ARG66984
anti-ST3GAL1 antibody
anti-ST3GAL1 antibody for IHC-Frozen sections,IHC-Formalin-fixed paraffin-embedded sections,Western blot and Human,Mouse
概述
| 产品描述 | Rabbit Polyclonal antibody recognizes ST3GAL1 |
|---|---|
| 反应物种 | Hu, Ms |
| 预测物种 | Rat |
| 应用 | IHC-Fr, IHC-P, WB |
| 宿主 | Rabbit |
| 克隆 | Polyclonal |
| 同位型 | IgG |
| 靶点名称 | ST3GAL1 |
| 抗原物种 | Human |
| 抗原 | Synthetic peptide around the middle region of Human ST3GAL1. |
| 偶联标记 | Un-conjugated |
| Protein Full name | ST3 beta-galactoside alpha-2,3-sialyltransferase 1 |
| 別名 | ST3O; SIAT4A; SIATFL; ST3GalA; ST3GalIA; Gal-NAc6S; ST3GalA.1; ST3GalIA,1; CMP-N-Acetylneuraminate-Beta-Galactosamide-Alpha-2,3-Sialyltransferase 1; Sialyltransferase 4A (Beta-Galactosidase Alpha-2,3-Sialytransferase); Gal-Beta-1,3-GalNAc-Alpha-2,3-Sialyltransferase; Beta-Galactoside Alpha-2,3-Sialyltransferase 1; Monosialoganglioside Sialyltransferase; Alpha 2,3-ST 1 |
应用说明
| 应用建议 |
|
||||||||
|---|---|---|---|---|---|---|---|---|---|
| 应用说明 | * The dilutions indicate recommended starting dilutions and the optimal dilutions or concentrations should be determined by the scientist. | ||||||||
| 实际分子量 | 45-50 kDa |
属性
| 形式 | Liquid |
|---|---|
| 纯化 | Affinity purified. |
| 缓冲液 | 100 mM Tris Glycine (pH 7.0), 0.025% ProClin 300 and 20% Glycerol. |
| 抗菌剂 | 0.025% ProClin 300 |
| 稳定剂 | 20% Glycerol |
| 存放说明 | For continuous use, store undiluted antibody at 2-8°C for up to a week. For long-term storage, aliquot and store at -20°C. Storage in frost free freezers is not recommended. Avoid repeated freeze/thaw cycles. Suggest spin the vial prior to opening. The antibody solution should be gently mixed before use. |
| 注意事项 | For laboratory research only, not for drug, diagnostic or other use. |
生物信息
| 数据库连接 |
Swiss-port # P54751 Mouse CMP-N-acetylneuraminate-beta-galactosamide-alpha-2,3-sialyltransferase 1 Swiss-port # Q11201 Human CMP-N-acetylneuraminate-beta-galactosamide-alpha-2,3-sialyltransferase 1 |
|---|---|
| 基因名称 | ST3GAL1 |
| 全名 | ST3 beta-galactoside alpha-2,3-sialyltransferase 1 |
| 背景介绍 | The protein encoded by this gene is a type II membrane protein that catalyzes the transfer of sialic acid from CMP-sialic acid to galactose-containing substrates. The encoded protein is normally found in the Golgi but can be proteolytically processed to a soluble form. Correct glycosylation of the encoded protein may be critical to its sialyltransferase activity. This protein, which is a member of glycosyltransferase family 29, can use the same acceptor substrates as does sialyltransferase 4B. Two transcript variants encoding the same protein have been found for this gene. Other transcript variants may exist, but have not been fully characterized yet. [provided by RefSeq, Jul 2008] |
| 生物功能 | A beta-galactoside alpha2-3 sialyltransferase involved in terminal sialylation of glycoproteins and glycolipids (PubMed:31784620, PubMed:8027041). Catalyzes the transfer of sialic acid (N-acetyl-neuraminic acid; Neu5Ac) from the nucleotide sugar donor CMP-Neu5Ac onto acceptor Galbeta-(1->3)-GalNAc-terminated glycoconjugates through an alpha2-3 linkage (PubMed:31784620, PubMed:8027041). Adds sialic acid to the core 1 O-glycan, Galbeta-(1->3)-GalNAc-O-Ser/Thr, which is a major structure of mucin-type O-glycans. As part of a homeostatic mechanism that regulates CD8-positive T cell numbers, sialylates core 1 O-glycans of T cell glycoproteins, SPN/CD43 and PTPRC/CD45. Prevents premature apoptosis of thymic CD8-positive T cells prior to peripheral emigration, whereas in the secondary lymphoid organs controls the survival of CD8-positive memory T cells generated following a successful immune response (By similarity). Transfers sialic acid to asialofetuin, presumably onto Galbeta-(1->3)-GalNAc-O-Ser (By similarity). Sialylates GM1a, GA1 and GD1b gangliosides to form GD1a, GM1b and GT1b, respectively (PubMed:8027041) (By similarity). [UniProt] |
| 细胞定位 | Golgi apparatus; Membrane; Secreted |
| 预测分子量 | 39 kDa |
| 翻译后修饰 | Disulfide bond; Glycoprotein |
检测图片 (5) Click the Picture to Zoom In
-
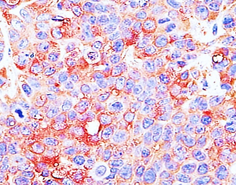
ARG66984 anti-ST3GAL1 antibody IHC-P image
Immunohistochemistry: Paraffin-embedded Human liver carcinoma tissue section stained with ARG66984 anti-ST3GAL1 antibody at 1:100 dilution.
-
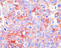
ARG66984 anti-ST3GAL1 antibody IHC-Fr image
Immunohistochemistry: Frozen Human cancer tissue stained with ARG66984 anti-ST3GAL1 antibody at 1:200 dilution.
-
ARG66984 anti-ST3GAL1 antibody WB image
Western blot: HepG2, U2OS and PC-3 cells stained with ARG66984 anti-ST3GAL1 antibody at 1:1000 dilution.
-
ARG66984 anti-ST3GAL1 antibody IHC-P image
Immunohistochemistry: Paraffin-embedded human cancer tissue section stained with ARG66984 anti-ST3GAL1 antibody at 1:100 dilution.
-
ARG66984 anti-ST3GAL1 antibody IHC-P image
Immunohistochemistry: Paraffin-embedded Human liver carcinoma tissue section stained with ARG66984 anti-ST3GAL1 antibody at 1:100 dilution.
