ARG59273
anti-SUB1 / PC4 antibody
anti-SUB1 / PC4 antibody for Flow cytometry,IHC-Formalin-fixed paraffin-embedded sections and Human,Mouse,Rat
概述
| 产品描述 | Rabbit Polyclonal antibody recognizes SUB1 / PC4 |
|---|---|
| 反应物种 | Hu, Ms, Rat |
| 预测物种 | Hm |
| 应用 | FACS, IHC-P |
| 宿主 | Rabbit |
| 克隆 | Polyclonal |
| 同位型 | IgG |
| 靶点名称 | SUB1 / PC4 |
| 抗原物种 | Human |
| 抗原 | Synthetic peptide corresponding to aa. 96-127 of Human SUB1 / PC4. (MKPGRKGISLNPEQWSQLKEQISDIDDAVRKL) |
| 偶联标记 | Un-conjugated |
| 別名 | Positive cofactor 4; Activated RNA polymerase II transcriptional coactivator p15; PC4; p14; P15; SUB1 homolog |
应用说明
| 应用建议 |
|
||||||
|---|---|---|---|---|---|---|---|
| 应用说明 | IHC-P: Antigen Retrieval: By heat mediation. * The dilutions indicate recommended starting dilutions and the optimal dilutions or concentrations should be determined by the scientist. |
属性
| 形式 | Liquid |
|---|---|
| 纯化 | Affinity purification with immunogen. |
| 缓冲液 | 0.9% NaCl, 0.2% Na2HPO4, 0.05% Sodium azide and 5% BSA. |
| 抗菌剂 | 0.05% Sodium azide |
| 稳定剂 | 5% BSA |
| 浓度 | 0.5 mg/ml |
| 存放说明 | For continuous use, store undiluted antibody at 2-8°C for up to a week. For long-term storage, aliquot and store at -20°C or below. Storage in frost free freezers is not recommended. Avoid repeated freeze/thaw cycles. Suggest spin the vial prior to opening. The antibody solution should be gently mixed before use. |
| 注意事项 | For laboratory research only, not for drug, diagnostic or other use. |
生物信息
| 数据库连接 | |
|---|---|
| 基因名称 | SUB1 |
| 全名 | SUB1 homolog, transcriptional regulator |
| 生物功能 | General coactivator that functions cooperatively with TAFs and mediates functional interactions between upstream activators and the general transcriptional machinery. May be involved in stabilizing the multiprotein transcription complex. Binds single-stranded DNA. Also binds, in vitro, non-specifically to double-stranded DNA (ds DNA). [UniProt] |
| 细胞定位 | Nucleus. [UniProt] |
| 预测分子量 | 14 kDa |
| 翻译后修饰 | Activity is controlled by protein kinases that target the regulatory region. Phosphorylation inactivates both ds DNA-binding and cofactor function, but does not affect binding to ssDNA. Seems to be phosphorylated in vivo by CK2 in at least 7 sites in the N-terminal Ser-rich region. [UniProt] |
检测图片 (5) Click the Picture to Zoom In
-
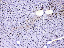
ARG59273 anti-SUB1 / PC4 antibody IHC-P image
Immunohistochemistry: Paraffin-embedded Mouse liver stained with ARG59273 anti-SUB1 / PC4 antibody at 1 µg/ml dilution.
-
ARG59273 anti-SUB1 / PC4 antibody FACS image
Flow Cytometry: A431 cells were blocked with 10% normal goat serum and then stained with ARG59273 anti-SUB1 / PC4 antibody (blue) at 1 µg/10^6 cells for 30 min at 20°C, followed by incubation with DyLight®488 labelled secondary antibody. Isotype control antibody (green) was rabbit IgG (1 µg/10^6 cells) used under the same conditions. Unlabelled sample (red) was also used as a control.
-
ARG59273 anti-SUB1 / PC4 antibody IHC-P image
Immunohistochemistry: Paraffin-embedded Rat liver stained with ARG59273 anti-SUB1 / PC4 antibody at 1 µg/ml dilution.
-
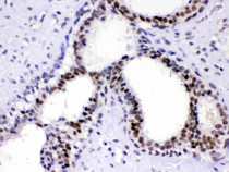
ARG59273 anti-SUB1 / PC4 antibody IHC-P image
Immunohistochemistry: Paraffin-embedded Human mammary cancer stained with ARG59273 anti-SUB1 / PC4 antibody at 1 µg/ml dilution.
-
ARG59273 anti-SUB1 / PC4 antibody FACS image
Flow Cytometry: U87 cells were blocked with 10% normal goat serum and then stained with ARG59273 anti-SUB1 / PC4 antibody (blue) at 1 µg/10^6 cells for 30 min at 20°C, followed by incubation with DyLight®488 labelled secondary antibody. Isotype control antibody (green) was rabbit IgG (1 µg/10^6 cells) used under the same conditions. Unlabelled sample (red) was also used as a control.
