ARG45587
anti-STON1 antibody
anti-STON1 antibody for Flow cytometry,IHC-Formalin-fixed paraffin-embedded sections,Western blot and Human
概述
| 产品描述 | Rabbit Polyclonal antibody recognizes STON1 |
|---|---|
| 反应物种 | Hu |
| 应用 | FACS, IHC-P, WB |
| 宿主 | Rabbit |
| 克隆 | Polyclonal |
| 同位型 | IgG |
| 靶点名称 | STON1 |
| 抗原物种 | Human |
| 抗原 | Recombinant protein containing to human STON1. |
| 偶联标记 | Un-conjugated |
| 別名 | STON1; Stonin 1; SBLF; Stoned-B1; Stoned B-Like Factor; Stonin-1; SALF; STN1; Stoned B Homolog 1 (Drosophila); Stoned B Homolog 1; STNB1 |
应用说明
| 应用建议 |
|
||||||||
|---|---|---|---|---|---|---|---|---|---|
| 应用说明 | * The dilutions indicate recommended starting dilutions and the optimal dilutions or concentrations should be determined by the scientist. | ||||||||
| 实际分子量 | 83 kDa |
属性
| 形式 | Liquid |
|---|---|
| 纯化 | Affinity purified |
| 缓冲液 | 0.2% Na2HPO4, 0.9% NaCl and 4% Trehalose. |
| 稳定剂 | 4% Trehalose |
| 浓度 | 0.5 mg/ml |
| 存放说明 | For continuous use, store undiluted antibody at 2-8°C for up to a week. For long-term storage, aliquot and store at -20°C or below. Storage in frost free freezers is not recommended. Avoid repeated freeze/thaw cycles. Suggest spin the vial prior to opening. The antibody solution should be gently mixed before use. |
| 注意事项 | For laboratory research only, not for drug, diagnostic or other use. |
生物信息
| 数据库连接 | |
|---|---|
| 基因名称 | STON1 |
| 全名 | Stonin 1 |
| 背景介绍 | Endocytosis of cell surface proteins is mediated by a complex molecular machinery that assembles on the inner surface of the plasma membrane. This gene encodes one of two human homologs of the Drosophila melanogaster stoned B protein. This protein is related to components of the endocytic machinery and exhibits a modular structure consisting of an N-terminal proline-rich domain, a central region of homology specific to the human stoned B-like proteins, and a C-terminal region homologous to the mu subunits of adaptor protein (AP) complexes. Read-through transcription of this gene into the neighboring downstream gene, which encodes TFIIA-alpha/beta-like factor, generates a transcript (SALF), which encodes a fusion protein comprised of sequence sharing identity with each individual gene product. Alternative splicing results in multiple transcript variants. [provided by RefSeq, Oct 2010] |
| 生物功能 | May be involved in the endocytic machinery. [UniProt] |
| 细胞定位 | Cytoplasm; Membrane. [UniProt] |
| 预测分子量 | 83 kDa |
检测图片 (3) Click the Picture to Zoom In
-
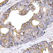
ARG45587 anti-STON1 antibody IHC-P image
Immunohistochemistry: Human colon adenocarcinoma stained with ARG45587 anti-STON1 antibody at 2 μg/ml dilution.
-
ARG45587 anti-STON1 antibody FACS image
Flow Cytometry: 293T stained with ARG45587 anti-STON1 antibody at 1 µg/10^6 cells dilution.
-
ARG45587 anti-STON1 antibody WB image
Western blot: RT-4 stained with ARG45587 anti-STON1 antibody at 0.5 μg/ml dilution.
