ARG46535
anti-STIM2 antibody
anti-STIM2 antibody for Western blot,IHC-Formalin-fixed paraffin-embedded sections and Human,Mouse,Rat
概述
| 产品描述 | Rabbit Polyclonal antibody recognizes STIM2 |
|---|---|
| 反应物种 | Hu, Ms, Rat |
| 应用 | IHC-P, WB |
| 宿主 | Rabbit |
| 克隆 | Polyclonal |
| 同位型 | IgG |
| 靶点名称 | STIM2 |
| 抗原物种 | Human |
| 抗原 | A 17 amino acid synthetic peptide within the last 50 amino acids of human STIM2. |
| 偶联标记 | Un-conjugated |
| 別名 | STIM2; Stromal interaction molecule 2 |
应用说明
| 应用建议 |
|
||||||
|---|---|---|---|---|---|---|---|
| 应用说明 | * The dilutions indicate recommended starting dilutions and the optimal dilutions or concentrations should be determined by the scientist. |
属性
| 纯化 | Affinity chromatography purified |
|---|---|
| 缓冲液 | PBS and 0.02% Sodium azide. |
| 抗菌剂 | 0.02% Sodium azide |
| 浓度 | 1 mg/ml |
| 存放说明 | For continuous use, store undiluted antibody at 2-8°C for up to a week. For long-term storage, aliquot and store at -20°C. Storage in frost free freezers is not recommended. Avoid repeated freeze/thaw cycles. Suggest spin the vial prior to opening. The antibody solution should be gently mixed before use. |
| 注意事项 | For laboratory research only, not for drug, diagnostic or other use. |
生物信息
| 数据库连接 | |
|---|---|
| 基因名称 | STIM2 |
| 全名 | stromal interaction molecule 2 |
| 背景介绍 | This gene is a member of the stromal interaction molecule (STIM) family and likely arose, along with related family member STIM1, from a common ancestral gene. The encoded protein functions to regulate calcium concentrations in the cytosol and endoplasmic reticulum, and is involved in the activation of plasma membrane Orai Ca(2+) entry channels. This gene initiates translation from a non-AUG (UUG) start site. A signal peptide is cleaved from the resulting protein. Multiple transcript variants result from alternative splicing. [provided by RefSeq, Dec 2009] |
| 生物功能 | Plays a role in mediating store-operated Ca(2+) entry (SOCE), a Ca(2+) influx following depletion of intracellular Ca(2+) stores. Functions as a highly sensitive Ca(2+) sensor in the endoplasmic reticulum which activates both store-operated and store-independent Ca(2+)-influx. Regulates basal cytosolic and endoplasmic reticulum Ca(2+) concentrations. Upon mild variations of the endoplasmic reticulum Ca(2+) concentration, translocates from the endoplasmic reticulum to the plasma membrane where it probably activates the Ca(2+) release-activated Ca(2+) (CRAC) channels ORAI1, ORAI2 and ORAI3. May inhibit STIM1-mediated Ca(2+) influx. [UniProt] |
| 预测分子量 | 84 kDa |
| 翻译后修饰 | Glycosylated. Phosphorylated predominantly on Ser residues. |
检测图片 (3) Click the Picture to Zoom In
-
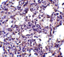
ARG46535 anti-STIM2 antibody IHC-P image
Immunohistochemistry: Human spleen stained with ARG46535 anti-STIM2 antibody.
-
ARG46535 anti-STIM2 antibody ICC/IF image
Immunofluorescence: Human Spleen stained with ARG46535 anti-STIM2 antibody.
-
ARG46535 anti-STIM2 antibody WB image
Western blot: A-20 stained with ARG46535 anti-STIM2 antibody.
