ARG42955
anti-Surfactant protein D antibody
anti-Surfactant protein D antibody for ICC/IF,IHC-Frozen sections,IHC-Formalin-fixed paraffin-embedded sections and Human
概述
| 产品描述 | Rabbit Polyclonal antibody recognizes Surfactant protein D |
|---|---|
| 反应物种 | Hu |
| 应用 | ICC/IF, IHC-Fr, IHC-P |
| 宿主 | Rabbit |
| 克隆 | Polyclonal |
| 同位型 | IgG |
| 靶点名称 | Surfactant protein D |
| 抗原物种 | Human |
| 抗原 | Synthetic peptide corresponding to aa. 292-321 of Human Surfactant protein D. (RSAAENAALQQLVVAKNEAAFLSMTD SKTE) |
| 偶联标记 | Un-conjugated |
| 別名 | SP-D; COLEC7; Lung surfactant protein D; SFTP4; Pulmonary surfactant-associated protein D; PSP-D; Collectin-7 |
应用说明
| 应用建议 |
|
||||||||
|---|---|---|---|---|---|---|---|---|---|
| 应用说明 | * The dilutions indicate recommended starting dilutions and the optimal dilutions or concentrations should be determined by the scientist. |
属性
| 形式 | Liquid |
|---|---|
| 纯化 | Affinity purification with immunogen. |
| 缓冲液 | 0.2% Na2HPO4, 0.9% NaCl, 0.05% Sodium azide and 5% BSA. |
| 抗菌剂 | 0.05% Sodium azide |
| 稳定剂 | 5% BSA |
| 浓度 | 0.5 mg/ml |
| 存放说明 | For continuous use, store undiluted antibody at 2-8°C for up to a week. For long-term storage, aliquot and store at -20°C or below. Storage in frost free freezers is not recommended. Avoid repeated freeze/thaw cycles. Suggest spin the vial prior to opening. The antibody solution should be gently mixed before use. |
| 注意事项 | For laboratory research only, not for drug, diagnostic or other use. |
生物信息
| 数据库连接 |
Swiss-port # P35247 Human Pulmonary surfactant-associated protein D |
|---|---|
| 基因名称 | SFTPD |
| 全名 | surfactant protein D |
| 背景介绍 | The protein encoded by this gene is part of the innate immune response, protecting the lungs against inhaled microorganisms and chemicals. The encoded protein may also be involved in surfactant metabolism. [provided by RefSeq, Jul 2015] |
| 生物功能 | Contributes to the lung's defense against inhaled microorganisms, organic antigens and toxins. Interacts with compounds such as bacterial lipopolysaccharides, oligosaccharides and fatty acids and modulates leukocyte action in immune response. May participate in the extracellular reorganization or turnover of pulmonary surfactant. Binds strongly maltose residues and to a lesser extent other alpha-glucosyl moieties. [UniProt] |
| 细胞定位 | Secreted, extracellular space, extracellular matrix. Secreted, extracellular space, surface film. [UniProt] |
| 预测分子量 | 38 kDa |
| 翻译后修饰 | The N-terminus is blocked. Hydroxylation on proline residues within the sequence motif, GXPG, is most likely to be 4-hydroxy as this fits the requirement for 4-hydroxylation in vertebrates. S-nitrosylation at Cys-35 and Cys-40 alters the quaternary structure which results in a pro-inflammatory chemoattractive signaling activity with macrophages. [UniProt] |
检测图片 (4) Click the Picture to Zoom In
-
ARG42955 anti-Surfactant protein D antibody ICC image
Immunocytochemistry: HeLa cells were blocked with 10% goat serum and then stained with ARG42955 anti-Surfactant protein D antibody at 1 µg/ml dilution, overnight at 4°C.
-
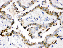
ARG42955 anti-Surfactant protein D antibody IHC-P image
Immunohistochemistry: Paraffin-embedded Human lung cancer tissue stained with ARG42955 anti-Surfactant protein D antibody.
-
ARG42955 anti-Surfactant protein D antibody ICC image
Immunocytochemistry: A549 cells were blocked with 10% goat serum and then stained with ARG42955 anti-Surfactant protein D antibody at 1 µg/ml dilution, overnight at 4°C.
-
ARG42955 anti-Surfactant protein D antibody IHC-Fr image
Immunohistochemistry: Frozen section of Human placenta tissue. The tissue section was blocked with 10% goat serum. The tissue section was then stained with ARG42955 anti-Surfactant protein D antibody at 1 µg/ml dilution, overnight at 4°C.
