ARG66447
anti-STK19 antibody
anti-STK19 antibody for ICC/IF,Western blot and Human,Mouse,Rat
概述
| 产品描述 | Rabbit Polyclonal antibody recognizes STK19 |
|---|---|
| 反应物种 | Hu, Ms, Rat |
| 应用 | ICC/IF, WB |
| 宿主 | Rabbit |
| 克隆 | Polyclonal |
| 同位型 | IgG |
| 靶点名称 | STK19 |
| 抗原物种 | Human |
| 抗原 | Recombinant full length protein of Human STK19. |
| 偶联标记 | Un-conjugated |
| 別名 | RP1; Protein RP1; D6S60; EC 2.7.11.1; D6S60E; Serine/threonine-protein kinase 19; HLA-RP1; G11; Protein G11 |
应用说明
| 应用建议 |
|
||||||
|---|---|---|---|---|---|---|---|
| 应用说明 | * The dilutions indicate recommended starting dilutions and the optimal dilutions or concentrations should be determined by the scientist. | ||||||
| 实际分子量 | 29, 41 kDa |
属性
| 形式 | Liquid |
|---|---|
| 纯化 | Affinity purification with immunogen. |
| 缓冲液 | 0.42% Potassium phosphate (pH 7.3), 0.87% NaCl, 0.01% Sodium azide and 30% Glycerol. |
| 抗菌剂 | 0.01% Sodium azide |
| 稳定剂 | 30% Glycerol |
| 存放说明 | For continuous use, store undiluted antibody at 2-8°C for up to a week. For long-term storage, aliquot and store at -20°C. Storage in frost free freezers is not recommended. Avoid repeated freeze/thaw cycles. Suggest spin the vial prior to opening. The antibody solution should be gently mixed before use. |
| 注意事项 | For laboratory research only, not for drug, diagnostic or other use. |
生物信息
| 数据库连接 |
Swiss-port # P49842 Human Serine/threonine-protein kinase 19 Swiss-port # Q9JHN8 Mouse Serine/threonine-protein kinase 19 |
|---|---|
| 基因名称 | STK19 |
| 全名 | serine/threonine kinase 19 |
| 背景介绍 | This gene encodes a serine/threonine kinase which localizes predominantly to the nucleus. Its specific function is unknown; it is possible that phosphorylation of this protein is involved in transcriptional regulation. This gene localizes to the major histocompatibility complex (MHC) class III region on chromosome 6 and expresses two transcript variants. [provided by RefSeq, Jul 2008] |
| 生物功能 | Seems to be a protein kinase. In vitro it can phosphorylate casein-alpha on serine and threonine residues and histones on serine residues. [UniProt] |
| 细胞定位 | Nucleus. [UniProt] |
| 预测分子量 | 41 kDa |
检测图片 (3) Click the Picture to Zoom In
-
ARG66447 anti-STK19 antibody ICC/IF image
Immunofluorescence: Formalin-fixed A549 cells were permeabilized with 0.1% Triton X-100 in TBS for 5-10 minutes and blocked with 3% BSA-PBS for 30 minutes at room temperature. Cells were stained with ARG66447 anti-STK19 antibody (red) in 3% BSA-PBS and incubated overnight at 4°C in a hidified chamber.
-
ARG66447 anti-STK19 antibody WB image
Western blot: Jurkat, HepG2, Mouse liver, Rat lung and Rat brain whole cell lysates stained with ARG66447 anti-STK19 antibody.
-
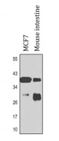
ARG66447 anti-STK19 antibody WB image
Western blot: MCF7 and Mouse intestine lysates stained with ARG66447 anti-STK19 antibody.
