ARG65739
anti-Stomatin antibody
anti-Stomatin antibody for IHC-Formalin-fixed paraffin-embedded sections,Western blot and Human
Neuroscience antibody
概述
| 产品描述 | Goat Polyclonal antibody recognizes Stomatin |
|---|---|
| 反应物种 | Hu |
| 应用 | IHC-P, WB |
| 特异性 | This antibody is expected to recognize both reported isoforms (NP_004090.4; NP_937837.1). |
| 宿主 | Goat |
| 克隆 | Polyclonal |
| 同位型 | IgG |
| 靶点名称 | Stomatin |
| 抗原物种 | Human |
| 抗原 | Synthetic peptide from the N-terminus of Human Stomatin. (EKRHTRDSEAQR-C) |
| 偶联标记 | Un-conjugated |
| 別名 | Protein 7.2b; BND7; EPB72; EPB7; Stomatin; Erythrocyte band 7 integral membrane protein |
应用说明
| 应用建议 |
|
||||||
|---|---|---|---|---|---|---|---|
| 应用说明 | IHC-P: Antigen Retrieval: Steam tissue section in Citrate buffer (pH 6.0). WB: Recommend incubate at RT for 1h. * The dilutions indicate recommended starting dilutions and the optimal dilutions or concentrations should be determined by the scientist. |
属性
| 形式 | Liquid |
|---|---|
| 纯化 | Affinity purified |
| 缓冲液 | Tris saline (pH 7.3), 0.02% Sodium azide and 0.5% BSA. |
| 抗菌剂 | 0.02% Sodium azide |
| 稳定剂 | 0.5% BSA |
| 浓度 | 0.5 mg/ml |
| 存放说明 | For continuous use, store undiluted antibody at 2-8°C for up to a week. For long-term storage, aliquot and store at -20°C or below. Storage in frost free freezers is not recommended. Avoid repeated freeze/thaw cycles. Suggest spin the vial prior to opening. The antibody solution should be gently mixed before use. |
| 注意事项 | For laboratory research only, not for drug, diagnostic or other use. |
生物信息
| 数据库连接 |
Swiss-port # P27105 Human Erythrocyte band 7 integral membrane protein |
|---|---|
| 基因名称 | STOM |
| 全名 | stomatin |
| 背景介绍 | This gene encodes a member of a highly conserved family of integral membrane proteins. The encoded protein localizes to the cell membrane of red blood cells and other cell types, where it may regulate ion channels and transporters. Loss of localization of the encoded protein is associated with hereditary stomatocytosis, a form of hemolytic anemia. There is a pseudogene for this gene on chromosome 6. Alternative splicing results in multiple transcript variants. [provided by RefSeq, Jul 2012] |
| 生物功能 | Regulates ion channel activity and transmembrane ion transport. Regulates ASIC2 and ASIC3 channel activity. [UniProt] |
| 研究领域 | Neuroscience antibody |
| 预测分子量 | 32 kDa |
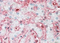
检测图片 (2) Click the Picture to Zoom In
-
ARG65739 anti-Stomatin antibody WB image
Western blot: 35 µg of Human Lung lysate stained with ARG65739 anti-Stomatin antibody at 0.1 µg/ml dilution (1h incubation).
-
ARG65739 anti-Stomatin antibody IHC-P image
Immunohistochemistry: paraffin-embedded Human Liver stained with ARG65739 anti-Stomatin antibody at 5 µg/ml dilution. Steamed antigen retrieval with citrate buffer pH 6, AP-staining.
