ARG44945
anti-STX17 / Syntaxin 17 antibody
anti-STX17 / Syntaxin 17 antibody for IHC-Formalin-fixed paraffin-embedded sections,Western blot and Human
概述
| 产品描述 | Mouse Monoclonal antibody recognizes STX17 / Syntaxin 17 |
|---|---|
| 反应物种 | Hu |
| 应用 | IHC-P, WB |
| 宿主 | Mouse |
| 克隆 | Monoclonal |
| 同位型 | IgG1 |
| 靶点名称 | STX17 / Syntaxin 17 |
| 抗原物种 | Human |
| 抗原表位 | RRLEPAIQKF IKIVIPTDLE RLRKHQINIE KYQRCRIWDK LHEEHINAGR TVQQLRSNIR EIEKLCLKVR KDDLVLLKRM IDPVKEEASA ATAEFLQLHL ESVEELKKQF NDEETLLQPP LTRSMTVGGA FHTTEAEASS QSLTQIYALP EIPQDQNAAE SWETLEADLI ELSQLVTDFS LLVNSQQEKI DSIADHVNSA AVNVEEGTKN |
| 偶联标记 | Un-conjugated |
| 別名 | STX17; Syntaxin 17; Syntaxin-17; FLJ20651 |
应用说明
| 应用建议 |
|
||||||
|---|---|---|---|---|---|---|---|
| 应用说明 | * The dilutions indicate recommended starting dilutions and the optimal dilutions or concentrations should be determined by the scientist. |
属性
| 形式 | Liquid |
|---|---|
| 纯化 | Protein A purification |
| 缓冲液 | PBS with 0.09% sodium azide |
| 抗菌剂 | 0.09% sodium azide |
| 存放说明 | For continuous use, store undiluted antibody at 2-8°C for up to a week. For long-term storage, aliquot and store at -20°C or below. Storage in frost free freezers is not recommended. Avoid repeated freeze/thaw cycles. Suggest spin the vial prior to opening. The antibody solution should be gently mixed before use. |
| 注意事项 | For laboratory research only, not for drug, diagnostic or other use. |
生物信息
| 数据库连接 | |
|---|---|
| 基因名称 | STX17 |
| 全名 | Syntaxin 17 |
| 背景介绍 | Enables SNAP receptor activity; SNARE binding activity; and protein phosphatase binding activity. Involved in several processes, including autophagosome membrane docking; endoplasmic reticulum to Golgi vesicle-mediated transport; and endoplasmic reticulum-Golgi intermediate compartment organization. Acts upstream of or within protein localization to phagophore assembly site. Located in several cellular components, including autophagosome membrane; endoplasmic reticulum-Golgi intermediate compartment; and mitochondria-associated endoplasmic reticulum membrane. Part of SNARE complex. Colocalizes with HOPS complex. [provided by Alliance of Genome Resources, Apr 2022] |
| 生物功能 | May also play a role in the early secretory pathway where it may maintain the architecture of the endoplasmic reticulum-Golgi intermediate compartment/ERGIC and Golgi and/or regulate transport between the endoplasmic reticulum, the ERGIC and the Golgi. [Uniprot] |
| 细胞定位 | Cytoplasm, Cytoplasmic vesicle, Endoplasmic reticulum, Membrane, Mitochondrion. [Uniprot] |
| 翻译后修饰 | Acetylation, Phosphoprotein. [Uniprot] |
检测图片 (2) Click the Picture to Zoom In
-
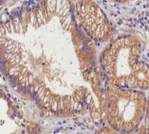
ARG44945 anti-STX17 / Syntaxin 17 antibody IHC-P image
Immunohistochemistry: Human gallbladder stained with ARG44945 anti-STX17 / Syntaxin 17 antibody at 2 µg/mL dilution.
-
ARG44945 anti-STX17 / Syntaxin 17 antibody WB image
Western blot: SH-SY5Y stained with ARG44945 anti-STX17 / Syntaxin 17 antibody at 1 µg/mL dilution.
