ARG46541
anti-Synaptogyrin 2 / Cellugyrin antibody
anti-Synaptogyrin 2 / Cellugyrin antibody for Western blot,IHC-Formalin-fixed paraffin-embedded sections and Human,Rat
概述
| 产品描述 | Rabbit Polyclonal antibody recognizes Synaptogyrin 2 / Cellugyrin |
|---|---|
| 反应物种 | Hu, Rat |
| 应用 | IHC-P, WB |
| 宿主 | Rabbit |
| 克隆 | Polyclonal |
| 同位型 | IgG |
| 靶点名称 | Synaptogyrin 2 / Cellugyrin |
| 抗原物种 | Human |
| 抗原 | A 17 amino acid synthetic peptide within the last 50 amino acids of human Synaptogyrin 2 / Cellugyrin. |
| 偶联标记 | Un-conjugated |
| 別名 | SYNGR2; Cellugyrin; Synaptogyrin-2 |
应用说明
| 应用建议 |
|
||||||
|---|---|---|---|---|---|---|---|
| 应用说明 | * The dilutions indicate recommended starting dilutions and the optimal dilutions or concentrations should be determined by the scientist. |
属性
| 纯化 | Affinity chromatography purified |
|---|---|
| 缓冲液 | PBS and 0.02% Sodium azide. |
| 抗菌剂 | 0.02% Sodium azide |
| 浓度 | 1 mg/ml |
| 存放说明 | For continuous use, store undiluted antibody at 2-8°C for up to a week. For long-term storage, aliquot and store at -20°C. Storage in frost free freezers is not recommended. Avoid repeated freeze/thaw cycles. Suggest spin the vial prior to opening. The antibody solution should be gently mixed before use. |
| 注意事项 | For laboratory research only, not for drug, diagnostic or other use. |
生物信息
| 数据库连接 | |
|---|---|
| 基因名称 | SYNGR2 |
| 全名 | synaptogyrin 2 |
| 背景介绍 | This gene encodes an integral membrane protein containing four transmembrane regions and a C-terminal cytoplasmic tail that is tyrosine phosphorylated. The exact function of this protein is unclear, but studies of a similar rat protein suggest that it may play a role in regulating membrane traffic in non-neuronal cells. The gene belongs to the synaptogyrin gene family. [provided by RefSeq, Jul 2008] |
| 预测分子量 | 25 kDa |
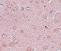
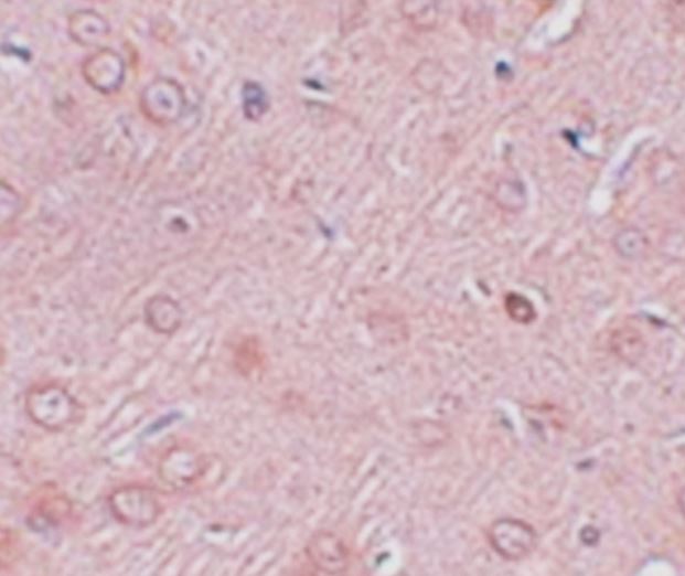
检测图片 (2) Click the Picture to Zoom In
-
ARG46541 anti-Synaptogyrin 2 / Cellugyrin antibody IHC-P image
Immunohistochemistry: Rat brain stained with ARG46541 anti-Synaptogyrin 2 / Cellugyrin antibody.
-
ARG46541 anti-Synaptogyrin 2 / Cellugyrin antibody WB image
Western blot: Human lung stained with ARG46541 anti-Synaptogyrin 2 / Cellugyrin antibody.
