ARG54330
anti-Smac / Diablo antibody
anti-Smac / Diablo antibody for IHC-Formalin-fixed paraffin-embedded sections,Western blot and Human
Cancer antibody; Cell Biology and Cellular Response antibody; Cell Death antibody; Metabolism antibody
概述
产品描述 | Rabbit Polyclonal antibody recognizes Smac / Diablo |
---|---|
反应物种 | Hu |
应用 | IHC-P, WB |
特异性 | This antibody recognizes human, mouse, and rat Smac (25kDa). |
宿主 | Rabbit |
克隆 | Polyclonal |
同位型 | IgG |
靶点名称 | Smac / Diablo |
抗原物种 | Human |
抗原 | Synthetic peptide corresponding to aa 225-239 of human Smac (accession no. AAF87716). |
偶联标记 | Un-conjugated |
別名 | Smac; Second mitochondria-derived activator of caspase; Diablo homolog, mitochondrial; SMAC; Direct IAP-binding protein with low pI; DFNA64 |
应用说明
应用建议 |
|
||||||
---|---|---|---|---|---|---|---|
应用说明 | * The dilutions indicate recommended starting dilutions and the optimal dilutions or concentrations should be determined by the scientist. | ||||||
阳性对照 | Human heart and Human ovary |
属性
形式 | Liquid |
---|---|
纯化 | Immunoaffinity chroma-tography |
缓冲液 | PBS (pH 7.4) and 0.02% Sodium azide |
抗菌剂 | 0.02% Sodium azide |
存放说明 | For continuous use, store undiluted antibody at 2-8°C for up to a week. For long-term storage, aliquot and store at -20°C or below. Storage in frost free freezers is not recommended. Avoid repeated freeze/thaw cycles. Suggest spin the vial prior to opening. The antibody solution should be gently mixed before use. |
注意事项 | For laboratory research only, not for drug, diagnostic or other use. |
生物信息
数据库连接 | |
---|---|
基因名称 | DIABLO |
全名 | diablo, IAP-binding mitochondrial protein |
背景介绍 | Inhibitors of apoptosis proteins (IAPs) regulate programmed cell death by inhibiting members of the caspase family of enzymes. A novel mammalian protein that binds to IAPs and neutralizes the inhibitory effect of IAPs on caspases has been identified and designated Smac/DIABLO. Smac is a mitochondrial protein that is released along with cytochrome c during apoptosis and activates the cytochrome c/Apaf-1/caspase-9 pathway. The N-terminal amino acids of Smac are required for binding to IAPs and for activation of caspases. Smac is expressed in a variety of human and mouse tissues. |
生物功能 | Promotes apoptosis by activating caspases in the cytochrome c/Apaf-1/caspase-9 pathway. Acts by opposing the inhibitory activity of inhibitor of apoptosis proteins (IAP). Inhibits the activity of BIRC6/bruce by inhibiting its binding to caspases. Isoform 3 attenuates the stability and apoptosis-inhibiting activity of XIAP/BIRC4 by promoting XIAP/BIRC4 ubiquitination and degradation through the ubiquitin-proteasome pathway. Isoform 3 also disrupts XIAP/BIRC4 interacting with processed caspase-9 and promotes caspase-3 activation. Isoform 1 is defective in the capacity to down-regulate the XIAP/BIRC4 abundance. [UniProt] |
研究领域 | Cancer antibody; Cell Biology and Cellular Response antibody; Cell Death antibody; Metabolism antibody |
预测分子量 | 27 kDa |
翻译后修饰 | Ubiquitinated by BIRC7/livin. |
检测图片 (2) Click the Picture to Zoom In
-
ARG54330 anti-Smac / Diablo antibody WB image
Western blot: A: Human heart tissue lysate in the absence of blocking peptide; B: Human heart tissue lysate in the presence of blocking peptid stained with ARG54330 anti-Smac / Diablo antibody at 1 μg/ml dilution.
-
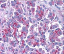
ARG54330 anti-Smac / Diablo antibody IHC image
Immunohistochemistry: Human heart tissue lysate stained with ARG54330 anti-Smac / Diablo antibody at 5 μg/ml dilution.