ARG63681
anti-Sorbitol Dehydrogenase antibody
anti-Sorbitol Dehydrogenase antibody for IHC-Formalin-fixed paraffin-embedded sections,Western blot and Mouse
Metabolism antibody; Signaling Transduction antibody
概述
| 产品描述 | Goat Polyclonal antibody recognizes Sorbitol Dehydrogenase |
|---|---|
| 反应物种 | Ms |
| 预测物种 | Hu, Rat, Dog |
| 应用 | IHC-P, WB |
| 宿主 | Goat |
| 克隆 | Polyclonal |
| 同位型 | IgG |
| 靶点名称 | Sorbitol Dehydrogenase |
| 抗原物种 | Human |
| 抗原 | KIMLKCDPSDQNP |
| 偶联标记 | Un-conjugated |
| 別名 | SORD1; L-iditol 2-dehydrogenase; Sorbitol dehydrogenase; HEL-S-95n; EC 1.1.1.14 |
应用说明
| 应用建议 |
|
||||||
|---|---|---|---|---|---|---|---|
| 应用说明 | WB: Recommend incubate at RT for 1h. IHC-P: Antigen Retrieval: Steam tissue section in Citrate buffer (pH 6.0). * The dilutions indicate recommended starting dilutions and the optimal dilutions or concentrations should be determined by the scientist. |
属性
| 形式 | Liquid |
|---|---|
| 纯化 | Purified from goat serum by antigen affinity chromatography. |
| 缓冲液 | Tris saline (pH 7.3), 0.02% Sodium azide and 0.5% BSA. |
| 抗菌剂 | 0.02% Sodium azide |
| 稳定剂 | 0.5% BSA |
| 浓度 | 0.5 mg/ml |
| 存放说明 | For continuous use, store undiluted antibody at 2-8°C for up to a week. For long-term storage, aliquot and store at -20°C or below. Storage in frost free freezers is not recommended. Avoid repeated freeze/thaw cycles. Suggest spin the vial prior to opening. The antibody solution should be gently mixed before use. |
| 注意事项 | For laboratory research only, not for drug, diagnostic or other use. |
生物信息
| 数据库连接 | |
|---|---|
| 背景介绍 | Sorbitol dehydrogenase (SORD; EC 1.1.1.14) catalyzes the interconversion of polyols and their corresponding ketoses, and together with aldose reductase (ALDR1; MIM 103880), makes up the sorbitol pathway that is believed to play an important role in the development of diabetic complications (summarized by Carr and Markham, 1995 [PubMed 8535074]). The first reaction of the pathway (also called the polyol pathway) is the reduction of glucose to sorbitol by ALDR1 with NADPH as the cofactor. SORD then oxidizes the sorbitol to fructose using NAD(+) cofactor.[supplied by OMIM, Jul 2010] |
| 研究领域 | Metabolism antibody; Signaling Transduction antibody |
| 预测分子量 | 38 kDa |
检测图片 (2) Click the Picture to Zoom In
-
ARG63681 anti-Sorbitol Dehydrogenase antibody WB image
Western Blot: Mouse Kidney lysate (35 µg protein in RIPA buffer) stained with ARG63681 anti-Sorbitol Dehydrogenase antibody at 0.1 µg/ml dilution.
-
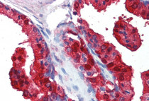
ARG63681 anti-Sorbitol Dehydrogenase antibody IHC-P image
Immunohistochemistry: Paraffin-embedded Human prostate tissue. Antigen Retrieval: Steam tissue section in Citrate buffer (pH 6.0). The tissue section was stained with ARG63681 anti-Sorbitol Dehydrogenase antibody at 5 µg/ml dilution followed by AP-staining.
