ARG67288
anti-Syk antibody [3C9]
anti-Syk antibody [3C9] for ICC/IF,IHC-Formalin-fixed paraffin-embedded sections,Immunoprecipitation,Western blot and Human,Mouse,Rat
Cell Biology and Cellular Response antibody; Immune System antibody; Signaling Transduction antibody; SyK / Zap70 Pathway antibody
概述
| 产品描述 | Rabbit Monoclonal antibody [3C9] recognizes Syk |
|---|---|
| 反应物种 | Hu, Ms, Rat |
| 应用 | ICC/IF, IHC-P, IP, WB |
| 宿主 | Rabbit |
| 克隆 | Monoclonal |
| 克隆号 | 3C9 |
| 同位型 | IgG,Kappa |
| 靶点名称 | Syk |
| 偶联标记 | Un-conjugated |
| 別名 | Tyrosine-protein kinase SYK; p72-Syk; Spleen tyrosine kinase; EC 2.7.10.2 |
应用说明
| 应用建议 |
|
||||||||||
|---|---|---|---|---|---|---|---|---|---|---|---|
| 应用说明 | * The dilutions indicate recommended starting dilutions and the optimal dilutions or concentrations should be determined by the scientist. |
属性
| 形式 | Liquid |
|---|---|
| 纯化 | Purification with Protein A |
| 缓冲液 | PBS, 0.05% Proclin 300, 50% glycerol, and 0.05% BSA |
| 抗菌剂 | 0.05% Proclin 300 |
| 稳定剂 | 50% glycerol, and 0.05% BSA |
| 存放说明 | For continuous use, store undiluted antibody at 2-8°C for up to a week. For long-term storage, aliquot and store at -20°C or below. Storage in frost free freezers is not recommended. Avoid repeated freeze/thaw cycles. Suggest spin the vial prior to opening. The antibody solution should be gently mixed before use. |
| 注意事项 | For laboratory research only, not for drug, diagnostic or other use. |
生物信息
| 数据库连接 | |
|---|---|
| 基因名称 | SYK |
| 全名 | spleen tyrosine kinase |
| 背景介绍 | This gene encodes a member of the family of non-receptor type Tyr protein kinases. This protein is widely expressed in hematopoietic cells and is involved in coupling activated immunoreceptors to downstream signaling events that mediate diverse cellular responses, including proliferation, differentiation, and phagocytosis. It is thought to be a modulator of epithelial cell growth and a potential tumour suppressor in human breast carcinomas. Alternatively spliced transcript variants encoding different isoforms have been found for this gene. [provided by RefSeq, Mar 2010] |
| 生物功能 | Non-receptor tyrosine kinase which mediates signal transduction downstream of a variety of transmembrane receptors including classical immunoreceptors like the B-cell receptor (BCR). Regulates several biological processes including innate and adaptive immunity, cell adhesion, osteoclast maturation, platelet activation and vascular development. Assembles into signaling complexes with activated receptors at the plasma membrane via interaction between its SH2 domains and the receptor tyrosine-phosphorylated ITAM domains. The association with the receptor can also be indirect and mediated by adapter proteins containing ITAM or partial hemITAM domains. The phosphorylation of the ITAM domains is generally mediated by SRC subfamily kinases upon engagement of the receptor. More rarely signal transduction via SYK could be ITAM-independent. Direct downstream effectors phosphorylated by SYK include VAV1, PLCG1, PI-3-kinase, LCP2 and BLNK. Initially identified as essential in B-cell receptor (BCR) signaling, it is necessary for the maturation of B-cells most probably at the pro-B to pre-B transition. Activated upon BCR engagement, it phosphorylates and activates BLNK an adapter linking the activated BCR to downstream signaling adapters and effectors. It also phosphorylates and activates PLCG1 and the PKC signaling pathway. It also phosphorylates BTK and regulates its activity in B-cell antigen receptor (BCR)-coupled signaling. In addition to its function downstream of BCR plays also a role in T-cell receptor signaling. Plays also a crucial role in the innate immune response to fungal, bacterial and viral pathogens. It is for instance activated by the membrane lectin CLEC7A. Upon stimulation by fungal proteins, CLEC7A together with SYK activates immune cells inducing the production of ROS. Also activates the inflammasome and NF-kappa-B-mediated transcription of chemokines and cytokines in presence of pathogens. Regulates neutrophil degranulation and phagocytosis through activation of the MAPK signaling cascade. Also mediates the activation of dendritic cells by cell necrosis stimuli. Also involved in mast cells activation. Also functions downstream of receptors mediating cell adhesion. Relays for instance, integrin-mediated neutrophils and macrophages activation and P-selectin receptor/SELPG-mediated recruitment of leukocytes to inflammatory loci. Plays also a role in non-immune processes. It is for instance involved in vascular development where it may regulate blood and lymphatic vascular separation. It is also required for osteoclast development and function. Functions in the activation of platelets by collagen, mediating PLCG2 phosphorylation and activation. May be coupled to the collagen receptor by the ITAM domain-containing FCER1G. Also activated by the membrane lectin CLEC1B that is required for activation of platelets by PDPN/podoplanin. Involved in platelet adhesion being activated by ITGB3 engaged by fibrinogen. [UniProt] |
| 产品亮点 | Related products: Syk antibodies; Syk Duos / Panels; |
| 研究领域 | Cell Biology and Cellular Response antibody; Immune System antibody; Signaling Transduction antibody; SyK / Zap70 Pathway antibody |
| 预测分子量 | 72 kDa |
| 翻译后修饰 | Ubiquitinated by CBLB after BCR activation; which promotes proteasomal degradation. Autophosphorylated. Phosphorylated on tyrosine residues by LYN following receptors engagement. Phosphorylation on Tyr-323 creates a binding site for CBL, an adapter protein that serves as a negative regulator of BCR-stimulated calcium ion signaling. Phosphorylation at Tyr-348 creates a binding site for VAV1. Phosphorylation on Tyr-348 and Tyr-352 enhances the phosphorylation and activation of phospholipase C-gamma and the early phase of calcium ion mobilization via a phosphoinositide 3-kinase-independent pathway (By similarity). Phosphorylation on Ser-297 is very common, it peaks 5 minutes after BCR stimulation, and creates a binding site for YWHAG. Phosphorylation at Tyr-630 creates a binding site for BLNK. Dephosphorylated by PTPN6. |
检测图片 (6) Click the Picture to Zoom In
-
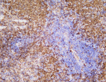
ARG67288 anti-Syk antibody [3C9] IHC-P image
Immunohistochemistry: Human spleen stained with ARG67288 anti-Syk antibody [3C9].
-
ARG67288 anti-Syk antibody [3C9] ICC/IF image
Immunofluorescence: HEK293 stained with ARG67288 anti-Syk antibody [3C9].
-
ARG67288 anti-Syk antibody [3C9] WB image
Western blot: SW620 stained with ARG67288 anti-Syk antibody [3C9].
-
ARG67288 anti-Syk antibody [3C9] IHC-P image
Immunohistochemistry: Rat spleen stained with ARG67288 anti-Syk antibody [3C9].
-
ARG67288 anti-Syk antibody [3C9] WB image
Western blot: A20 stained with ARG67288 anti-Syk antibody [3C9].
-
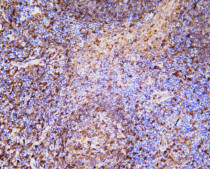
ARG67288 anti-Syk antibody [3C9] IHC-P image
Immunohistochemistry: Mouse spleen stained with ARG67288 anti-Syk antibody [3C9].
