ARG45216
anti-SnoN / SNO antibody
anti-SnoN / SNO antibody for Flow cytometry,ICC/IF,IHC-Formalin-fixed paraffin-embedded sections,Western blot and Human,Mouse,Rat
概述
| 产品描述 | Rabbit Polyclonal antibody recognizes SnoN / SNO |
|---|---|
| 反应物种 | Hu, Ms, Rat |
| 应用 | FACS, ICC/IF, IHC-P, WB |
| 宿主 | Rabbit |
| 克隆 | Polyclonal |
| 同位型 | IgG |
| 靶点名称 | SnoN / SNO |
| 抗原物种 | Human |
| 抗原 | Recombinant protein containing to human SnoN/SNO/SKIL. |
| 偶联标记 | Un-conjugated |
| 別名 | SKIL; SKI Like Proto-Oncogene; SNO; SnoN; SnoA; SKI-Like Oncogene; Ski-Like Protein; Ski-Related Oncogene SnoN; Ski-Related Oncogene; Ski-Related Protein; SnoI |
应用说明
| 应用建议 |
|
||||||||||
|---|---|---|---|---|---|---|---|---|---|---|---|
| 应用说明 | * The dilutions indicate recommended starting dilutions and the optimal dilutions or concentrations should be determined by the scientist. | ||||||||||
| 实际分子量 | 77 kDa |
属性
| 形式 | Liquid |
|---|---|
| 纯化 | Affinity purification with immunogen. |
| 缓冲液 | 0.2% Na2HPO4, 0.9% NaCl and 4% Trehalose. |
| 稳定剂 | 4% Trehalose |
| 浓度 | 0.5 mg/ml |
| 存放说明 | For continuous use, store undiluted antibody at 2-8°C for up to a week. For long-term storage, aliquot and store at -20°C or below. Storage in frost free freezers is not recommended. Avoid repeated freeze/thaw cycles. Suggest spin the vial prior to opening. The antibody solution should be gently mixed before use. |
| 注意事项 | For laboratory research only, not for drug, diagnostic or other use. |
生物信息
| 数据库连接 | |
|---|---|
| 基因名称 | SKIL |
| 全名 | SKI Like Proto-Oncogen |
| 背景介绍 | The protein encoded by this gene is a component of the SMAD pathway, which regulates cell growth and differentiation through transforming growth factor-beta (TGFB). In the absence of ligand, the encoded protein binds to the promoter region of TGFB-responsive genes and recruits a nuclear repressor complex. TGFB signaling causes SMAD3 to enter the nucleus and degrade this protein, allowing these genes to be activated. Four transcript variants encoding three different isoforms have been found for this gene. [provided by RefSeq, Oct 2011] |
| 生物功能 | May have regulatory role in cell division or differentiation in response to extracellular signals.. [UniProt] |
| 细胞定位 | acrosomal vesicle; cytoplasm; nucleoplasm; PML body . [UniProt] Nucleus . [UniProt] |
| 预测分子量 | 76 kDa |
| 翻译后修饰 | Isopeptide bond; Phosphoprotein; Ubl conjugation. [UniProt] |
检测图片 (6) Click the Picture to Zoom In
-
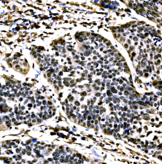
ARG45216 anti-SnoN / SNO antibody IHC-P image
Immunohistochemistry: Human esophageal squamous carcinoma stained with ARG45216 anti-SnoN / SNO antibody at 2 μg/ml dilution.
-
ARG45216 anti-SnoN / SNO antibody ICC/IF image
Immunofluorescence: A431 stained with ARG45216 anti-SnoN / SNO antibody at 5 ug/ml dilution.
-
ARG45216 anti-SnoN / SNO antibody WB image
Western blot: Sw620, HT1080, and MCF-7 stained with ARG45216 anti-SnoN / SNO antibody at 0.5 μg/ml dilution.
-
ARG45216 anti-SnoN / SNO antibody FACS image
Flow Cytometry: 293T stained with ARG45216 anti-SnoN / SNO antibody at 1 µg/10^6 cells dilution.
-
ARG45216 anti-SnoN / SNO antibody WB image
Western blot: L6 stained with ARG45216 anti-SnoN / SNO antibody at 0.5 μg/ml dilution.
-
ARG45216 anti-SnoN / SNO antibody WB image
Western blot: NIH/3T3 stained with ARG45216 anti-SnoN / SNO antibody at 0.5 μg/ml dilution.
