ARG54666
anti-STOX2 antibody
anti-STOX2 antibody for ELISA,ICC/IF,IHC-Formalin-fixed paraffin-embedded sections,Western blot and Human,Mouse,Rat
Developmental Biology antibody
概述
| 产品描述 | Rabbit Polyclonal antibody recognizes STOX2 |
|---|---|
| 反应物种 | Hu, Ms, Rat |
| 应用 | ELISA, ICC/IF, IHC-P, WB |
| 宿主 | Rabbit |
| 克隆 | Polyclonal |
| 同位型 | IgG |
| 靶点名称 | STOX2 |
| 抗原 | Synthetic peptide (19 aa) within the last 50 aa of Human STOX2 protein. |
| 偶联标记 | Un-conjugated |
| 別名 | Storkhead-box protein 2 |
应用说明
| 应用建议 |
|
||||||||||
|---|---|---|---|---|---|---|---|---|---|---|---|
| 应用说明 | * The dilutions indicate recommended starting dilutions and the optimal dilutions or concentrations should be determined by the scientist. | ||||||||||
| 阳性对照 | Human Kidney Tissue Lysate |
属性
| 形式 | Liquid |
|---|---|
| 纯化 | Affinity purification with immunogen. |
| 缓冲液 | PBS and 0.02% Sodium azide |
| 抗菌剂 | 0.02% Sodium azide |
| 浓度 | 1 mg/ml |
| 存放说明 | For continuous use, store undiluted antibody at 2-8°C for up to a week. For long-term storage, aliquot and store at -20°C or below. Storage in frost free freezers is not recommended. Avoid repeated freeze/thaw cycles. Suggest spin the vial prior to opening. The antibody solution should be gently mixed before use. |
| 注意事项 | For laboratory research only, not for drug, diagnostic or other use. |
生物信息
| 数据库连接 | |
|---|---|
| 基因名称 | STOX2 |
| 全名 | storkhead box 2 |
| 背景介绍 | STOX2 Antibody: The Storkhead box protein 2 (STOX2) is the only known paralog to STOX1, a winged-helix domain containing transcription factor believed to play a role in the differentiation of stem cells. STOX2 has been suggested to be part of a molecular profile unique to stem cells, and its mRNA may be part of a transcriptional profile observed with increased inflammatory response to air pollutants. Decreased STOX2 expression levels in decidua are also correlated with preeclampsia, suggesting STOX2 may play a role in the pathophysiology of preeclampsia. | |
| 研究领域 | Developmental Biology antibody |
| 预测分子量 | 103 kDa |
检测图片 (3) Click the Picture to Zoom In
-
ARG54666 anti-STOX2 antibody ICC/IF image
Immunofluorescence: human kidney tissue stained with ARG54666 anti-STOX2 antibody at 20 μg/ml.
-
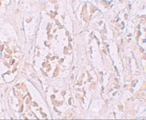
ARG54666 anti-STOX2 antibody IHC image
Immunohistochemistry: human kidney tissue stained with ARG54666 anti-STOX2 antibody at 2.5 μg/ml.
-
ARG54666 anti-STOX2 antibody WB image
Western blot: human kidney tissue lysate stained with ARG54666 anti-STOX2 antibody at 1 μg/ml in (A) the absence and (B) the presence of blocking peptide.
