ARG46542
anti-Synaptogyrin 4 antibody
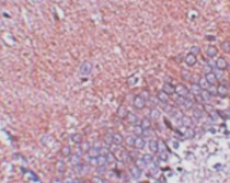
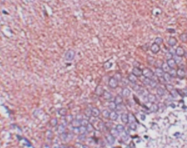
anti-Synaptogyrin 4 antibody for IHC-Formalin-fixed paraffin-embedded sections,Western blot and Human,Mouse,Rat
概述
| 产品描述 | Rabbit Polyclonal antibody recognizes Synaptogyrin 4 |
|---|---|
| 反应物种 | Hu, Ms, Rat |
| 应用 | IHC-P, WB |
| 宿主 | Rabbit |
| 克隆 | Polyclonal |
| 同位型 | IgG |
| 靶点名称 | Synaptogyrin 4 |
| 抗原物种 | Human |
| 抗原 | A 14 amino acid synthetic peptide within the last 50 amino acids of human Synaptogyrin 4. |
| 偶联标记 | Un-conjugated |
| 別名 | SYNGR4; Synaptogyrin-4 |
应用说明
| 应用建议 |
|
||||||
|---|---|---|---|---|---|---|---|
| 应用说明 | * The dilutions indicate recommended starting dilutions and the optimal dilutions or concentrations should be determined by the scientist. | ||||||
| 实际分子量 | 26 kDa |
属性
| 纯化 | Affinity chromatography purified |
|---|---|
| 缓冲液 | PBS and 0.02% Sodium azide. |
| 抗菌剂 | 0.02% Sodium azide |
| 浓度 | 1 mg/ml |
| 存放说明 | For continuous use, store undiluted antibody at 2-8°C for up to a week. For long-term storage, aliquot and store at -20°C. Storage in frost free freezers is not recommended. Avoid repeated freeze/thaw cycles. Suggest spin the vial prior to opening. The antibody solution should be gently mixed before use. |
| 注意事项 | For laboratory research only, not for drug, diagnostic or other use. |
生物信息
| 数据库连接 | |
|---|---|
| 基因名称 | SYNGR4 |
| 全名 | synaptogyrin 4 |
| 背景介绍 | This gene encodes an integral membrane protein. The gene belongs to the synaptogyrin gene family. Like other members of the family the protein contains four transmembrane regions. The exact function of this protein is unclear. [provided by RefSeq, Jul 2008] |
| 预测分子量 | 26 kDa |
检测图片 (2) Click the Picture to Zoom In
