception of bitter compounds in the oral cavity and the gastrointestinal tract. Signals through PLCB2 and the calcium-regulated cation channel TRPM5. [UniProt] |
| 细胞定位 | Membrane. [UniProt] |
| 预测分子量 | 35 kDa |
| 翻译后修饰 | Glycoprotein. [UniProt] |
检测图片 (5) Click the Picture to Zoom In
-
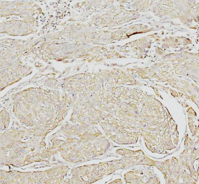
ARG45566 anti-TAS2R10 antibody IHC-P image
Immunohistochemistry: Human cervix squamous cell carcinoma stained with ARG45566 anti-TAS2R10 antibody at 2 μg/ml dilution.
-
ARG45566 anti-TAS2R10 antibody WB image
Western blot: Hela stained with ARG45566 anti-TAS2R10 antibody at 0.5 μg/ml dilution.
-
ARG45566 anti-TAS2R10 antibody WB image
Western blot: NIH/3T3 stained with ARG45566 anti-TAS2R10 antibody at 0.5 μg/ml dilution.
-
ARG45566 anti-TAS2R10 antibody WB image
Western blot: C6 stained with ARG45566 anti-TAS2R10 antibody at 0.5 μg/ml dilution.
-
ARG45566 anti-TAS2R10 antibody FACS image
Flow Cytometry: HEL stained with ARG45566 anti-TAS2R10 antibody at 1 µg/10^6 cells dilution.
