ARG59954
anti-TACR3 / NK3R antibody
anti-TACR3 / NK3R antibody for Western blot and Human,Mouse,Rat
概述
| 产品描述 | Rabbit Polyclonal antibody recognizes TACR3 / NK3R |
|---|---|
| 反应物种 | Hu, Ms, Rat |
| 应用 | WB |
| 宿主 | Rabbit |
| 克隆 | Polyclonal |
| 同位型 | IgG |
| 靶点名称 | TACR3 / NK3R |
| 抗原物种 | Human |
| 抗原 | Recombinant fusion protein corresponding to aa. 356-465 of Human TACR3 (NP_001050.1). |
| 偶联标记 | Un-conjugated |
| 別名 | Neurokinin B receptor; NK-3 receptor; NK3R; Tachykinin receptor 3; NKR; HH11; TAC3RL; NK-3R; Neuromedin-K receptor |
应用说明
| 应用建议 |
|
||||
|---|---|---|---|---|---|
| 应用说明 | * The dilutions indicate recommended starting dilutions and the optimal dilutions or concentrations should be determined by the scientist. | ||||
| 阳性对照 | HL60 | ||||
| 实际分子量 | 52 kDa |
属性
| 形式 | Liquid |
|---|---|
| 纯化 | Affinity purified. |
| 缓冲液 | PBS (pH 7.3), 0.02% Sodium azide and 50% Glycerol. |
| 抗菌剂 | 0.02% Sodium azide |
| 稳定剂 | 50% Glycerol |
| 存放说明 | For continuous use, store undiluted antibody at 2-8°C for up to a week. For long-term storage, aliquot and store at -20°C. Storage in frost free freezers is not recommended. Avoid repeated freeze/thaw cycles. Suggest spin the vial prior to opening. The antibody solution should be gently mixed before use. |
| 注意事项 | For laboratory research only, not for drug, diagnostic or other use. |
生物信息
| 数据库连接 | |
|---|---|
| 基因名称 | TACR3 |
| 全名 | tachykinin receptor 3 |
| 背景介绍 | This gene belongs to a family of genes that function as receptors for tachykinins. Receptor affinities are specified by variations in the 5'-end of the sequence. The receptors belonging to this family are characterized by interactions with G proteins and 7 hydrophobic transmembrane regions. This gene encodes the receptor for the tachykinin neurokinin 3, also referred to as neurokinin B. [provided by RefSeq, Jul 2008] |
| 生物功能 | This is a receptor for the tachykinin neuropeptide neuromedin-K (neurokinin B). It is associated with G proteins that activate a phosphatidylinositol-calcium second messenger system. The rank order of affinity of this receptor to tachykinins is: neuromedin-K > substance K > substance P. [UniProt] |
| 细胞定位 | Cell membrane; Multi-pass membrane protein. [UniProt] |
| 预测分子量 | 52 kDa |
| 翻译后修饰 | The anchoring of this receptor to the plasma membrane is probably mediated by the palmitoylation of a cysteine residue. [UniProt] |
检测图片 (2) Click the Picture to Zoom In
-
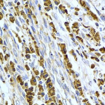
ARG59954 anti-TACR3 / NK3R antibody IHC-P image
Immunohistochemistry: Paraffin-embedded Human stomach cancer stained with ARG59954 anti-TACR3 / NK3R antibody at 1:100 dilution.
-
ARG59954 anti-TACR3 / NK3R antibody WB image
Western blot: 25 µg of HL60 cell lysate stained with ARG59954 anti-TACR3 / NK3R antibody at 1:1000 dilution.
