ARG45290
anti-SUMF2 antibody
anti-SUMF2 antibody for Flow cytometry,IHC-Formalin-fixed paraffin-embedded sections,Western blot and Human
概述
| 产品描述 | Polyclonal antibody recognizes SUMF2 |
|---|---|
| 反应物种 | Hu |
| 应用 | FACS, IHC-P, WB |
| 宿主 | Rabbit |
| 克隆 | Polyclonal |
| 同位型 | IgG |
| 靶点名称 | SUMF2 |
| 抗原物种 | Human |
| 抗原 | Recombinant protein containing to human SUMF2. |
| 偶联标记 | Un-conjugated |
| 別名 | SUMF2; Sulfatase Modifying Factor 2; Inactive C-Alpha-Formylglycine-Generating Enzyme 2; Paralog Of Formylglycine-Generating Enzyme; DKFZp566I1024; PFGE; Paralog Of The Formylglycine-Generating Enzyme; Epididymis Secretory Sperm Binding Protein; C-Alpha-Formylglycine-Generating Enzyme 2; C-Alpha-Formyglycine-Generating Enzyme 2; Sulfatase-Modifying Factor 2 |
应用说明
| 应用建议 |
|
||||||||
|---|---|---|---|---|---|---|---|---|---|
| 应用说明 | * The dilutions indicate recommended starting dilutions and the optimal dilutions or concentrations should be determined by the scientist. | ||||||||
| 实际分子量 | 36 kDa |
属性
| 形式 | Liquid |
|---|---|
| 纯化 | Affinity purification with immunogen. |
| 缓冲液 | 0.2% Na2HPO4, 0.9% NaCl and 4% Trehalose. |
| 稳定剂 | 4% Trehalose |
| 浓度 | 0.5 mg/ml |
| 存放说明 | For continuous use, store undiluted antibody at 2-8°C for up to a week. For long-term storage, aliquot and store at -20°C or below. Storage in frost free freezers is not recommended. Avoid repeated freeze/thaw cycles. Suggest spin the vial prior to opening. The antibody solution should be gently mixed before use. |
| 注意事项 | For laboratory research only, not for drug, diagnostic or other use. |
生物信息
| 数据库连接 | |
|---|---|
| 基因名称 | SUMF2 |
| 全名 | Sulfatase Modifying Factor 2 |
| 背景介绍 | The catalytic sites of sulfatases are only active if they contain a unique amino acid, C-alpha-formylglycine (FGly). The FGly residue is posttranslationally generated from a cysteine by enzymes with FGly-generating activity. The gene described in this record is a member of the sulfatase-modifying factor family and encodes a protein with a DUF323 domain that localizes to the lumen of the endoplasmic reticulum. This protein has low levels of FGly-generating activity but can heterodimerize with another family member - a protein with high levels of FGly-generating activity. Alternate transcriptional splice variants, encoding different isoforms, have been characterized. [provided by RefSeq, Jul 2008] |
| 生物功能 | Lacks formylglycine generating activity and is unable to convert newly synthesized inactive sulfatases to their active form. Inhibits the activation of sulfatases by SUMF1. [UniProt] |
| 细胞定位 | Membrane; Mitochondrion; Mitochondrion inner membrane. [UniProt] |
| 预测分子量 | 33 kDa |
| 翻译后修饰 | Disulfide bond; Glycoprotein. [UniProt] |
检测图片 (3) Click the Picture to Zoom In
-
ARG45290 anti-SUMF2 antibody WB image
Western blot: A431 stained with ARG45290 anti-SUMF2 antibody at 0.5 μg/ml dilution.
-
ARG45290 anti-SUMF2 antibody FACS image
Flow Cytometry: U87 stained with ARG45290 anti-SUMF2 antibody at 1 µg/10^6 cells dilution.
-
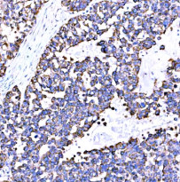
ARG45290 anti-SUMF2 antibody IHC-P image
Immunohistochemistry: Human breast cancer stained with ARG45290 anti-SUMF2 antibody at 2 μg/ml dilution.
