ARG45484
anti-STIL / SIL antibody
anti-STIL / SIL antibody for Flow cytometry,IHC-Formalin-fixed paraffin-embedded sections,Western blot and Human,Mouse,Rat
概述
| 产品描述 | Rabbit Polyclonal antibody recognizes STIL / SIL |
|---|---|
| 反应物种 | Hu, Ms, Rat |
| 应用 | FACS, IHC-P, WB |
| 宿主 | Rabbit |
| 克隆 | Polyclonal |
| 同位型 | IgG |
| 靶点名称 | STIL / SIL |
| 抗原物种 | Human |
| 抗原 | Recombinant protein containing to human STIL / SIL. |
| 偶联标记 | Un-conjugated |
| 別名 | STIL; STIL Centriolar Assembly Protein; MCPH7; SIL; TAL-1-Interrupting Locus Protein; SCL-Interrupting Locus Protein; SCL/TAL1 Interrupting Locus; TAL1 (SCL) Interrupting Locus |
应用说明
| 应用建议 |
|
||||||||
|---|---|---|---|---|---|---|---|---|---|
| 应用说明 | * The dilutions indicate recommended starting dilutions and the optimal dilutions or concentrations should be determined by the scientist. | ||||||||
| 实际分子量 | 170 kDa |
属性
| 形式 | Liquid |
|---|---|
| 纯化 | Affinity purified |
| 缓冲液 | 0.2% Na2HPO4, 0.9% NaCl and 4% Trehalose. |
| 稳定剂 | 4% Trehalose |
| 浓度 | 0.5 mg/ml |
| 存放说明 | For continuous use, store undiluted antibody at 2-8°C for up to a week. For long-term storage, aliquot and store at -20°C or below. Storage in frost free freezers is not recommended. Avoid repeated freeze/thaw cycles. Suggest spin the vial prior to opening. The antibody solution should be gently mixed before use. |
| 注意事项 | For laboratory research only, not for drug, diagnostic or other use. |
生物信息
| 数据库连接 |
Swiss-port # Q15468 Human SCL-interrupting locus protein Swiss-port # Q60988 Mouse SCL-interrupting locus protein homolog |
|---|---|
| 基因名称 | STIL |
| 全名 | STIL Centriolar Assembly Protein |
| 背景介绍 | This gene encodes a cytoplasmic protein implicated in regulation of the mitotic spindle checkpoint, a regulatory pathway that monitors chromosome segregation during cell division to ensure the proper distribution of chromosomes to daughter cells. The protein is phosphorylated in mitosis and in response to activation of the spindle checkpoint, and disappears when cells transition to G1 phase. It interacts with a mitotic regulator, and its expression is required to efficiently activate the spindle checkpoint. It is proposed to regulate Cdc2 kinase activity during spindle checkpoint arrest. Chromosomal deletions that fuse this gene and the adjacent locus commonly occur in T cell leukemias, and are thought to arise through illegitimate V-(D)-J recombination events. Multiple transcript variants encoding different isoforms have been found for this gene. [provided by RefSeq, Jul 2008] |
| 生物功能 | Immediate-early gene. Plays an important role in embryonic development as well as in cellular growth and proliferation; its long-term silencing affects cell survival and cell cycle distribution as well as decreases CDK1 activity correlated with reduced phosphorylation of CDK1. Plays a role as a positive regulator of the sonic hedgehog pathway, acting downstream of PTCH1 [UniProt] |
| 细胞定位 | Cytoplasm; Cytoskeleton. [UniProt] |
| 预测分子量 | 143 kDa |
| 翻译后修饰 | Acetylation; Phosphoprotein; Ubl conjugation. [UniProt] |
检测图片 (5) Click the Picture to Zoom In
-
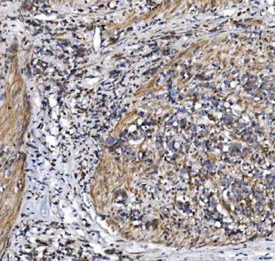
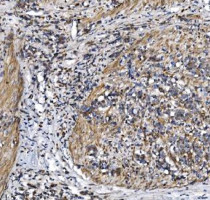
ARG45484 anti-STIL / SIL antibody IHC-P image
Immunohistochemistry: Human gallbladder adenocarcinoma stained with ARG45484 anti-STIL / SIL antibody at 2 μg/ml dilution.
-
ARG45484 anti-STIL / SIL antibody WB image
Western blot: Hela stained with ARG45484 anti-STIL / SIL antibody at 0.5 μg/ml dilution.
-
ARG45484 anti-STIL / SIL antibody FACS image
Flow Cytometry: SiHa stained with ARG45484 anti-STIL / SIL antibody at 1 µg/10^6 cells dilution.
-
ARG45484 anti-STIL / SIL antibody WB image
Western blot: Rat testis stained with ARG45484 anti-STIL / SIL antibody at 0.5 μg/ml dilution.
-
ARG45484 anti-STIL / SIL antibody WB image
Western blot: NIH/3T3 stained with ARG45484 anti-STIL / SIL antibody at 0.5 μg/ml dilution.
