ARG22286
anti-Sodium Iodide Symporter antibody [FP5]
anti-Sodium Iodide Symporter antibody [FP5] for ICC/IF,IHC-Formalin-fixed paraffin-embedded sections,Western blot and Human,Mouse,Rat
概述
| 产品描述 | Mouse Monoclonal antibody [FP5] recognizes Sodium Iodide Symporter |
|---|---|
| 反应物种 | Hu, Ms, Rat |
| 应用 | ICC/IF, IHC-P, WB |
| 特异性 | Detects ~97kDa, non-glycosylated version at 68kDa. Other minor bands associated with hNIS at 160kDa, and degradation products at ~30 kDa, and ~15kDa. |
| 宿主 | Mouse |
| 克隆 | Monoclonal |
| 克隆号 | FP5 |
| 同位型 | IgG1, kappa |
| 靶点名称 | Sodium Iodide Symporter |
| 抗原物种 | Human |
| 抗原 | Mannose binding protein-Human Sodium Iodide Symporter fusion protein (aa. 468-643) |
| 偶联标记 | Un-conjugated |
| 別名 | Sodium-iodide symporter; Na; -; TDH1; NIS; Solute carrier family 5 member 5; Sodium/iodide cotransporter |
应用说明
| 应用建议 |
|
||||||||
|---|---|---|---|---|---|---|---|---|---|
| 应用说明 | * The dilutions indicate recommended starting dilutions and the optimal dilutions or concentrations should be determined by the scientist. |
属性
| 形式 | Liquid |
|---|---|
| 纯化 | Purification with Protein G. |
| 缓冲液 | PBS (pH 7.4), 0.09% Sodium azide and 50% Glycerol |
| 抗菌剂 | 0.09% Sodium azide |
| 稳定剂 | 50% Glycerol |
| 浓度 | 1 mg/ml |
| 存放说明 | For continuous use, store undiluted antibody at 2-8°C for up to a week. For long-term storage, aliquot and store at -20°C. Storage in frost free freezers is not recommended. Avoid repeated freeze/thaw cycles. Suggest spin the vial prior to opening. The antibody solution should be gently mixed before use. |
| 注意事项 | For laboratory research only, not for drug, diagnostic or other use. |
生物信息
| 数据库连接 | |
|---|---|
| 基因名称 | SLC5A5 |
| 全名 | solute carrier family 5 (sodium/iodide cotransporter), member 5 |
| 背景介绍 | This gene encodes a member of the sodium glucose cotransporter family. The encoded protein is responsible for the uptake of iodine in tissues such as the thyroid and lactating breast tissue. The iodine taken up by the thyroid is incorporated into the metabolic regulators triiodothyronine (T3) and tetraiodothyronine (T4). Mutations in this gene are associated with thyroid dyshormonogenesis 1.[provided by RefSeq, Sep 2009] |
| 生物功能 | Mediates iodide uptake in the thyroid gland. [UniProt] |
| 细胞定位 | Membrane |
| 预测分子量 | ~97 kDa; 68 kDa (unmodified); 160 kDa (minor bands associated with hNIS); ~15 and 30 kDa (degradation products). |
检测图片 (5) Click the Picture to Zoom In
-
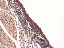
ARG22286 anti-Sodium Iodide Symporter antibody [FP5] IHC image
Immunohistochemistry: 10% Formalin (12-24 hours at RT) fixed Mouse Trachea stained with ARG22286 anti-Sodium Iodide Symporter antibody [FP5] (brown) at 1:1000 dilution (1 hour). Counterstain: Mayer Hematoxylin (purple/blue) nuclear stain at 250-500uL for 5 minutes at RT.
-
ARG22286 anti-Sodium Iodide Symporter antibody [FP5] WB image
Western blot: Human thyroid lysate stained with ARG22286 anti-Sodium Iodide Symporter antibody [FP5] at 1:1000 dilution.
-
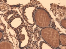
ARG22286 anti-Sodium Iodide Symporter antibody [FP5] IHC image
Immunohistochemistry: 10% Formalin (12-24 hours at RT) fixed Mouse Thyroid stained with ARG22286 anti-Sodium Iodide Symporter antibody [FP5] (brown) at 1:1000 dilution (1 hour). Counterstain: Mayer Hematoxylin (purple/blue) nuclear stain at 250-500uL for 5 minutes at RT.
-
ARG22286 anti-Sodium Iodide Symporter antibody [FP5] IHC image
Immunohistochemistry: 10% Formalin (12-24 hours at RT) fixed Mouse Thyroid stained with ARG22286 anti-Sodium Iodide Symporter antibody [FP5] (brown) at 1:1000 dilution (1 hour). Counterstain: Mayer Hematoxylin (purple/blue) nuclear stain at 250-500uL for 5 minutes at RT.
-
ARG22286 anti-Sodium Iodide Symporter antibody [FP5] IHC image
Immunohistochemistry: 10% Formalin (12-24 hours at RT) fixed Mouse Thyroid stained with ARG22286 anti-Sodium Iodide Symporter antibody [FP5] (brown) at 1:1000 dilution (1 hour). Counterstain: Mayer Hematoxylin (purple/blue) nuclear stain at 250-500uL for 5 minutes at RT.
