ARG45740
anti-SSSCA1 antibody
anti-SSSCA1 antibody for Flow cytometry,ICC/IF,IHC-Formalin-fixed paraffin-embedded sections,Western blot and Human,Mouse,Rat
概述
| 产品描述 | Rabbit Polyclonal antibody recognizes SSSCA1 |
|---|---|
| 反应物种 | Hu, Ms, Rat |
| 应用 | FACS, ICC/IF, IHC-P, WB |
| 宿主 | Rabbit |
| 克隆 | Polyclonal |
| 同位型 | IgG |
| 靶点名称 | SSSCA1 |
| 抗原物种 | Human |
| 抗原 | Recombinant protein containing to human SSSCA1. |
| 偶联标记 | Un-conjugated |
| 別名 | ZNRD2; Zinc Ribbon Domain Containing 2; SSSCA1; P27; Sjogren'S Syndrome/Scleroderma Autoantigen 1; Sjoegren Syndrome/Scleroderma Autoantigen 1; Sjogren Syndrome/Scleroderma Autoantigen 1; Zinc Ribbon Domain-Containing Protein 2; Protein Zinc Ribbon Domain Type 2; Autoantigen P27; Protein ZNRD2; Centromeric Autoantigen (27kD) |
应用说明
| 应用建议 |
|
||||||||||
|---|---|---|---|---|---|---|---|---|---|---|---|
| 应用说明 | * The dilutions indicate recommended starting dilutions and the optimal dilutions or concentrations should be determined by the scientist. | ||||||||||
| 实际分子量 | 23 kDa |
属性
| 形式 | Liquid |
|---|---|
| 纯化 | Affinity purified |
| 缓冲液 | 0.2% Na2HPO4, 0.9% NaCl and 4% Trehalose. |
| 稳定剂 | 4% Trehalose |
| 浓度 | 0.5 mg/ml |
| 存放说明 | For continuous use, store undiluted antibody at 2-8°C for up to a week. For long-term storage, aliquot and store at -20°C or below. Storage in frost free freezers is not recommended. Avoid repeated freeze/thaw cycles. Suggest spin the vial prior to opening. The antibody solution should be gently mixed before use. |
| 注意事项 | For laboratory research only, not for drug, diagnostic or other use. |
生物信息
| 数据库连接 |
Swiss-port # O60232 Human Sjoegren syndrome/scleroderma autoantigen 1 Swiss-port # P56873 Mouse Sjoegren syndrome/scleroderma autoantigen 1 homolog |
|---|---|
| 基因名称 | ZNRD2 |
| 全名 | Zinc Ribbon Domain Containing 2 |
| 背景介绍 | This antigen is recognized by a subset of anti-centromere antibodies from patients with scleroderma and/or Sjogren's syndrome. Subcellular localization has not yet been established. [provided by RefSeq, Jul 2008] |
| 生物功能 | Might play a role in mitosis. Antigenic molecule. Could be a centromere-associated protein. May induce anti-centromere antibodies. [UniProt] |
| 细胞定位 | Cytoplasm. [UniProt] |
| 预测分子量 | 21 kDa |
| 翻译后修饰 | Acetylation; Phosphoprotein. [UniProt] |
检测图片 (6) Click the Picture to Zoom In
-
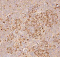
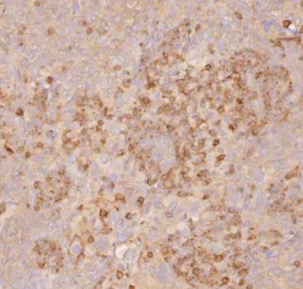
ARG45740 anti-SSSCA1 antibody IHC-P image
Immunohistochemistry: Human cervix squamous cell carcinoma stained with ARG45740 anti-SSSCA1 antibody at 2 μg/ml dilution.
-
ARG45740 anti-SSSCA1 antibody ICC/IF image
Immunofluorescence: PC-3 stained with ARG45740 anti-SSSCA1 antibody at 5 μg/ml dilution.
-
ARG45740 anti-SSSCA1 antibody WB image
Western blot: Hela stained with ARG45740 anti-SSSCA1 antibody at 0.5 μg/ml dilution.
-
ARG45740 anti-SSSCA1 antibody FACS image
Flow Cytometry: Hela stained with ARG45740 anti-SSSCA1 antibody at 1 µg/10^6 cells dilution.
-
ARG45740 anti-SSSCA1 antibody WB image
Western blot: Rat ovary stained with ARG45740 anti-SSSCA1 antibody at 0.5 μg/ml dilution.
-
ARG45740 anti-SSSCA1 antibody WB image
Western blot: Mouse testis stained with ARG45740 anti-SSSCA1 antibody at 0.5 μg/ml dilution.
