ARG43746
anti-SRF antibody
anti-SRF antibody for ICC/IF,IHC-Formalin-fixed paraffin-embedded sections,Western blot and Human,Mouse,Rat
Cell Biology and Cellular Response antibody; Controls and Markers antibody; Developmental Biology antibody; Gene Regulation antibody
概述
| 产品描述 | Rabbit Polyclonal antibody recognizes SRF |
|---|---|
| 反应物种 | Hu, Ms, Rat |
| 应用 | ICC/IF, IHC-P, WB |
| 宿主 | Rabbit |
| 克隆 | Polyclonal |
| 同位型 | IgG |
| 靶点名称 | SRF |
| 抗原物种 | Human |
| 抗原 | Recombinant protein corresponding to K154-E508 of Human SRF. |
| 偶联标记 | Un-conjugated |
| Protein Full name | Serum response factor |
| 別名 | SRF; MCM1; Serum response factor |
应用说明
| 应用建议 |
|
||||||||
|---|---|---|---|---|---|---|---|---|---|
| 应用说明 | IHC-P: Antigen Retrieval: Heat mediation was performed in EDTA buffer (pH 8.0, epitope retrieval solution) for 20 min. * The dilutions indicate recommended starting dilutions and the optimal dilutions or concentrations should be determined by the scientist. |
||||||||
| 实际分子量 | ~ 65-70 kDa |
属性
| 形式 | Liquid |
|---|---|
| 纯化 | Affinity purification with immunogen. |
| 缓冲液 | 0.2% Na2HPO4, 0.9% NaCl and 4% Trehalose. |
| 稳定剂 | 4% Trehalose |
| 浓度 | 0.5 mg/ml |
| 存放说明 | For continuous use, store undiluted antibody at 2-8°C for up to a week. For long-term storage, aliquot and store at -20°C or below. Storage in frost free freezers is not recommended. Avoid repeated freeze/thaw cycles. Suggest spin the vial prior to opening. The antibody solution should be gently mixed before use. |
| 注意事项 | For laboratory research only, not for drug, diagnostic or other use. |
生物信息
| 数据库连接 | |
|---|---|
| 基因名称 | SRF |
| 全名 | serum response factor |
| 背景介绍 | This gene encodes a ubiquitous nuclear protein that stimulates both cell proliferation and differentiation. It is a member of the MADS (MCM1, Agamous, Deficiens, and SRF) box superfamily of transcription factors. This protein binds to the serum response element (SRE) in the promoter region of target genes. This protein regulates the activity of many immediate-early genes, for example c-fos, and thereby participates in cell cycle regulation, apoptosis, cell growth, and cell differentiation. This gene is the downstream target of many pathways; for example, the mitogen-activated protein kinase pathway (MAPK) that acts through the ternary complex factors (TCFs). [provided by RefSeq, Jul 2008] |
| 生物功能 | SRF is a transcription factor that binds to the serum response element (SRE), a short sequence of dyad symmetry located 300 bp to the 5' of the site of transcription initiation of some genes (such as FOS). Together with MRTFA transcription coactivator, controls expression of genes regulating the cytoskeleton during development, morphogenesis and cell migration. The SRF-MRTFA complex activity responds to Rho GTPase-induced changes in cellular globular actin (G-actin) concentration, thereby coupling cytoskeletal gene expression to cytoskeletal dynamics. Required for cardiac differentiation and maturation. [UniProt] |
| 细胞定位 | Nucleus |
| 研究领域 | Cell Biology and Cellular Response antibody; Controls and Markers antibody; Developmental Biology antibody; Gene Regulation antibody |
| 预测分子量 | 52 kDa |
| 翻译后修饰 | Phosphorylated by PRKDC. |
检测图片 (7) Click the Picture to Zoom In
-
ARG43746 anti-SRF antibody ICC/IF image
Immunofluorescence: MCF-7 cells were blocked with 10% goat serum and then stained with ARG43746 anti-SRF antibody (green) at 5 µg/ml dilution, overnight at 4°C. DAPI (blue) for nuclear staining.
-
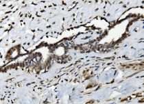
ARG43746 anti-SRF antibody IHC-P image
Immunohistochemistry: Paraffin-embedded Human breast cancer tissue. Antigen Retrieval: Heat mediation was performed in EDTA buffer (pH 8.0). The tissue section was blocked with 10% goat serum. The tissue section was then stained with ARG43746 anti-SRF antibody at 2 µg/ml dilution, overnight at 4°C.
-
ARG43746 anti-SRF antibody IHC-P image
Immunohistochemistry: Paraffin-embedded Mouse brain tissue. Antigen Retrieval: Heat mediation was performed in EDTA buffer (pH 8.0). The tissue section was blocked with 10% goat serum. The tissue section was then stained with ARG43746 anti-SRF antibody at 2 µg/ml dilution, overnight at 4°C.
-
ARG43746 anti-SRF antibody IHC-P image
Immunohistochemistry: Paraffin-embedded Rat brain tissue. Antigen Retrieval: Heat mediation was performed in EDTA buffer (pH 8.0). The tissue section was blocked with 10% goat serum. The tissue section was then stained with ARG43746 anti-SRF antibody at 2 µg/ml dilution, overnight at 4°C.
-
ARG43746 anti-SRF antibody WB image
Western blot: HeLa, HEK293, MCF-7, JurKat, THP-1 and Caco-1 cell lysates stained with ARG43746 anti-SRF antibody at 0.5 ug/mL dilution.
-
ARG43746 anti-SRF antibody WB image
Western blot: NIH3T3 and C6 cell lysates stained with ARG43746 anti-SRF antibody at 0.5 ug/mL dilution.
-
ARG43746 anti-SRF antibody FACS image
Flow Cytometry: U251 cells were blocked with 10% normal goat serum and then stained with ARG43746 anti-SRF antibody (blue) at 1 µg/10^6 cells for 30 min at 20°C, followed by incubation with DyLight®488 labelled secondary antibody. Isotype control antibody (green) was rabbit IgG (1 µg/10^6 cells) used under the same conditions. Unlabelled sample (red) was also used as a control.
