ARG45777
anti-SQRDL antibody
anti-SQRDL antibody for Flow cytometry,ICC/IF,IHC-Formalin-fixed paraffin-embedded sections,Western blot and Human
概述
| 产品描述 | Rabbit Polyclonal antibody recognizes SQRDL |
|---|---|
| 反应物种 | Hu |
| 应用 | FACS, ICC/IF, IHC-P, WB |
| 宿主 | Rabbit |
| 克隆 | Polyclonal |
| 同位型 | IgG |
| 靶点名称 | SQRDL |
| 抗原物种 | Human |
| 抗原 | Recombinant protein containing to human SQRDL. |
| 偶联标记 | Un-conjugated |
| 別名 | SQOR, Sulfide Quinone Oxidoreductase, CGI-44, SQRDL, SQR, Sulfide:Quinone Oxidoreductase, Mitochondrial, Sulfide Quinone Reductase-Like (Yeast), Sulfide Quinone Reductase-Like, Sulfide Dehydrogenase Like, Sulfide Dehydrogenase-Like, EC 1.8.5.8, PRO1975 |
应用说明
| 应用建议 |
|
||||||||||
|---|---|---|---|---|---|---|---|---|---|---|---|
| 应用说明 | * The dilutions indicate recommended starting dilutions and the optimal dilutions or concentrations should be determined by the scientist. | ||||||||||
| 实际分子量 | 50 kDa |
属性
| 形式 | Liquid |
|---|---|
| 纯化 | Affinity purified |
| 缓冲液 | 0.2% Na2HPO4, 0.9% NaCl and 4% Trehalose. |
| 稳定剂 | 4% Trehalose |
| 浓度 | 0.5 mg/ml |
| 存放说明 | For continuous use, store undiluted antibody at 2-8°C for up to a week. For long-term storage, aliquot and store at -20°C or below. Storage in frost free freezers is not recommended. Avoid repeated freeze/thaw cycles. Suggest spin the vial prior to opening. The antibody solution should be gently mixed before use. |
| 注意事项 | For laboratory research only, not for drug, diagnostic or other use. |
生物信息
| 数据库连接 |
Swiss-port # Q9Y6N5 Human Sulfide:quinone oxidoreductase, mitochondrial |
|---|---|
| 基因名称 | SQOR |
| 全名 | Sulfide Quinone Oxidoreductase |
| 背景介绍 | The protein encoded by this gene may function in mitochondria to catalyze the conversion of sulfide to persulfides, thereby decreasing toxic concencrations of sulfide. Alternative splicing results in multiple transcript variants that encode the same protein. |
| 生物功能 | Catalyzes the oxidation of hydrogen sulfide with the help of a quinone, such as ubiquinone-10, giving rise to thiosulfate and ultimately to sulfane (molecular sulfur) atoms. Requires an additional electron acceptor; can use sulfite, sulfide or cyanide (in vitro). [UniProt] |
| 细胞定位 | Mitochondrion. [UniProt] |
| 预测分子量 | 50 kDa |
| 翻译后修饰 | Acetylation, Disulfide bond, Phosphoprotein, Quinone. [UniProt] |
检测图片 (4) Click the Picture to Zoom In
-
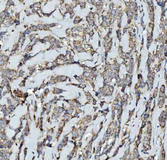
ARG45777 anti-SQRDL antibody IHC-P image
Immunohistochemistry: Human breast cancer stained with ARG45777 anti-SQRDL antibody at 2 μg/ml dilution.
-
ARG45777 anti-SQRDL antibody ICC/IF image
Immunofluorescence: PC-3 stained with ARG45777 anti-SQRDL antibody at 5 μg/ml dilution.
-
ARG45777 anti-SQRDL antibody WB image
Western blot: Hela stained with ARG45777 anti-SQRDL antibody at 0.5 μg/ml dilution.
-
ARG45777 anti-SQRDL antibody FACS image
Flow Cytometry: JK stained with ARG45777 anti-SQRDL antibody at 1 µg/10^6 cells dilution.
