ARG41574
anti-TAF12 antibody
anti-TAF12 antibody for IHC-Formalin-fixed paraffin-embedded sections,Western blot and Human,Mouse,Rat
概述
| 产品描述 | Rabbit Polyclonal antibody recognizes TAF12 |
|---|---|
| 反应物种 | Hu, Ms, Rat |
| 应用 | IHC-P, WB |
| 宿主 | Rabbit |
| 克隆 | Polyclonal |
| 同位型 | IgG |
| 靶点名称 | TAF12 |
| 抗原物种 | Human |
| 抗原 | Synthetic peptide corresponding to a sequence of Human TAF12. (QIADDFIESVVTAACQLARHRKSSTLEVKDVQLHLERQ) |
| 偶联标记 | Un-conjugated |
| 別名 | Transcription initiation factor TFIID subunit 12; TAFII20; TAF2J; TAFII20/TAFII15; Transcription initiation factor TFIID 20/15 kDa subunits; TAFII-20/TAFII-15 |
应用说明
| 应用建议 |
|
||||||
|---|---|---|---|---|---|---|---|
| 应用说明 | IHC-P: Antigen Retrieval: Heat mediation was performed in Citrate buffer (pH 6.0, epitope retrieval solution) for 20 min. * The dilutions indicate recommended starting dilutions and the optimal dilutions or concentrations should be determined by the scientist. |
||||||
| 实际分子量 | ~ 22 kDa |
属性
| 形式 | Liquid |
|---|---|
| 纯化 | Affinity purification with immunogen. |
| 缓冲液 | 0.2% Na2HPO4, 0.9% NaCl, 0.05% Sodium azide and 4% Trehalose. |
| 抗菌剂 | 0.05% Sodium azide |
| 稳定剂 | 4% Trehalose |
| 浓度 | 0.5 mg/ml |
| 存放说明 | For continuous use, store undiluted antibody at 2-8°C for up to a week. For long-term storage, aliquot and store at -20°C or below. Storage in frost free freezers is not recommended. Avoid repeated freeze/thaw cycles. Suggest spin the vial prior to opening. The antibody solution should be gently mixed before use. |
| 注意事项 | For laboratory research only, not for drug, diagnostic or other use. |
生物信息
| 数据库连接 |
Swiss-port # Q16514 Human Transcription initiation factor TFIID subunit 12 Swiss-port # Q8VE65 Mouse Transcription initiation factor TFIID subunit 12 |
|---|---|
| 基因名称 | TAF12 |
| 全名 | TAF12 RNA polymerase II, TATA box binding protein (TBP)-associated factor, 20kDa |
| 背景介绍 | Control of transcription by RNA polymerase II involves the basal transcription machinery which is a collection of proteins. These proteins with RNA polymerase II, assemble into complexes which are modulated by transactivator proteins that bind to cis-regulatory elements located adjacent to the transcription start site. Some modulators interact directly with the basal complex, whereas others may act as bridging proteins linking transactivators to the basal transcription factors. Some of these associated factors are weakly attached while others are tightly associated with TBP in the TFIID complex. Among the latter are the TAF proteins. Different TAFs are predicted to mediate the function of distinct transcriptional activators for a variety of gene promoters and RNA polymerases. TAF12 interacts directly with TBP as well as with TAF2I. Two transcript variants encoding the same protein have been found for this gene. [provided by RefSeq, Sep 2008] |
| 生物功能 | TAFs are components of the transcription factor IID (TFIID) complex, PCAF histone acetylase complex and TBP-free TAFII complex (TFTC). TAFs components-TIIFD are essential for mediating regulation of RNA polymerase transcription. [UniProt] |
| 细胞定位 | Nucleus. [UniProt] |
| 预测分子量 | 18 kDa |
检测图片 (5) Click the Picture to Zoom In
-
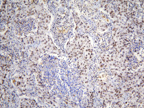
ARG41574 anti-TAF12 antibody IHC-P image
Immunohistochemistry: Paraffin-embedded Human lung cancer tissue. Antigen Retrieval: Heat mediation was performed in Citrate buffer (pH 6.0, epitope retrieval solution) for 20 min. The tissue section was blocked with 10% goat serum. The tissue section was then stained with ARG41574 anti-TAF12 antibody at 1 µg/ml dilution, overnight at 4°C.
-
ARG41574 anti-TAF12 antibody WB image
Western blot: 50 µg of samples under reducing conditions. Human placenta, U-937, K562 and THP-1 whole cell lysates stained with ARG41574 anti-TAF12 antibody at 0.5 µg/ml dilution, overnight at 4°C.
-
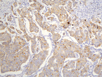
ARG41574 anti-TAF12 antibody IHC-P image
Immunohistochemistry: Paraffin-embedded Human mammary cancer tissue. Antigen Retrieval: Heat mediation was performed in Citrate buffer (pH 6.0, epitope retrieval solution) for 20 min. The tissue section was blocked with 10% goat serum. The tissue section was then stained with ARG41574 anti-TAF12 antibody at 1 µg/ml dilution, overnight at 4°C.
-
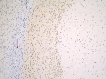
ARG41574 anti-TAF12 antibody IHC-P image
Immunohistochemistry: Paraffin-embedded Mouse brain tissue. Antigen Retrieval: Heat mediation was performed in Citrate buffer (pH 6.0, epitope retrieval solution) for 20 min. The tissue section was blocked with 10% goat serum. The tissue section was then stained with ARG41574 anti-TAF12 antibody at 1 µg/ml dilution, overnight at 4°C.
-
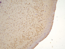
ARG41574 anti-TAF12 antibody IHC-P image
Immunohistochemistry: Paraffin-embedded Rat brain tissue. Antigen Retrieval: Heat mediation was performed in Citrate buffer (pH 6.0, epitope retrieval solution) for 20 min. The tissue section was blocked with 10% goat serum. The tissue section was then stained with ARG41574 anti-TAF12 antibody at 1 µg/ml dilution, overnight at 4°C.
