ARG66677
anti-Survivin antibody
anti-Survivin antibody for IHC-Formalin-fixed paraffin-embedded sections,Western blot and Human,Mouse,Rat
概述
| 产品描述 | Mouse Monoclonal antibody recognizes Survivin |
|---|---|
| 反应物种 | Hu, Ms, Rat |
| 应用 | IHC-P, WB |
| 宿主 | Mouse |
| 克隆 | Monoclonal |
| 同位型 | IgG |
| 靶点名称 | Survivin |
| 抗原物种 | Human |
| 抗原 | Recombinant Protein of Human Survivin. |
| 偶联标记 | Un-conjugated |
| 別名 | API4; Apoptosis inhibitor 4; EPR-1; Apoptosis inhibitor survivin; Baculoviral IAP repeat-containing protein 5 |
应用说明
| 应用建议 |
|
||||||
|---|---|---|---|---|---|---|---|
| 应用说明 | IHC-P: Antigen Retrieval: Heat mediated Sodium citrate buffer (pH 6.0) for 20 min or EDTA buffer (pH 8.0) at high pressure and temperature. * The dilutions indicate recommended starting dilutions and the optimal dilutions or concentrations should be determined by the scientist. |
||||||
| 阳性对照 | HeLa, 293 and PC12 | ||||||
| 实际分子量 | ~ 16 kDa |
属性
| 形式 | Liquid |
|---|---|
| 纯化 | Affinity purification with immunogen. |
| 缓冲液 | PBS (pH 7.4), 0.02% Sodium azide and 50% Glycerol. |
| 抗菌剂 | 0.02% Sodium azide |
| 稳定剂 | 50% Glycerol |
| 存放说明 | For continuous use, store undiluted antibody at 2-8°C for up to a week. For long-term storage, aliquot and store at -20°C. Storage in frost free freezers is not recommended. Avoid repeated freeze/thaw cycles. Suggest spin the vial prior to opening. The antibody solution should be gently mixed before use. |
| 注意事项 | For laboratory research only, not for drug, diagnostic or other use. |
生物信息
| 数据库连接 | |
|---|---|
| 基因名称 | BIRC5 |
| 全名 | baculoviral IAP repeat containing 5 |
| 背景介绍 | This gene is a member of the inhibitor of apoptosis (IAP) gene family, which encode negative regulatory proteins that prevent apoptotic cell death. IAP family members usually contain multiple baculovirus IAP repeat (BIR) domains, but this gene encodes proteins with only a single BIR domain. The encoded proteins also lack a C-terminus RING finger domain. Gene expression is high during fetal development and in most tumors, yet low in adult tissues. Alternatively spliced transcript variants encoding distinct isoforms have been found for this gene. [provided by RefSeq, Jun 2011] |
| 生物功能 | Multitasking protein that has dual roles in promoting cell proliferation and preventing apoptosis. Component of a chromosome passage protein complex (CPC) which is essential for chromosome alignment and segregation during mitosis and cytokinesis. Acts as an important regulator of the localization of this complex; directs CPC movement to different locations from the inner centromere during prometaphase to midbody during cytokinesis and participates in the organization of the center spindle by associating with polymerized microtubules. The complex with RAN plays a role in mitotic spindle formation by serving as a physical scaffold to help deliver the RAN effector molecule TPX2 to microtubules. May counteract a default induction of apoptosis in G2/M phase. The acetylated form represses STAT3 transactivation of target gene promoters. May play a role in neoplasia. Inhibitor of CASP3 and CASP7. Isoform 2 and isoform 3 do not appear to play vital roles in mitosis. Isoform 3 shows a marked reduction in its anti-apoptotic effects when compared with the displayed wild-type isoform. [UniProt] |
| 细胞定位 | Nucleus. Chromosome, centromere, kinetochore. Cytoplasm, cytoskeleton, spindle. Midbody. Note=Localizes at the centromeres from prophase to metaphase, at the spindle midzone during anaphase and a the midbody during telophase and cytokinesis. Localizes on chromosome arms and inner centromeres from prophase through metaphase. Localizes to kinetochores in metaphase, distributes to the midzone microtubules in anaphase and at telophase, localizes exclusively to the midbody. [UniProt] |
| 预测分子量 | 16 kDa |
| 翻译后修饰 | Ubiquitinated by the Cul9-RING ubiquitin-protein ligase complex, leading to its degradation. Ubiquitination is required for centrosomal targeting. In vitro phosphorylation at Thr-117 by AURKB prevents interaction with INCENP and localization to mitotic chromosomes (PubMed:14610074). Phosphorylation at Thr-48 by CK2 is critical for its mitotic and anti-apoptotic activities (PubMed:21252625). Phosphorylation at Thr-34 by CDK15 is critical for its anti-apoptotic activity (PubMed:24866247). Phosphorylation at Ser-20 by AURKC is critical for regulation of proper chromosome alignment and segregation, and possibly cytokinesis. Acetylation at Lys-129 by CBP results in its homodimerization, while deacetylation promotes the formation of monomers which heterodimerize with XPO1/CRM1 which facilitates its nuclear export. The acetylated form represses STAT3 transactivation. The dynamic equilibrium between its acetylation and deacetylation at Lys-129 determines its interaction with XPO1/CRM1, its subsequent subcellular localization, and its ability to inhibit STAT3 transactivation. [UniProt] |
检测图片 (4) Click the Picture to Zoom In
-
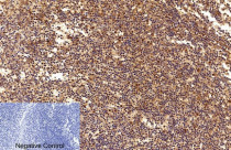
ARG66677 anti-Survivin antibody IHC-P image
Immunohistochemistry: Paraffin-embedded Human tonsil tissue. Antigen Retrieval: Heat mediation was performed in Sodium citrate buffer (pH 6.0) for 20 min. Tissue section was stained with ARG66677 anti-Survivin antibody at 1:200 dilution, overnight at 4°C. Negative control was used by secondary antibody only.
-
ARG66677 anti-Survivin antibody WB image
Western blot: HeLa, 293 and PC-12 cell lysate stained with ARG66677 anti-Survivin antibody.
-
ARG66677 anti-Survivin antibody IHC-P image
Immunohistochemistry: Paraffin-embedded Mouse brain tissue. Antigen Retrieval: Heat mediation was performed in Sodium citrate buffer (pH 6.0) for 20 min. Tissue section was stained with ARG66677 anti-Survivin antibody at 1:200 dilution, overnight at 4°C. Negative control was used by secondary antibody only.
-
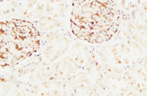
ARG66677 anti-Survivin antibody IHC-P image
Immunohistochemistry: Paraffin-embedded Human kidney tissue. Antigen Retrieval: EDTA buffer (pH 8.0) at high pressure and temperature. Tissue section was stained with ARG66677 anti-Survivin antibody at 1:200 dilution, overnight at 4°C.
