ARG59796
anti-TAF1C antibody
anti-TAF1C antibody for Western blot and Human,Mouse,Rat
概述
| 产品描述 | Rabbit Polyclonal antibody recognizes TAF1C |
|---|---|
| 反应物种 | Hu, Ms, Rat |
| 应用 | WB |
| 宿主 | Rabbit |
| 克隆 | Polyclonal |
| 同位型 | IgG |
| 靶点名称 | TAF1C |
| 抗原物种 | Human |
| 抗原 | Recombinant fusion protein corresponding to aa. 70-320 of Human TAF1C (NP_001230085.1). |
| 偶联标记 | Un-conjugated |
| 別名 | TBP-associated factor 1C; RNA polymerase I-specific TBP-associated factor 110 kDa; MGC:39976; TATA box-binding protein-associated factor 1C; SL1; TAFI110; Transcription initiation factor SL1/TIF-IB subunit C; TATA box-binding protein-associated factor RNA polymerase I subunit C; TAFI95 |
应用说明
| 应用建议 |
|
||||
|---|---|---|---|---|---|
| 应用说明 | * The dilutions indicate recommended starting dilutions and the optimal dilutions or concentrations should be determined by the scientist. | ||||
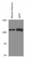
| 阳性对照 | Mouse thymus and 293T | ||||
| 实际分子量 | 110 kDa |
属性
| 形式 | Liquid |
|---|---|
| 纯化 | Affinity purified. |
| 缓冲液 | PBS (pH 7.3), 0.02% Sodium azide and 50% Glycerol. |
| 抗菌剂 | 0.02% Sodium azide |
| 稳定剂 | 50% Glycerol |
| 存放说明 | For continuous use, store undiluted antibody at 2-8°C for up to a week. For long-term storage, aliquot and store at -20°C. Storage in frost free freezers is not recommended. Avoid repeated freeze/thaw cycles. Suggest spin the vial prior to opening. The antibody solution should be gently mixed before use. |
| 注意事项 | For laboratory research only, not for drug, diagnostic or other use. |
生物信息
| 数据库连接 | |
|---|---|
| 基因名称 | TAF1C |
| 全名 | TATA box binding protein (TBP)-associated factor, RNA polymerase I, C, 110kDa |
| 背景介绍 | Initiation of transcription by RNA polymerase I requires the formation of a complex composed of the TATA-binding protein (TBP) and three TBP-associated factors (TAFs) specific for RNA polymerase I. This complex, known as SL1, binds to the core promoter of ribosomal RNA genes to position the polymerase properly and acts as a channel for regulatory signals. This gene encodes the largest SL1-specific TAF. Multiple alternatively spliced transcript variants encoding different isoforms have been identified. [provided by RefSeq, Jul 2011] |
| 生物功能 | Component of the transcription factor SL1/TIF-IB complex, which is involved in the assembly of the PIC (preinitiation complex) during RNA polymerase I-dependent transcription. The rate of PIC formation probably is primarily dependent on the rate of association of SL1/TIF-IB with the rDNA promoter. SL1/TIF-IB is involved in stabilization of nucleolar transcription factor 1/UBTF on rDNA. Formation of SL1/TIF-IB excludes the association of TBP with TFIID subunits. Recruits RNA polymerase I to the rRNA gene promoter via interaction with RRN3. [UniProt] |
| 细胞定位 | Nucleus. [UniProt] |
| 预测分子量 | 95 kDa |
检测图片 (1) Click the Picture to Zoom In
