ARG63876
anti-Stearoyl-CoA desaturase antibody
anti-Stearoyl-CoA desaturase antibody for Flow cytometry,IHC-Formalin-fixed paraffin-embedded sections and Human
Cancer antibody; Cell Biology and Cellular Response antibody; Metabolism antibody; Signaling Transduction antibody
概述
| 产品描述 | Goat Polyclonal antibody recognizes Stearoyl-CoA desaturase |
|---|---|
| 反应物种 | Hu |
| 应用 | FACS, IHC-P |
| 宿主 | Goat |
| 克隆 | Polyclonal |
| 同位型 | IgG |
| 靶点名称 | Stearoyl-CoA desaturase |
| 抗原物种 | Human |
| 抗原 | C-RIKRTGDGNYKSG |
| 偶联标记 | Un-conjugated |
| 別名 | Fatty acid desaturase; SCDOS; MSTP008; Acyl-CoA desaturase; SCD1; EC 1.14.19.1; hSCD1; Stearoyl-CoA desaturase; Delta-9 desaturase; Delta; 9; FADS5 |
应用说明
| 应用建议 |
|
||||||
|---|---|---|---|---|---|---|---|
| 应用说明 | IHC-P: Antigen Retrieval: Steam tissue section in Citrate buffer (pH 6.0). * The dilutions indicate recommended starting dilutions and the optimal dilutions or concentrations should be determined by the scientist. |
属性
| 形式 | Liquid |
|---|---|
| 纯化 | Purified from goat serum by antigen affinity chromatography. |
| 缓冲液 | Tris saline (pH 7.3), 0.02% Sodium azide and 0.5% BSA. |
| 抗菌剂 | 0.02% Sodium azide |
| 稳定剂 | 0.5% BSA |
| 浓度 | 0.5 mg/ml |
| 存放说明 | For continuous use, store undiluted antibody at 2-8°C for up to a week. For long-term storage, aliquot and store at -20°C or below. Storage in frost free freezers is not recommended. Avoid repeated freeze/thaw cycles. Suggest spin the vial prior to opening. The antibody solution should be gently mixed before use. |
| 注意事项 | For laboratory research only, not for drug, diagnostic or other use. |
生物信息
| 数据库连接 | |
|---|---|
| 背景介绍 | This gene encodes an enzyme involved in fatty acid biosynthesis, primarily the synthesis of oleic acid. Transcripts of approximately 3.9 and 5.2 kb, differing only by alternative polyadenlyation signals, have been detected. A gene encoding a similar enzyme is located on chromosome 4 and a pseudogene of this gene is located on chromosome 17. [provided by RefSeq, Feb 2012] |
| 研究领域 | Cancer antibody; Cell Biology and Cellular Response antibody; Metabolism antibody; Signaling Transduction antibody |
| 预测分子量 | 42 kDa |
检测图片 (3) Click the Picture to Zoom In
-
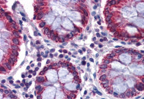
ARG63876 anti-Stearoyl-CoA desaturase antibody IHC-P image
Immunohistochemistry: Paraffin-embedded Human colon tissue. Antigen Retrieval: Steam tissue section in Citrate buffer (pH 6.0). The tissue section was stained with ARG63876 anti-Stearoyl-CoA desaturase antibody at 5 µg/ml dilution followed by AP-staining.
-
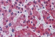
ARG63876 anti-Stearoyl-CoA desaturase antibody IHC-P image
Immunohistochemistry: paraffin embedded Human Liver. (Steamed antigen retrieval with citrate buffer pH 6) stained with ARG63876 anti-Stearoyl-CoA desaturase antibody at 5 µg/ml dilution followed by AP-staining.
-
ARG63876 anti-Stearoyl-CoA desaturase antibody FACS image
Flow Cytometry: HepG2 cells (green dots) mixed in with Peripheral blood lymphocytes (red dots, negative control). Cells were stained with ARG63876 anti-Stearoyl-CoA desaturase antibody. Detected by fluorescence with PE for Stearoyl-CoA desaturase in green and with OC515 for CD45 in red.
