ARG45772
anti-TAF4 antibody
anti-TAF4 antibody for Flow cytometry,ICC/IF,IHC-Formalin-fixed paraffin-embedded sections,Western blot and Human,Mouse,Rat
概述
| 产品描述 | Rabbit Polyclonal antibody recognizes TAF4 |
|---|---|
| 反应物种 | Hu, Ms, Rat |
| 应用 | FACS, ICC/IF, IHC-P, WB |
| 宿主 | Rabbit |
| 克隆 | Polyclonal |
| 同位型 | IgG |
| 靶点名称 | TAF4 |
| 抗原物种 | Human |
| 抗原 | Recombinant protein containing to human TAF4. |
| 偶联标记 | Un-conjugated |
| 別名 | TAF4; TATA-Box Binding Protein Associated Factor 4; TAFII130; TAFII135; TAF2C1; TAF2C; TAF4A; TAF4 RNA Polymerase II, TATA Box Binding Protein (TBP)-Associated Factor, 135kDa; TATA Box Binding Protein (TBP)-Associated Factor, RNA Polymerase II, C1, 130kD; Transcription Initiation Factor TFIID 130 KDa Subunit; Transcription Initiation Factor TFIID 135 KDa Subunit; RNA Polymerase II TBP-Associated Factor Subunit C; Transcription Initiation Factor TFIID Subunit 4; TBP-Associated Factor 4; TAF(II)130; TAF(II)135; TAFII-130; TAFII-135; TAF4A RNA Polymerase II, TATA Box Binding Protein (TBP)-Associated Factor, 135 KD; Transcription Initiation Factor TFIID 135 KD Subunit; MRD73 |
应用说明
| 应用建议 |
|
||||||||||
|---|---|---|---|---|---|---|---|---|---|---|---|
| 应用说明 | * The dilutions indicate recommended starting dilutions and the optimal dilutions or concentrations should be determined by the scientist. | ||||||||||
| 实际分子量 | 135 kDa |
属性
| 形式 | Liquid |
|---|---|
| 纯化 | Affinity purified |
| 缓冲液 | 0.2% Na2HPO4, 0.9% NaCl and 4% Trehalose. |
| 稳定剂 | 4% Trehalose |
| 浓度 | 0.5 mg/ml |
| 存放说明 | For continuous use, store undiluted antibody at 2-8°C for up to a week. For long-term storage, aliquot and store at -20°C or below. Storage in frost free freezers is not recommended. Avoid repeated freeze/thaw cycles. Suggest spin the vial prior to opening. The antibody solution should be gently mixed before use. |
| 注意事项 | For laboratory research only, not for drug, diagnostic or other use. |
生物信息
| 数据库连接 |
Swiss-port # O00268 Human Transcription initiation factor TFIID subunit 4 |
|---|---|
| 基因名称 | TAF4 |
| 全名 | TATA-Box Binding Protein Associated Factor 4 |
| 背景介绍 | Initiation of transcription by RNA polymerase II requires the activities of more than 70 polypeptides. The protein that coordinates these activities is transcription factor IID (TFIID), which binds to the core promoter to position the polymerase properly, serves as the scaffold for assembly of the remainder of the transcription complex, and acts as a channel for regulatory signals. TFIID is composed of the TATA-binding protein (TBP) and a group of evolutionarily conserved proteins known as TBP-associated factors or TAFs. TAFs may participate in basal transcription, serve as coactivators, function in promoter recognition or modify general transcription factors (GTFs) to facilitate complex assembly and transcription initiation. This gene encodes one of the larger subunits of TFIID that has been shown to potentiate transcriptional activation by retinoic acid, thyroid hormone and vitamin D3 receptors. In addition, this subunit interacts with the transcription factor CREB, which has a glutamine-rich activation domain, and binds to other proteins containing glutamine-rich regions. Aberrant binding to this subunit by proteins with expanded polyglutamine regions has been suggested as one of the pathogenetic mechanisms underlying a group of neurodegenerative disorders referred to as polyglutamine diseases. [provided by RefSeq, Jul 2008] |
| 生物功能 | The TFIID basal transcription factor complex plays a major role in the initiation of RNA polymerase II (Pol II)-dependent transcription. [UniProt] |
| 细胞定位 | Nucleus. [UniProt] |
| 预测分子量 | 110 kDa |
| 翻译后修饰 | Methylation; Phosphoprotein. [UniProt] |
检测图片 (7) Click the Picture to Zoom In
-
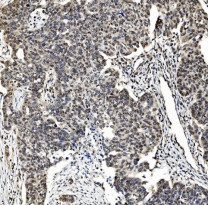
ARG45772 anti-TAF4 antibody IHC-P image
Immunohistochemistry: Human breast cancer stained with ARG45772 anti-TAF4 antibody at 2 μg/ml dilution.
-
ARG45772 anti-TAF4 antibody ICC/IF image
Immunofluorescence: CACO-2 stained with ARG45772 anti-TAF4 antibody at 5 μg/ml dilution.
-
ARG45772 anti-TAF4 antibody IHC-P image
Immunohistochemistry: Mouse brain stained with ARG45772 anti-TAF4 antibody at 2 μg/ml dilution.
-
ARG45772 anti-TAF4 antibody WB image
Western blot: Hela stained with ARG45772 anti-TAF4 antibody at 0.5 μg/ml dilution.
-
ARG45772 anti-TAF4 antibody FACS image
Flow Cytometry: Hela stained with ARG45772 anti-TAF4 antibody at 1 µg/10^6 cells dilution.
-
ARG45772 anti-TAF4 antibody WB image
Western blot: Rat brain stained with ARG45772 anti-TAF4 antibody at 0.5 μg/ml dilution.
-
ARG45772 anti-TAF4 antibody WB image
Western blot: Mouse brain stained with ARG45772 anti-TAF4 antibody at 0.5 μg/ml dilution.
