ARG45280
anti-SRPRB antibody
anti-SRPRB antibody for Flow cytometry,ICC/IF,IHC-Formalin-fixed paraffin-embedded sections,Western blot and Human
概述
| 产品描述 | Polyclonal antibody recognizes SRPRB |
|---|---|
| 反应物种 | Hu |
| 应用 | FACS, ICC/IF, IHC-P, WB |
| 宿主 | Rabbit |
| 克隆 | Polyclonal |
| 同位型 | IgG |
| 靶点名称 | SRPRB |
| 抗原物种 | Human |
| 抗原 | Recombinant protein containing to human SRPRB. |
| 偶联标记 | Un-conjugated |
| 別名 | SRPRB; SRP Receptor Subunit Beta; SR-Beta; APMCF1; Signal Recognition Particle Receptor Subunit Beta; Signal Recognition Particle Receptor, B Subunit; Signal Recognition Particle Receptor, Beta Subunit; SRP Receptor Beta Subunit; Protein APMCF1 |
应用说明
| 应用建议 |
|
||||||||||
|---|---|---|---|---|---|---|---|---|---|---|---|
| 应用说明 | * The dilutions indicate recommended starting dilutions and the optimal dilutions or concentrations should be determined by the scientist. | ||||||||||
| 实际分子量 | 30 kDa |
属性
| 形式 | Liquid |
|---|---|
| 纯化 | Affinity purification with immunogen. |
| 缓冲液 | 0.2% Na2HPO4, 0.9% NaCl and 4% Trehalose. |
| 稳定剂 | 4% Trehalose |
| 浓度 | 0.5 mg/ml |
| 存放说明 | For continuous use, store undiluted antibody at 2-8°C for up to a week. For long-term storage, aliquot and store at -20°C or below. Storage in frost free freezers is not recommended. Avoid repeated freeze/thaw cycles. Suggest spin the vial prior to opening. The antibody solution should be gently mixed before use. |
| 注意事项 | For laboratory research only, not for drug, diagnostic or other use. |
生物信息
| 数据库连接 |
Swiss-port # Q9Y5M8 Human Signal recognition particle receptor subunit beta |
|---|---|
| 基因名称 | SRPRB |
| 全名 | SRP Receptor Subunit Beta |
| 背景介绍 | The protein encoded by this gene has similarity to mouse protein which is a subunit of the signal recognition particle receptor (SR). This subunit is a transmembrane GTPase belonging to the GTPase superfamily. It anchors alpha subunit, a peripheral membrane GTPase, to the ER membrane. SR is required for the cotranslational targeting of both secretory and membrane proteins to the ER membrane. [provided by RefSeq, Jul 2008] |
| 生物功能 | Component of the signal recognition particle (SRP) complex receptor (SR. [UniProt] |
| 细胞定位 | Endoplasmic reticulum; Membrane. [UniProt] |
| 预测分子量 | 30 kDa |
| 翻译后修饰 | Phosphoprotein. [UniProt] |
检测图片 (4) Click the Picture to Zoom In
-
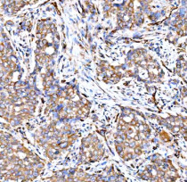
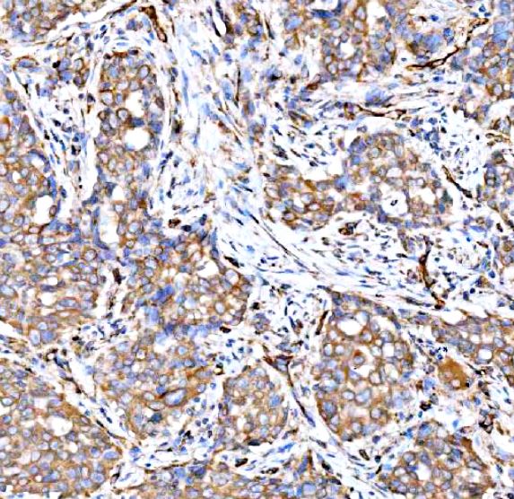
ARG45280 anti-SRPRB antibody IHC-P image
Immunohistochemistry: Human lung adenocarcinoma stained with ARG45280 anti-SRPRB antibody at 2 μg/ml dilution.
-
ARG45280 anti-SRPRB antibody ICC/IF image
Immunofluorescence: U20S stained with ARG45280 anti-SRPRB antibody at 5 ug/ml dilution.
-
ARG45280 anti-SRPRB antibody WB image
Western blot: Hela and HepG2 stained with ARG45280 anti-SRPRB antibody at 0.5 μg/ml dilution.
-
ARG45280 anti-SRPRB antibody FACS image
Flow Cytometry: HCT116 stained with ARG45280 anti-SRPRB antibody at 1 µg/10^6 cells dilution.
