ARG45649
anti-SRBD1 antibody
anti-SRBD1 antibody for Flow cytometry,IHC-Formalin-fixed paraffin-embedded sections,Western blot and Human,Mouse,Rat
概述
| 产品描述 | Rabbit Polyclonal antibody recognizes SRBD1 |
|---|---|
| 反应物种 | Hu, Ms, Rat |
| 应用 | FACS, IHC-P, WB |
| 宿主 | Rabbit |
| 克隆 | Polyclonal |
| 同位型 | IgG |
| 靶点名称 | SRBD1 |
| 抗原物种 | Human |
| 抗原 | Recombinant protein containing to human SRBD1. |
| 偶联标记 | Un-conjugated |
| 別名 | SRBD1; S1 RNA Binding Domain 1; S1 RNA-Binding Domain-Containing Protein 1; FLJ10379; WUGSC:H_NH0576F01.1; H_NH0576F01.1 |
应用说明
| 应用建议 |
|
||||||||
|---|---|---|---|---|---|---|---|---|---|
| 应用说明 | * The dilutions indicate recommended starting dilutions and the optimal dilutions or concentrations should be determined by the scientist. |
属性
| 形式 | Liquid |
|---|---|
| 纯化 | Affinity purified |
| 缓冲液 | 0.2% Na2HPO4, 0.9% NaCl and 4% Trehalose. |
| 稳定剂 | 4% Trehalose |
| 浓度 | 0.5 mg/ml |
| 存放说明 | For continuous use, store undiluted antibody at 2-8°C for up to a week. For long-term storage, aliquot and store at -20°C or below. Storage in frost free freezers is not recommended. Avoid repeated freeze/thaw cycles. Suggest spin the vial prior to opening. The antibody solution should be gently mixed before use. |
| 注意事项 | For laboratory research only, not for drug, diagnostic or other use. |
生物信息
| 数据库连接 |
Swiss-port # Q8N5C6 Human S1 RNA-binding domain-containing protein 1 |
|---|---|
| 基因名称 | SRBD1 |
| 全名 | S1 RNA Binding Domain 1 |
| 背景介绍 | Predicted to enable mRNA binding activity. Predicted to be a structural constituent of ribosome. Predicted to be involved in translation. [provided by Alliance of Genome Resources, Feb 2025] |
| 预测分子量 | 112 kDa |
| 翻译后修饰 | Isopeptide bond; Phosphoprotein; Ubl conjugation |
检测图片 (5) Click the Picture to Zoom In
-
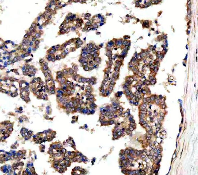
ARG45649 anti-SRBD1 antibody IHC-P image
Immunohistochemistry: Human lung adenocarcinoma stained with ARG45649 anti-SRBD1 antibody at 2 μg/ml dilution.
-
ARG45649 anti-SRBD1 antibody WB image
Western blot: SH-SY5Y stained with ARG45649 anti-SRBD1 antibody at 0.5 μg/ml dilution.
-
ARG45649 anti-SRBD1 antibody FACS image
Flow Cytometry: HEL stained with ARG45649 anti-SRBD1 antibody at 1 µg/10^6 cells dilution.
-
ARG45649 anti-SRBD1 antibody WB image
Western blot: Rat testis stained with ARG45649 anti-SRBD1 antibody at 0.5 μg/ml dilution.
-
ARG45649 anti-SRBD1 antibody WB image
Western blot: Mouse brain stained with ARG45649 anti-SRBD1 antibody at 0.5 μg/ml dilution.
