ARG44745
anti-STIP1 antibody
anti-STIP1 antibody for IHC-Formalin-fixed paraffin-embedded sections,Immunoprecipitation,Western blot and Human
概述
| 产品描述 | Mouse Monoclonal antibody recognizes STIP1 |
|---|---|
| 反应物种 | Hu |
| 应用 | IHC-P, IP, WB |
| 宿主 | Mouse |
| 克隆 | Monoclonal |
| 同位型 | IgG1 |
| 靶点名称 | STIP1 |
| 抗原物种 | Human |
| 偶联标记 | Un-conjugated |
| 別名 | P60; Hop; IEF-SSP-3521; Renal carcinoma antigen NY-REN-11; HEL-S-94n; Hsc70/Hsp90-organizing protein; HOP; STI1L; Transformation-sensitive protein IEF SSP 3521; Stress-induced-phosphoprotein 1; STI1 |
应用说明
| 应用建议 |
|
||||||||
|---|---|---|---|---|---|---|---|---|---|
| 应用说明 | * The dilutions indicate recommended starting dilutions and the optimal dilutions or concentrations should be determined by the scientist. |
属性
| 形式 | Liquid |
|---|---|
| 纯化 | Protein A purification |
| 缓冲液 | PBS with 0.09% sodium azide |
| 存放说明 | For continuous use, store undiluted antibody at 2-8°C for up to a week. For long-term storage, aliquot and store at -20°C or below. Storage in frost free freezers is not recommended. Avoid repeated freeze/thaw cycles. Suggest spin the vial prior to opening. The antibody solution should be gently mixed before use. |
| 注意事项 | For laboratory research only, not for drug, diagnostic or other use. |
生物信息
| 数据库连接 | |
|---|---|
| 基因名称 | STIP1 |
| 全名 | stress-induced phosphoprotein 1 |
| 背景介绍 | STIP1 is an adaptor protein that coordinates the functions of HSP70 (see HSPA1A; MIM 140550) and HSP90 (see HSP90AA1; MIM 140571) in protein folding. It is thought to assist in the transfer of proteins from HSP70 to HSP90 by binding both HSP90 and substrate-bound HSP70. STIP1 also stimulates the ATPase activity of HSP70 and inhibits the ATPase activity of HSP90, suggesting that it regulates both the conformations and ATPase cycles of these chaperones (Song and Masison, 2005 [PubMed 16100115]).[supplied by OMIM, Jul 2009] |
| 生物功能 | Mediates the association of the molecular chaperones HSC70 and HSP90 (HSPCA and HSPCB). [UniProt] |
| 细胞定位 | Cytoplasm. Nucleus. [UniProt] |
| 预测分子量 | 98 kDa |
| 翻译后修饰 | CD40LG induces tyrosine phosphorylation of isoform 3. |
检测图片 (3) Click the Picture to Zoom In
-
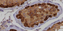
ARG44745 anti-STIP1 antibody IHC-P image
Immunohistochemistry: Human testis stained with ARG44745 anti-STIP1 antibody at 5 µg/mL dilution.
-
ARG44745 anti-STIP1 antibody WB image
Western blot: Jurkat stained with ARG44745 anti-STIP1 antibody at 1 µg/mL dilution.
-
ARG44745 anti-STIP1 antibody IP image
Immunoprecipitation: Jurkat lysate immunoprecipitated with 2.5 µg of ARG44745 anti-STIP1 antibody.
