ARG54653
anti-Smac / Diablo antibody
anti-Smac / Diablo antibody for ELISA,ICC/IF,IHC-Formalin-fixed paraffin-embedded sections,Immunoprecipitation,Western blot and Human,Mouse,Rat
Cancer antibody; Cell Biology and Cellular Response antibody; Cell Death antibody; Metabolism antibody
概述
| 产品描述 | Rabbit Polyclonal antibody recognizes Smac / Diablo |
|---|---|
| 反应物种 | Hu, Ms, Rat |
| 应用 | ELISA, ICC/IF, IHC-P, IP, WB |
| 宿主 | Rabbit |
| 克隆 | Polyclonal |
| 同位型 | IgG |
| 靶点名称 | Smac / Diablo |
| 抗原 | Synthetic peptide (16 aa) within the last 50 aa of Mouse Smac. |
| 偶联标记 | Un-conjugated |
| 別名 | Smac; Second mitochondria-derived activator of caspase; Diablo homolog, mitochondrial; SMAC; Direct IAP-binding protein with low pI; DFNA64 |
应用说明
| 应用建议 |
|
||||||||||||
|---|---|---|---|---|---|---|---|---|---|---|---|---|---|
| 应用说明 | * The dilutions indicate recommended starting dilutions and the optimal dilutions or concentrations should be determined by the scientist. | ||||||||||||
| 阳性对照 | Mouse Heart Tissue Lysate |
属性
| 形式 | Liquid |
|---|---|
| 纯化 | Affinity purification with immunogen. |
| 缓冲液 | PBS and 0.02% Sodium azide |
| 抗菌剂 | 0.02% Sodium azide |
| 存放说明 | For continuous use, store undiluted antibody at 2-8°C for up to a week. For long-term storage, aliquot and store at -20°C or below. Storage in frost free freezers is not recommended. Avoid repeated freeze/thaw cycles. Suggest spin the vial prior to opening. The antibody solution should be gently mixed before use. |
| 注意事项 | For laboratory research only, not for drug, diagnostic or other use. |
生物信息
| 数据库连接 | |
|---|---|
| 基因名称 | Diablo |
| 全名 | diablo homolog (Drosophila) |
| 背景介绍 | Smac Antibody: The inhibitor of apoptosis proteins (IAPs) regulate programmed cell death by inhibiting members of the caspase family of enzymes. A novel mammalian protein that binds to IAPs and neutralizes the inhibitory effect of IAPs on caspases was recently identified and designated Smac/DIABLO. Smac/DIABLO is a mitochondrial protein that is released along with cytochrome c during apoptosis and activates cytochrome c/Apaf-1/capase-9 pathway. Analysis of the structural basis of Smac/DIABLO reveals that the N-terminal amino acids are required for binding of Smac/DIABLO to IAPs and activation of caspases. Smac/DIABLO is expressed in a variety of human and mouse tissues. | |
| 研究领域 | Cancer antibody; Cell Biology and Cellular Response antibody; Cell Death antibody; Metabolism antibody |
| 预测分子量 | 27 kDa |
| 翻译后修饰 | Ubiquitinated by BIRC7/livin. |
检测图片 (3) Click the Picture to Zoom In
-
ARG54653 anti-Smac antibody ICC/IF image
Immunofluorescence: mouse spleen cells stained with ARG54653 anti-Smac antibody at 10 μg/ml.
-
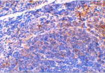
ARG54653 anti-Smac antibody IHC image
Immunohistochemistry: mouse spleen tissue stained with ARG54653 anti-Smac antibody at 2 μg/ml.
-
ARG54653 anti-Smac antibody WB image
Western blot: mouse heart tissue lysate in the absence (A) or presence (B) of blocking peptide and in rat heart tissue lysate (C) stained with ARG54653 anti-Smac antibody at 1 μg /ml.
